ARG63595
anti-RNF39 / LIRF antibody
anti-RNF39 / LIRF antibody for IHC-Formalin-fixed paraffin-embedded sections,Western blot and Human
Neuroscience antibody
概述
| 产品描述 | Goat Polyclonal antibody recognizes RNF39 / LIRF |
|---|---|
| 反应物种 | Hu |
| 预测物种 | Pig, Rat |
| 应用 | IHC-P, WB |
| 特异性 | This antibody is expected to recognize 2 of the 3 reported isoforms (NP_079512.1 and NP_739575.1 but not NP_739576.1) |
| 宿主 | Goat |
| 克隆 | Polyclonal |
| 同位型 | IgG |
| 靶点名称 | RNF39 / LIRF |
| 抗原物种 | Human |
| 抗原 | CDPRAPLRIVPAES |
| 偶联标记 | Un-conjugated |
| 別名 | Protein HZFw; HZF; HZFW; LIRF; RING finger protein 39 |
应用说明
| 应用建议 |
|
||||||
|---|---|---|---|---|---|---|---|
| 应用说明 | WB: Recommend incubate at RT for 1h. IHC-P: Antigen Retrieval: Steam tissue section in Citrate buffer (pH 6.0). * The dilutions indicate recommended starting dilutions and the optimal dilutions or concentrations should be determined by the scientist. |
属性
| 形式 | Liquid |
|---|---|
| 纯化 | Purified from goat serum by antigen affinity chromatography. |
| 缓冲液 | Tris saline (pH 7.3), 0.02% Sodium azide and 0.5% BSA. |
| 抗菌剂 | 0.02% Sodium azide |
| 稳定剂 | 0.5% BSA |
| 浓度 | 0.5 mg/ml |
| 存放说明 | For continuous use, store undiluted antibody at 2-8°C for up to a week. For long-term storage, aliquot and store at -20°C or below. Storage in frost free freezers is not recommended. Avoid repeated freeze/thaw cycles. Suggest spin the vial prior to opening. The antibody solution should be gently mixed before use. |
| 注意事项 | For laboratory research only, not for drug, diagnostic or other use. |
生物信息
| 数据库连接 | |
|---|---|
| 背景介绍 | This gene lies within the major histocompatibility complex class I region on chromosome 6. Studies of a similar rat protein suggest that this gene encodes a protein that plays a role in an early phase of synaptic plasticity. Multiple transcript variants encoding different isoforms have been found for this gene. [provided by RefSeq, Jul 2008] |
| 研究领域 | Neuroscience antibody |
| 预测分子量 | 46 kDa |
检测图片 (2) Click the Picture to Zoom In
-
ARG63595 anti-RNF39 / LIRF antibody WB image
Western Blot: human brain lysate (RIPA buffer, 35 µg total protein per lane) stained with ARG63595 anti-RNF39 / LIRF antibody at 1 µg/ml dilution.
-
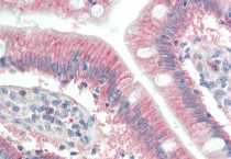
ARG63595 anti-RNF39 / LIRF antibody IHC-P image
Immunohistochemistry: Paraffin-embedded Human small intestine tissue. Antigen Retrieval: Steam tissue section in Citrate buffer (pH 6.0). The tissue section was stained with ARG63595 anti-RNF39 / LIRF antibody at 10 µg/ml dilution followed by AP-staining.
