ARG59104
anti-RNASE3 / Eosinophil cationic protein antibody
anti-RNASE3 / Eosinophil cationic protein antibody for IHC-Formalin-fixed paraffin-embedded sections,Western blot and Human,Mouse,Rat
概述
| 产品描述 | Rabbit Polyclonal antibody recognizes RNASE3 / Eosinophil cationic protein |
|---|---|
| 反应物种 | Hu, Ms, Rat |
| 应用 | IHC-P, WB |
| 宿主 | Rabbit |
| 克隆 | Polyclonal |
| 同位型 | IgG |
| 靶点名称 | RNASE3 / Eosinophil cationic protein |
| 抗原物种 | Human |
| 抗原 | Recombinant protein corresponding to R28-I160 of Human RNASE3 / Eosinophil cationic protein. |
| 偶联标记 | Un-conjugated |
| 別名 | Eosinophil cationic protein; RNS3; ECP; RNase 3; Ribonuclease 3; EC 3.1.27.- |
应用说明
| 应用建议 |
|
||||||
|---|---|---|---|---|---|---|---|
| 应用说明 | IHC-P: Antigen Retrieval: Heat mediated was performed in Citrate buffer (pH 6.0) for 20 min. * The dilutions indicate recommended starting dilutions and the optimal dilutions or concentrations should be determined by the scientist. |
属性
| 形式 | Liquid |
|---|---|
| 纯化 | Affinity purified. |
| 缓冲液 | 0.9% NaCl, 0.2% Na2HPO4, 0.05% Sodium azide and 4% Trehalose. |
| 抗菌剂 | 0.05% Sodium azide |
| 稳定剂 | 4% Trehalose |
| 浓度 | 0.5 mg/ml |
| 存放说明 | For continuous use, store undiluted antibody at 2-8°C for up to a week. For long-term storage, aliquot and store at -20°C or below. Storage in frost free freezers is not recommended. Avoid repeated freeze/thaw cycles. Suggest spin the vial prior to opening. The antibody solution should be gently mixed before use. |
| 注意事项 | For laboratory research only, not for drug, diagnostic or other use. |
生物信息
| 数据库连接 | |
|---|---|
| 基因名称 | RNASE3 |
| 全名 | ribonuclease, RNase A family, 3 |
| 背景介绍 | The protein encoded by this gene belongs to the pancreatic ribonuclease family, a subset of the ribonuclease A superfamily. The protein exhibits antimicrobial activity against pathogenic bacteria [provided by RefSeq, Oct 2014] |
| 生物功能 | Cytotoxin and helminthotoxin with low-efficiency ribonuclease activity. Possesses a wide variety of biological activities. Exhibits antibacterial activity, including cytoplasmic membrane depolarization of preferentially Gram-negative, but also Gram-positive strains. Promotes E.coli outer membrane detachment, alteration of the overall cell shape and partial loss of cell content. [UniProt] |
| 细胞定位 | Secreted. Note=Located in the matrix of eosinophil large specific granule, which are released following activation by an immune stimulus. [UniProt] |
| 预测分子量 | 18 kDa |
检测图片 (4) Click the Picture to Zoom In
-
ARG59104 anti-RNASE3 / Eosinophil cationic protein antibody IHC-P image
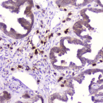
Immunohistochemistry: Paraffin-embedded Human ovary cancer tissue. Antigen Retrieval: Heat mediated was performed in Citrate buffer (pH 6.0, epitope retrieval solution) for 20 min. The tissue section was blocked with 10% goat serum. The tissue section was then stained with ARG59104 anti-RNASE3 / Eosinophil cationic protein antibody at 2 µg/ml, overnight at 4°C.
-
ARG59104 anti-RNASE3 / Eosinophil cationic protein antibody WB image
Western blot: 50 µg of samples under reducing conditions. Jurkat, Rat liver and Mouse liver lysates stained with ARG59104 anti-RNASE3 / Eosinophil cationic protein antibody at 0.5 µg/ml, overnight at 4°C.
-
ARG59104 anti-RNASE3 / Eosinophil cationic protein antibody IHC-P image
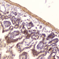
Immunohistochemistry: Paraffin-embedded Mouse small intestine tissue. Antigen Retrieval: Heat mediated was performed in Citrate buffer (pH 6.0, epitope retrieval solution) for 20 min. The tissue section was blocked with 10% goat serum. The tissue section was then stained with ARG59104 anti-RNASE3 / Eosinophil cationic protein antibody at 2 µg/ml, overnight at 4°C.
-
ARG59104 anti-RNASE3 / Eosinophil cationic protein antibody IHC-P image
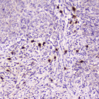
Immunohistochemistry: Paraffin-embedded Human sarcoma tissue. Antigen Retrieval: Heat mediated was performed in Citrate buffer (pH 6.0, epitope retrieval solution) for 20 min. The tissue section was blocked with 10% goat serum. The tissue section was then stained with ARG59104 anti-RNASE3 / Eosinophil cationic protein antibody at 2 µg/ml, overnight at 4°C.
