ARG55857
anti-RPLP0P6 antibody
anti-RPLP0P6 antibody for ICC/IF,IHC-Formalin-fixed paraffin-embedded sections,Western blot and Human
概述
| 产品描述 | Rabbit Polyclonal antibody recognizes RPLP0P6 |
|---|---|
| 反应物种 | Hu |
| 预测物种 | Ms, Rat, Bov, Chk, Pig, Zfsh |
| 应用 | ICC/IF, IHC-P, WB |
| 宿主 | Rabbit |
| 克隆 | Polyclonal |
| 同位型 | IgG |
| 靶点名称 | RPLP0P6 |
| 抗原物种 | Human |
| 抗原 | KLH-conjugated synthetic peptide corresponding to aa. 1-30 (N-terminus) of Human RPLP0P6. |
| 偶联标记 | Un-conjugated |
| 別名 | 60S acidic ribosomal protein P0-like |
应用说明
| 应用建议 |
|
||||||||
|---|---|---|---|---|---|---|---|---|---|
| 应用说明 | * The dilutions indicate recommended starting dilutions and the optimal dilutions or concentrations should be determined by the scientist. | ||||||||
| 阳性对照 | U251 |
属性
| 形式 | Liquid |
|---|---|
| 纯化 | Purification with Protein A and immunogen peptide. |
| 缓冲液 | PBS and 0.09% (W/V) Sodium azide |
| 抗菌剂 | 0.09% (W/V) Sodium azide |
| 存放说明 | For continuous use, store undiluted antibody at 2-8°C for up to a week. For long-term storage, aliquot and store at -20°C or below. Storage in frost free freezers is not recommended. Avoid repeated freeze/thaw cycles. Suggest spin the vial prior to opening. The antibody solution should be gently mixed before use. |
| 注意事项 | For laboratory research only, not for drug, diagnostic or other use. |
生物信息
| 基因名称 | RPLP0P6 |
|---|---|
| 预测分子量 | 34 kDa |
检测图片 (3) Click the Picture to Zoom In
-
ARG55857 anti-RPLP0P6 antibody ICC/IF image
Immunofluorescence: HeLa cells stained with ARG55857 anti-RPLP0P6 antibody (green) at 1:25 dilution. Cytoplasmic actin was counterstained with Alexa Fluor® 555 conjugated with Phalloidin (red).
-
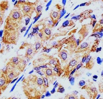
ARG55857 anti-RPLP0P6 antibody IHC-P image
Immunohistochemistry: Paraffin-embedded Human stomach tissue stained with ARG55857 anti-RPLP0P6 antibody at 1:25 dilution.
-
ARG55857 anti-RPLP0P6 antibody WB image
Western blot: 35 µg of U251 cell lysate stained with ARG55857 anti-RPLP0P6 antibody.
