ARG42223
anti-RMI2 antibody
anti-RMI2 antibody for Flow cytometry,IHC-Formalin-fixed paraffin-embedded sections,Western blot and Human,Mouse,Rat
概述
| 产品描述 | Rabbit Polyclonal antibody recognizes RMI2 |
|---|---|
| 反应物种 | Hu, Ms, Rat |
| 应用 | FACS, IHC-P, WB |
| 宿主 | Rabbit |
| 克隆 | Polyclonal |
| 同位型 | IgG |
| 靶点名称 | RMI2 |
| 抗原物种 | Human |
| 抗原 | Synthetic peptide corresponding to a sequence of Human RMI2. (KMTDLSDNPIHESMWELEVEDLHRNIP) |
| 偶联标记 | Un-conjugated |
| 別名 | C16orf75; BLM-associated protein of 18 kDa; BLAP18; RecQ-mediated genome instability protein 2; hRMI2 |
应用说明
| 应用建议 |
|
||||||||
|---|---|---|---|---|---|---|---|---|---|
| 应用说明 | IHC-P: Antigen Retrieval: Heat mediation was performed in Citrate buffer (pH 6.0, epitope retrieval solution) for 20 min. * The dilutions indicate recommended starting dilutions and the optimal dilutions or concentrations should be determined by the scientist. |
||||||||
| 实际分子量 | ~ 19 kDa |
属性
| 形式 | Liquid |
|---|---|
| 纯化 | Affinity purification with immunogen. |
| 缓冲液 | 0.2% Na2HPO4, 0.9% NaCl, 0.05% Sodium azide and 4% Trehalose. |
| 抗菌剂 | 0.05% Sodium azide |
| 稳定剂 | 4% Trehalose |
| 浓度 | 0.5 mg/ml |
| 存放说明 | For continuous use, store undiluted antibody at 2-8°C for up to a week. For long-term storage, aliquot and store at -20°C or below. Storage in frost free freezers is not recommended. Avoid repeated freeze/thaw cycles. Suggest spin the vial prior to opening. The antibody solution should be gently mixed before use. |
| 注意事项 | For laboratory research only, not for drug, diagnostic or other use. |
生物信息
| 数据库连接 |
Swiss-port # Q3UPE3 Mouse RecQ-mediated genome instability protein 2 Swiss-port # Q96E14 Human RecQ-mediated genome instability protein 2 |
|---|---|
| 基因名称 | RMI2 |
| 全名 | RecQ mediated genome instability 2 |
| 背景介绍 | RMI2 is a component of the BLM (RECQL3; MIM 604610) complex, which plays a role in homologous recombination-dependent DNA repair and is essential for genome stability (Xu et al., 2008 [PubMed 18923082]).[supplied by OMIM, Nov 2008] |
| 生物功能 | Essential component of the RMI complex, a complex that plays an important role in the processing of homologous recombination intermediates. It is required to regulate sister chromatid segregation and to limit DNA crossover. Essential for the stability, localization, and function of BLM, TOP3A, and complexes containing BLM. In the RMI complex, it is required to target BLM to chromatin and stress-induced nuclear foci and mitotic phosphorylation of BLM. [UniProt] |
| 细胞定位 | Nucleus. Note=Colocalizes with BLM at nuclear DNA repair foci. [UniProt] |
| 预测分子量 | 16 kDa |
| 翻译后修饰 | Phosphorylated during mitosis. [UniProt] |
检测图片 (8) Click the Picture to Zoom In
-
ARG42223 anti-RMI2 antibody IHC-P image
Immunohistochemistry: Paraffin-embedded Human intestinal cancer tissue. Antigen Retrieval: Heat mediation was performed in Citrate buffer (pH 6.0, epitope retrieval solution) for 20 min. The tissue section was blocked with 10% goat serum. The tissue section was then stained with ARG42223 anti-RMI2 antibody at 1 µg/ml dilution, overnight at 4°C.
-
ARG42223 anti-RMI2 antibody WB image
Western blot: 50 µg of samples under reducing conditions. HeLa, T-47D, HepG2, K562, Rat thymus and Mouse HEPA1-6 cell lysates stained with ARG42223 anti-RMI2 antibody at 0.5 µg/ml dilution, overnight at 4°C.
-
ARG42223 anti-RMI2 antibody FACS image
Flow Cytometry: U2OS cells were blocked with 10% normal goat serum and then stained with ARG42223 anti-RMI2 antibody (blue line) at 1 µg/10^6 cells for 30 min at 20°C, followed by incubation with DyLight®488 labelled secondary antibody. Isotype control antibody (green line) was Rabbit IgG (1 µg/10^6 cells) used under the same conditions. Unlabelled sample (red line) was also used as a control.
-
ARG42223 anti-RMI2 antibody IHC-P image
Immunohistochemistry: Paraffin-embedded Human intestinal cancer tissue. Antigen Retrieval: Heat mediation was performed in Citrate buffer (pH 6.0, epitope retrieval solution) for 20 min. The tissue section was blocked with 10% goat serum. The tissue section was then stained with ARG42223 anti-RMI2 antibody at 1 µg/ml dilution, overnight at 4°C.
-
ARG42223 anti-RMI2 antibody IHC-P image
Immunohistochemistry: Paraffin-embedded Human mammary cancer tissue. Antigen Retrieval: Heat mediation was performed in Citrate buffer (pH 6.0, epitope retrieval solution) for 20 min. The tissue section was blocked with 10% goat serum. The tissue section was then stained with ARG42223 anti-RMI2 antibody at 1 µg/ml dilution, overnight at 4°C.
-
ARG42223 anti-RMI2 antibody IHC-P image
Immunohistochemistry: Paraffin-embedded Human mammary cancer tissue. Antigen Retrieval: Heat mediation was performed in Citrate buffer (pH 6.0, epitope retrieval solution) for 20 min. The tissue section was blocked with 10% goat serum. The tissue section was then stained with ARG42223 anti-RMI2 antibody at 1 µg/ml dilution, overnight at 4°C.
-
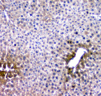
ARG42223 anti-RMI2 antibody IHC-P image
Immunohistochemistry: Paraffin-embedded Rat liver tissue. Antigen Retrieval: Heat mediation was performed in Citrate buffer (pH 6.0, epitope retrieval solution) for 20 min. The tissue section was blocked with 10% goat serum. The tissue section was then stained with ARG42223 anti-RMI2 antibody at 1 µg/ml dilution, overnight at 4°C.
-
ARG42223 anti-RMI2 antibody IHC-P image
Immunohistochemistry: Paraffin-embedded Mouse liver tissues. Antigen Retrieval: Heat mediation was performed in Citrate buffer (pH 6.0, epitope retrieval solution) for 20 min. The tissue section was blocked with 10% goat serum. The tissue section was then stained with ARG42223 anti-RMI2 antibody at 1 µg/ml dilution, overnight at 4°C.
