ARG55694
anti-ROR1 antibody
anti-ROR1 antibody for Flow cytometry,IHC-Formalin-fixed paraffin-embedded sections,Western blot and Human,Mouse
概述
| 产品描述 | Rabbit Polyclonal antibody recognizes ROR1 |
|---|---|
| 反应物种 | Hu, Ms |
| 应用 | FACS, IHC-P, WB |
| 宿主 | Rabbit |
| 克隆 | Polyclonal |
| 同位型 | IgG |
| 靶点名称 | ROR1 |
| 抗原物种 | Human |
| 抗原 | Recombinant protein corresponding to aa. 112-399 of Human ROR1. |
| 偶联标记 | Un-conjugated |
| 別名 | Tyrosine-protein kinase transmembrane receptor ROR1; Neurotrophic tyrosine kinase, receptor-related 1; EC 2.7.10.1; NTRKR1; dJ537F10.1 |
应用说明
| 应用建议 |
|
||||||||
|---|---|---|---|---|---|---|---|---|---|
| 应用说明 | * The dilutions indicate recommended starting dilutions and the optimal dilutions or concentrations should be determined by the scientist. | ||||||||
| 阳性对照 | K562 |
属性
| 形式 | Liquid |
|---|---|
| 纯化 | This antibody is prepared by Saturated Ammonium Sulfate (SAS) precipitation followed by dialysis against PBS. |
| 缓冲液 | PBS and 0.09% (W/V) Sodium azide. |
| 抗菌剂 | 0.09% (W/V) Sodium azide. |
| 存放说明 | For continuous use, store undiluted antibody at 2-8°C for up to a week. For long-term storage, aliquot and store at -20°C or below. Storage in frost free freezers is not recommended. Avoid repeated freeze/thaw cycles. Suggest spin the vial prior to opening. The antibody solution should be gently mixed before use. |
| 注意事项 | For laboratory research only, not for drug, diagnostic or other use. |
生物信息
| 数据库连接 |
Swiss-port # Q01973 Human Inactive tyrosine-protein kinase transmembrane receptor ROR1 Swiss-port # Q9Z139 Mouse Inactive tyrosine-protein kinase transmembrane receptor ROR1 |
|---|---|
| 基因名称 | ROR1 |
| 全名 | receptor tyrosine kinase-like orphan receptor 1 |
| 背景介绍 | This gene encodes a receptor tyrosine kinase-like orphan receptor that modulates neurite growth in the central nervous system. The encoded protein is a glycosylated type I membrane protein that belongs to the ROR subfamily of cell surface receptors. It is a pseudokinase that lacks catalytic activity and may interact with the non-canonical Wnt signalling pathway. This gene is highly expressed during early embryonic development but expressed at very low levels in adult tissues. Increased expression of this gene is associated with B-cell chronic lymphocytic leukaemia. Alternative splicing results in multiple transcript variants encoding different isoforms. [provided by RefSeq, Jun 2012] |
| 生物功能 | Tyrosine-protein kinase receptor whose role is not yet clear. [UniProt] |
| 细胞定位 | Membrane; Single-pass type I membrane protein |
| 预测分子量 | 104 kDa |
检测图片 (3) Click the Picture to Zoom In
-
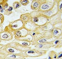
ARG55694 anti-ROR1 antibody IHC-P image
Immunohistochemistry: Formalin-fixed and paraffin-embedded Human lung carcinoma tissue stained with ARG55694 anti-ROR1 antibody.
-
ARG55694 anti-ROR1 antibody WB image
Western blot: 20 µg of K562 cell lysate stained with ARG55694 anti-ROR1 antibody at 1:2000 dilution.
-
ARG55694 anti-ROR1 antibody FACS image
Flow Cytometry: A549 cells stained with ARG55694 anti-ROR1 antibody (right histogram) at 1:25 dilution or isotype control antibody (left histogram), followed by incubation with Alexa Fluor® 488 labelled secondary antibody.
