ARG59045
anti-RENT1 / hUPF1 antibody
anti-RENT1 / hUPF1 antibody for Flow cytometry,ICC/IF,IHC-Formalin-fixed paraffin-embedded sections,Western blot and Human,Mouse,Rat
概述
| 产品描述 | Rabbit Polyclonal antibody recognizes RENT1 / hUPF1 |
|---|---|
| 反应物种 | Hu, Ms, Rat |
| 预测物种 | Chk |
| 应用 | FACS, ICC/IF, IHC-P, WB |
| 宿主 | Rabbit |
| 克隆 | Polyclonal |
| 同位型 | IgG |
| 靶点名称 | RENT1 / hUPF1 |
| 抗原物种 | Human |
| 抗原 | Synthetic peptide corresponding to aa. 578-614 of Human RENT1 / hUPF1 (NMDSMPELQKLQQLKDETGELSSADEKRYRALKRT AE). |
| 偶联标记 | Un-conjugated |
| 別名 | Up-frameshift suppressor 1 homolog; smg-2; RENT1; NORF1; EC 3.6.4.-; Regulator of nonsense transcripts 1; Nonsense mRNA reducing factor 1; pNORF1; hUpf1; ATP-dependent helicase RENT1; HUPF1 |
应用说明
| 应用建议 |
|
||||||||||
|---|---|---|---|---|---|---|---|---|---|---|---|
| 应用说明 | IHC-P: Antigen Retrieval: By heat mediation. * The dilutions indicate recommended starting dilutions and the optimal dilutions or concentrations should be determined by the scientist. |
属性
| 形式 | Liquid |
|---|---|
| 纯化 | Affinity purification with immunogen. |
| 缓冲液 | 0.2% Na2HPO4, 0.9% NaCl, 0.05% Sodium azide and 5% BSA. |
| 抗菌剂 | 0.05% Sodium azide |
| 稳定剂 | 5% BSA |
| 浓度 | 0.5 mg/ml |
| 存放说明 | For continuous use, store undiluted antibody at 2-8°C for up to a week. For long-term storage, aliquot and store at -20°C or below. Storage in frost free freezers is not recommended. Avoid repeated freeze/thaw cycles. Suggest spin the vial prior to opening. The antibody solution should be gently mixed before use. |
| 注意事项 | For laboratory research only, not for drug, diagnostic or other use. |
生物信息
| 数据库连接 |
Swiss-port # Q92900 Human Regulator of nonsense transcripts 1 Swiss-port # Q9EPU0 Mouse Regulator of nonsense transcripts 1 |
|---|---|
| 基因名称 | UPF1 |
| 全名 | UPF1 regulator of nonsense transcripts homolog (yeast) |
| 背景介绍 | This gene encodes a protein that is part of a post-splicing multiprotein complex involved in both mRNA nuclear export and mRNA surveillance. mRNA surveillance detects exported mRNAs with truncated open reading frames and initiates nonsense-mediated mRNA decay (NMD). When translation ends upstream from the last exon-exon junction, this triggers NMD to degrade mRNAs containing premature stop codons. This protein is located only in the cytoplasm. When translation ends, it interacts with the protein that is a functional homolog of yeast Upf2p to trigger mRNA decapping. Use of multiple polyadenylation sites has been noted for this gene. Alternative splicing results in multiple transcript variants. [provided by RefSeq, Jul 2014] |
| 生物功能 | RNA-dependent helicase and ATPase required for nonsense-mediated decay (NMD) of mRNAs containing premature stop codons. Is recruited to mRNAs upon translation termination and undergoes a cycle of phosphorylation and dephosphorylation; its phosphorylation appears to be a key step in NMD. Recruited by release factors to stalled ribosomes together with the SMG1C protein kinase complex to form the transient SURF (SMG1-UPF1-eRF1-eRF3) complex. In EJC-dependent NMD, the SURF complex associates with the exon junction complex (EJC) (located 50-55 or more nucleotides downstream from the termination codon) through UPF2 and allows the formation of an UPF1-UPF2-UPF3 surveillance complex which is believed to activate NMD. Phosphorylated UPF1 is recognized by EST1B/SMG5, SMG6 and SMG7 which are thought to provide a link to the mRNA degradation machinery involving exonucleolytic and endonucleolytic pathways, and to serve as adapters to protein phosphatase 2A (PP2A), thereby triggering UPF1 dephosphorylation and allowing the recycling of NMD factors. UPF1 can also activate NMD without UPF2 or UPF3, and in the absence of the NMD-enhancing downstream EJC indicative for alternative NMD pathways. Plays a role in replication-dependent histone mRNA degradation at the end of phase S; the function is independent of UPF2. For the recognition of premature termination codons (PTC) and initiation of NMD a competitive interaction between UPF1 and PABPC1 with the ribosome-bound release factors is proposed. The ATPase activity of UPF1 is required for disassembly of mRNPs undergoing NMD. Essential for embryonic viability. [UniProt] |
| 细胞定位 | Cytoplasm. Cytoplasm, P-body. Nucleus. Hyperphosphorylated form is targeted to the P-body, while unphosphorylated protein is distributed throughout the cytoplasm. [UniProt] |
| 预测分子量 | 124 kDa |
| 翻译后修饰 | Phosphorylated by SMG1; required for formation of mRNA surveillance complexes. [UniProt] |
检测图片 (6) Click the Picture to Zoom In
-
ARG59045 anti-RENT1 / hUPF1 antibody ICC/IF image
Immunofluorescence: A431 cells were blocked with 10% goat serum and then stained with ARG59045 anti-RENT1 / hUPF1 antibody (green) at 2 µg/ml dilution, overnight at 4°C. DAPI (blue) for nuclear staining.
-
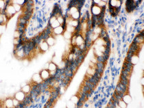
ARG59045 anti-RENT1 / hUPF1 antibody IHC-P image
Immunohistochemistry: Paraffin-embedded Mouse intestine tissue stained with ARG59045 anti-RENT1 / hUPF1 antibody.
-
ARG59045 anti-RENT1 / hUPF1 antibody WB image
Western blot: 50 µg of Rat pancreas and 40 µg of PANC lysates stained with ARG59045 anti-RENT1 / hUPF1 antibody at 0.5 µg/ml dilution.
-
ARG59045 anti-RENT1 / hUPF1 antibody FACS image
Flow Cytometry: PC-3 cells were blocked with 10% normal goat serum and then stained with ARG59045 anti-RENT1 / hUPF1 antibody (blue) at 1 µg/10^6 cells for 30 min at 20°C, followed by incubation with DyLight®488 labelled secondary antibody. Isotype control antibody (green) was rabbit IgG (1 µg/10^6 cells) used under the same conditions. Unlabelled sample (red) was also used as a control.
-
ARG59045 anti-RENT1 / hUPF1 antibody IHC-P image
Immunohistochemistry: Paraffin-embedded Rat intestine tissue stained with ARG59045 anti-RENT1 / hUPF1 antibody.
-
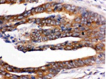
ARG59045 anti-RENT1 / hUPF1 antibody IHC-P image
Immunohistochemistry: Paraffin-embedded Human intestinal cancer tissue stained with ARG59045 anti-RENT1 / hUPF1 antibody.
