ARG44347
anti-RRAGD antibody
anti-RRAGD antibody for IHC-Formalin-fixed paraffin-embedded sections,Western blot and Human,Mouse,Rat
概述
| 产品描述 | Rabbit Polyclonal antibody recognizes RRAGD |
|---|---|
| 反应物种 | Hu, Ms, Rat |
| 应用 | IHC-P, WB |
| 宿主 | Rabbit |
| 克隆 | Polyclonal |
| 同位型 | IgG |
| 靶点名称 | RRAGD |
| 抗原物种 | Human |
| 抗原 | Human RRAGD recombinant fusion protein (a.a. sequence: 181-400). |
| 偶联标记 | Un-conjugated |
| 別名 | RRAGD; Ras Related GTP Binding D; BA11D8.2.1; Ras-Related GTP-Binding Protein D; DKFZP761H171; Ras-Related GTP Binding D; Rag D Protein; EC 3.6.5.- ; HOMG7; Rag D; RAGD; RagD |
应用说明
| 应用建议 |
|
||||||
|---|---|---|---|---|---|---|---|
| 应用说明 | * The dilutions indicate recommended starting dilutions and the optimal dilutions or concentrations should be determined by the scientist. |
属性
| 形式 | Liquid |
|---|---|
| 纯化 | Affinity purified. |
| 缓冲液 | PBS, 0.02% sodium azide and 50% Glycerol. |
| 抗菌剂 | 0.02% sodium azide |
| 稳定剂 | 50% Glycerol |
| 存放说明 | For continuous use, store undiluted antibody at 2-8°C for up to a week. For long-term storage, aliquot and store at -20°C. Storage in frost free freezers is not recommended. Avoid repeated freeze/thaw cycles. Suggest spin the vial prior to opening. The antibody solution should be gently mixed before use. |
| 注意事项 | For laboratory research only, not for drug, diagnostic or other use. |
生物信息
| 数据库连接 | |
|---|---|
| 基因名称 | RRAGD |
| 全名 | Ras Related GTP Binding D |
| 背景介绍 | RRAGD is a monomeric guanine nucleotide-binding protein, or G protein. By binding GTP or GDP, small G proteins act as molecular switches in numerous cell processes and signaling pathways. |
| 生物功能 | Guanine nucleotide-binding protein that plays a crucial role in the cellular response to amino acid availability through regulation of the mTORC1 signaling cascade. |
| 细胞定位 | Cytoplasm, Lysosome, Membrane, Nucleus |
| 预测分子量 | 46 kDa |
检测图片 (3) Click the Picture to Zoom In
-
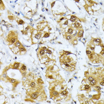
ARG44347 anti-RRAGD antibody IHC-P image
Immunohistochemistry: Human liver cancer stained with ARG44347 anti-RRAGD antibody at 1:100 dilution.
-
ARG44347 anti-RRAGD antibody WB image
Western blot: SH-SY5Y and NCI-H460 stained with ARG44347 anti-RRAGD antibody at 1:1000 dilution.
-
ARG44347 anti-RRAGD antibody WB image
Western blot: Mouse skeletal muscle stained with ARG44347 anti-RRAGD antibody at 1:1000 dilution.
