ARG66689
anti-RRAD antibody
anti-RRAD antibody for ICC/IF,IHC-Formalin-fixed paraffin-embedded sections,Western blot and Human
概述
| 产品描述 | Rabbit Polyclonal antibody recognizes RRAD |
|---|---|
| 反应物种 | Hu |
| 应用 | ICC/IF, IHC-P, WB |
| 宿主 | Rabbit |
| 克隆 | Polyclonal |
| 同位型 | IgG |
| 靶点名称 | RRAD |
| 抗原物种 | Human |
| 抗原 | Synthetic peptide within aa. 10-90 of Human RRAD. |
| 偶联标记 | Un-conjugated |
| 別名 | RAD; REM3; GTP-binding protein RAD; RAD1; Ras associated with diabetes |
应用说明
| 应用建议 |
|
||||||||
|---|---|---|---|---|---|---|---|---|---|
| 应用说明 | * The dilutions indicate recommended starting dilutions and the optimal dilutions or concentrations should be determined by the scientist. | ||||||||
| 阳性对照 | HeLa | ||||||||
| 实际分子量 | ~ 33 kDa |
属性
| 形式 | Liquid |
|---|---|
| 纯化 | Affinity purification with immunogen. |
| 缓冲液 | PBS, 0.02% Sodium azide, 50% Glycerol and 0.5% BSA. |
| 抗菌剂 | 0.02% Sodium azide |
| 稳定剂 | 50% Glycerol and 0.5% BSA |
| 浓度 | 1 mg/ml |
| 存放说明 | For continuous use, store undiluted antibody at 2-8°C for up to a week. For long-term storage, aliquot and store at -20°C. Storage in frost free freezers is not recommended. Avoid repeated freeze/thaw cycles. Suggest spin the vial prior to opening. The antibody solution should be gently mixed before use. |
| 注意事项 | For laboratory research only, not for drug, diagnostic or other use. |
生物信息
| 数据库连接 | |
|---|---|
| 基因名称 | RRAD |
| 全名 | Ras-related associated with diabetes |
| 生物功能 | May play an important role in cardiac antiarrhythmia via the strong suppression of voltage-gated L-type Ca(2+) currents. Regulates voltage-dependent L-type calcium channel subunit alpha-1C trafficking to the cell membrane (By similarity). Inhibits cardiac hypertrophy through the calmodulin-dependent kinase II (CaMKII) pathway. Inhibits phosphorylation and activation of CAMK2D. [UniProt] |
| 细胞定位 | Cell membrane. [UniProt] |
| 预测分子量 | 33 kDa |
检测图片 (4) Click the Picture to Zoom In
-
ARG66689 anti-RRAD antibody ICC/IF image
Immunofluorescence: A549 cells stained with ARG66689 anti-RRAD antibody (green). The picture on the right is blocked with the synthetic peptide.
-
ARG66689 anti-RRAD antibody IHC-P image
Immunohistochemistry: Paraffin-embedded Human heart tissue stained with ARG66689 anti-RRAD antibody. The picture on the right is blocked with the synthetic peptide.
-
ARG66689 anti-RRAD antibody WB image
Western blot: HeLa cell lysate stained with ARG66689 anti-RRAD antibody.
-
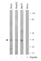
ARG66689 anti-RRAD antibody WB image
Western blot: HeLa, HepG2 and MCF7 cell lysates stained with ARG66689 anti-RRAD antibody. The lane on the right is blocked with the synthetic peptide.
