ARG64271
anti-RPL8 antibody
anti-RPL8 antibody for IHC-Formalin-fixed paraffin-embedded sections,Western blot and Human
Gene Regulation antibody
概述
| 产品描述 | Goat Polyclonal antibody recognizes RPL8 |
|---|---|
| 反应物种 | Hu |
| 预测物种 | Ms, Rat, Dog |
| 应用 | IHC-P, WB |
| 特异性 | The reported variants represent identical protein (NP_000964.1 and NP_150644.1). |
| 宿主 | Goat |
| 克隆 | Polyclonal |
| 同位型 | IgG |
| 靶点名称 | RPL8 |
| 抗原物种 | Human |
| 抗原 | KAGRAYHKYKAKRNC |
| 偶联标记 | Un-conjugated |
| 別名 | 60S ribosomal protein L8; L8 |
应用说明
| 应用建议 |
|
||||||
|---|---|---|---|---|---|---|---|
| 应用说明 | WB: Recommend incubate at RT for 1h. IHC-P: Antigen Retrieval: Steam tissue section in Citrate buffer (pH 6.0). * The dilutions indicate recommended starting dilutions and the optimal dilutions or concentrations should be determined by the scientist. |
属性
| 形式 | Liquid |
|---|---|
| 纯化 | Purified from goat serum by antigen affinity chromatography. |
| 缓冲液 | Tris saline (pH 7.3), 0.02% Sodium azide and 0.5% BSA. |
| 抗菌剂 | 0.02% Sodium azide |
| 稳定剂 | 0.5% BSA |
| 浓度 | 0.5 mg/ml |
| 存放说明 | For continuous use, store undiluted antibody at 2-8°C for up to a week. For long-term storage, aliquot and store at -20°C or below. Storage in frost free freezers is not recommended. Avoid repeated freeze/thaw cycles. Suggest spin the vial prior to opening. The antibody solution should be gently mixed before use. |
| 注意事项 | For laboratory research only, not for drug, diagnostic or other use. |
生物信息
| 数据库连接 | |
|---|---|
| 背景介绍 | Ribosomes, the organelles that catalyze protein synthesis, consist of a small 40S subunit and a large 60S subunit. Together these subunits are composed of 4 RNA species and approximately 80 structurally distinct proteins. This gene encodes a ribosomal protein that is a component of the 60S subunit. The protein belongs to the L2P family of ribosomal proteins. It is located in the cytoplasm. In rat, the protein associates with the 5.8S rRNA, very likely participates in the binding of aminoacyl-tRNA, and is a constituent of the elongation factor 2-binding site at the ribosomal subunit interface. Alternatively spliced transcript variants encoding the same protein exist. As is typical for genes encoding ribosomal proteins, there are multiple processed pseudogenes of this gene dispersed through the genome. [provided by RefSeq, Jul 2008] |
| 研究领域 | Gene Regulation antibody |
| 预测分子量 | 28 kDa |
| 翻译后修饰 | Hydroxylated on His-216 by RIOX1. The modification is impaired by hypoxia. |
检测图片 (3) Click the Picture to Zoom In
-
ARG64271 anti-RPL8 antibody WB image
Western blot: HepG2 cell lysate (35 µg protein in RIPA buffer) stained with ARG64271 anti-RPL8 antibody at 0.01 µg/ml dilution.
-
ARG64271 anti-RPL8 antibody IHC-P image
Immunohistochemistry: Paraffin-embedded Human spleen tissue. Antigen Retrieval: Steam tissue section in Citrate buffer (pH 6.0). The tissue section was stained with ARG64271 anti-RPL8 antibody at 2.5 µg/ml dilution followed by AP-staining.
-
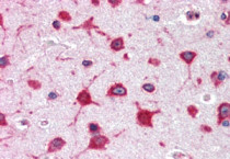
ARG64271 anti-RPL8 antibody IHC-P image
Immunohistochemistry: Paraffin embedded Human Cerebral Cortex. (Steamed antigen retrieval with citrate buffer pH 6) stained with ARG64271 anti-RPL8 antibody at 2.5 µg/ml dilution followed by AP-staining.
