ARG66658
anti-RPA2 / RPA32 phospho (Thr21) antibody
anti-RPA2 / RPA32 phospho (Thr21) antibody for IHC-Formalin-fixed paraffin-embedded sections,Western blot and Human
概述
| 产品描述 | Rabbit Polyclonal antibody recognizes RPA2 / RPA32 phospho (Thr21) |
|---|---|
| 反应物种 | Hu |
| 应用 | IHC-P, WB |
| 宿主 | Rabbit |
| 克隆 | Polyclonal |
| 同位型 | IgG |
| 靶点名称 | RPA2 / RPA32 |
| 抗原物种 | Human |
| 抗原 | Phosphospecific peptide around Thr21 of Human RPA2 / RPA32. |
| 偶联标记 | Un-conjugated |
| 別名 | RF-A protein 2; RFA2; RPA32; RP-A p34; Replication protein A 34 kDa subunit; Replication factor A protein 2; Replication protein A 32 kDa subunit; REPA2; RP-A p32 |
应用说明
| 应用建议 |
|
||||||
|---|---|---|---|---|---|---|---|
| 应用说明 | * The dilutions indicate recommended starting dilutions and the optimal dilutions or concentrations should be determined by the scientist. | ||||||
| 实际分子量 | ~ 34 kDa |
属性
| 形式 | Liquid |
|---|---|
| 纯化 | Affinity purification with immunogen. |
| 缓冲液 | PBS, 0.02% Sodium azide, 50% Glycerol and 0.5% BSA. |
| 抗菌剂 | 0.02% Sodium azide |
| 稳定剂 | 50% Glycerol and 0.5% BSA |
| 浓度 | 1 mg/ml |
| 存放说明 | For continuous use, store undiluted antibody at 2-8°C for up to a week. For long-term storage, aliquot and store at -20°C. Storage in frost free freezers is not recommended. Avoid repeated freeze/thaw cycles. Suggest spin the vial prior to opening. The antibody solution should be gently mixed before use. |
| 注意事项 | For laboratory research only, not for drug, diagnostic or other use. |
生物信息
| 数据库连接 |
Swiss-port # P15927 Human Replication protein A 32 kDa subunit |
|---|---|
| 基因名称 | RPA2 |
| 全名 | replication protein A2, 32kDa |
| 生物功能 | As part of the heterotrimeric replication protein A complex (RPA/RP-A), binds and stabilizes single-stranded DNA intermediates, that form during DNA replication or upon DNA stress. It prevents their reannealing and in parallel, recruits and activates different proteins and complexes involved in DNA metabolism. Thereby, it plays an essential role both in DNA replication and the cellular response to DNA damage. In the cellular response to DNA damage, the RPA complex controls DNA repair and DNA damage checkpoint activation. Through recruitment of ATRIP activates the ATR kinase a master regulator of the DNA damage response. It is required for the recruitment of the DNA double-strand break repair factors RAD51 and RAD52 to chromatin in response to DNA damage. Also recruits to sites of DNA damage proteins like XPA and XPG that are involved in nucleotide excision repair and is required for this mechanism of DNA repair. Plays also a role in base excision repair (BER) probably through interaction with UNG. Through RFWD3 may activate CHEK1 and play a role in replication checkpoint control. Also recruits SMARCAL1/HARP, which is involved in replication fork restart, to sites of DNA damage. May also play a role in telomere maintenance. [UniProt] |
| 细胞定位 | Nucleus. Nucleus, PML body. Note=Redistributes to discrete nuclear foci upon DNA damage in an ATR-dependent manner. [UniProt] |
| 预测分子量 | 29 kDa |
| 翻译后修饰 | Differentially phosphorylated throughout the cell cycle, becoming phosphorylated at the G1-S transition and dephosphorylated in late mitosis. Mainly phosphorylated at Ser-23 and Ser-29, by cyclin A-CDK2 and cyclin B-CDK1, respectively during DNA replication and mitosis. Dephosphorylation may require the serine/threonine-protein phosphatase 4. Phosphorylation at Ser-23 and Ser-29 is a prerequisite for further phosphorylation. Becomes hyperphosphorylated on additional residues including Ser-4, Ser-8, Thr-21 and Ser-33 in response to DNA damage. Hyperphosphorylation is mediated by ATM, ATR and PRKDC. Primarily recruited to DNA repair nuclear foci as a hypophosphorylated form it undergoes subsequent hyperphosphorylation, catalyzed by ATR. Hyperphosphorylation is required for RAD51 recruitment to chromatin and efficient DNA repair. Phosphorylation at Thr-21 depends upon RFWD3 presence. DNA damage-induced 'Lys-63'-linked polyubiquitination by PRPF19 mediates ATRIP recruitment to the RPA complex at sites of DNA damage and activation of ATR. [UniProt] |
检测图片 (2) Click the Picture to Zoom In
-
ARG66658 anti-RPA2 / RPA32 phospho (Thr21) antibody WB image
Western blot: HeLa cells treated with Adriamycin (0.5 µg/ml for 24 hours), Cell lysates stained with ARG66658 anti-RPA2 / RPA32 phospho (Thr21) antibody. The lane on the right is blocked with the phospho peptide.
-
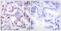
ARG66658 anti-RPA2 / RPA32 phospho (Thr21) antibody IHC-P image
Immunohistochemistry: Paraffin-embedded Human lung carcinoma tissue stained with ARG66658 anti-RPA2 / RPA32 phospho (Thr21) antibody. The picture on the right is blocked with the phospho peptide.
