ARG41693
anti-RBMS3 antibody
anti-RBMS3 antibody for ICC/IF,IHC-Formalin-fixed paraffin-embedded sections,Western blot and Human,Mouse,Rat
概述
| 产品描述 | Rabbit Polyclonal antibody recognizes RBMS3 |
|---|---|
| 反应物种 | Hu, Ms, Rat |
| 应用 | ICC/IF, IHC-P, WB |
| 宿主 | Rabbit |
| 克隆 | Polyclonal |
| 同位型 | IgG |
| 靶点名称 | RBMS3 |
| 抗原物种 | Human |
| 抗原 | Recombinant protein corresponding to T350-P437 of Human RBMS3. |
| 偶联标记 | Un-conjugated |
| 別名 | RNA-binding motif, single-stranded-interacting protein 3 |
应用说明
| 应用建议 |
|
||||||||
|---|---|---|---|---|---|---|---|---|---|
| 应用说明 | IHC-P: Antigen Retrieval: Heat mediation was performed in Citrate buffer (pH 6.0, epitope retrieval solution) for 20 min. * The dilutions indicate recommended starting dilutions and the optimal dilutions or concentrations should be determined by the scientist. |
||||||||
| 实际分子量 | ~ 55 kDa |
属性
| 形式 | Liquid |
|---|---|
| 纯化 | Affinity purification with immunogen. |
| 缓冲液 | 0.2% Na2HPO4, 0.9% NaCl, 0.05% Sodium azide and 4% Trehalose. |
| 抗菌剂 | 0.05% Sodium azide |
| 稳定剂 | 4% Trehalose |
| 浓度 | 0.5 mg/ml |
| 存放说明 | For continuous use, store undiluted antibody at 2-8°C for up to a week. For long-term storage, aliquot and store at -20°C or below. Storage in frost free freezers is not recommended. Avoid repeated freeze/thaw cycles. Suggest spin the vial prior to opening. The antibody solution should be gently mixed before use. |
| 注意事项 | For laboratory research only, not for drug, diagnostic or other use. |
生物信息
| 数据库连接 |
Swiss-port # Q6XE24 Human RNA-binding motif, single-stranded-interacting protein 3 Swiss-port # Q8BWL5 Mouse RNA-binding motif, single-stranded-interacting protein 3 |
|---|---|
| 基因名称 | RBMS3 |
| 全名 | RNA binding motif, single stranded interacting protein 3 |
| 背景介绍 | This gene encodes an RNA-binding protein that belongs to the c-myc gene single-strand binding protein family. These proteins are characterized by the presence of two sets of ribonucleoprotein consensus sequence (RNP-CS) that contain conserved motifs, RNP1 and RNP2, originally described in RNA binding proteins, and required for DNA binding. These proteins have been implicated in such diverse functions as DNA replication, gene transcription, cell cycle progression and apoptosis. The encoded protein was isolated by virtue of its binding to an upstream element of the alpha2(I) collagen promoter. The observation that this protein localizes mostly in the cytoplasm suggests that it may be involved in a cytoplasmic function such as controlling RNA metabolism, rather than transcription. Multiple alternatively spliced transcript variants encoding different isoforms have been found for this gene. [provided by RefSeq, Apr 2010] |
| 生物功能 | Binds poly(A) and poly(U) oligoribonucleotides. [UniProt] |
| 细胞定位 | Cytoplasm. [UniProt] |
| 预测分子量 | 48 kDa |
检测图片 (6) Click the Picture to Zoom In
-
ARG41693 anti-RBMS3 antibody ICC/IF image
Immunofluorescence: U2OS cells stained with ARG41693 anti-RBMS3 antibody (red) at 2 µg/ml dilution, overnight at 4°C. DAPI (blue) for nuclear staining.
-
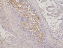
ARG41693 anti-RBMS3 antibody IHC-P image
Immunohistochemistry: Paraffin-embedded Human oesophagus squama cancer tissue. Antigen Retrieval: Heat mediation was performed in Citrate buffer (pH 6.0, epitope retrieval solution) for 20 min. The tissue section was blocked with 10% goat serum. The tissue section was then stained with ARG41693 anti-RBMS3 antibody at 1 µg/ml dilution, overnight at 4°C.
-
ARG41693 anti-RBMS3 antibody WB image
Western blot: 50 µg of samples under reducing conditions. U2OS, PC-3, U-87MG, A549 and HeLa whole cell lysates stained with ARG41693 anti-RBMS3 antibody at 0.5 µg/ml dilution, overnight at 4°C.
-
ARG41693 anti-RBMS3 antibody IHC-P image
Immunohistochemistry: Paraffin-embedded Mouse brain tissue. Antigen Retrieval: Heat mediation was performed in Citrate buffer (pH 6.0, epitope retrieval solution) for 20 min. The tissue section was blocked with 10% goat serum. The tissue section was then stained with ARG41693 anti-RBMS3 antibody at 1 µg/ml dilution, overnight at 4°C.
-
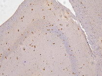
ARG41693 anti-RBMS3 antibody IHC-P image
Immunohistochemistry: Paraffin-embedded Rat brain tissue. Antigen Retrieval: Heat mediation was performed in Citrate buffer (pH 6.0, epitope retrieval solution) for 20 min. The tissue section was blocked with 10% goat serum. The tissue section was then stained with ARG41693 anti-RBMS3 antibody at 1 µg/ml dilution, overnight at 4°C.
-
ARG41693 anti-RBMS3 antibody WB image
Western blot: 50 µg of samples under reducing conditions. Rat heart and Mouse testis lysates stained with ARG41693 anti-RBMS3 antibody at 0.5 µg/ml dilution, overnight at 4°C.
