ARG45299
anti-RBM22 antibody
anti-RBM22 antibody for Flow cytometry,IHC-Formalin-fixed paraffin-embedded sections,Western blot and Human,Mouse,Rat
概述
| 产品描述 | Polyclonal antibody recognizes RBM22 |
|---|---|
| 反应物种 | Hu, Ms, Rat |
| 应用 | FACS, IHC-P, WB |
| 宿主 | Rabbit |
| 克隆 | Polyclonal |
| 同位型 | IgG |
| 靶点名称 | RBM22 |
| 抗原物种 | Human |
| 抗原 | Recombinant protein containing to human RBM22. |
| 偶联标记 | Un-conjugated |
| 別名 | RBM22; RNA Binding Motif Protein 22; ZC3H16; FSAP47; Cwc2; Zinc Finger CCCH Domain-Containing Protein 16; Functional Spliceosome-Associated Protein 47; Pre-MRNA-Splicing Factor RBM22; FLJ10290; RNA-Binding Motif Protein 22 |
应用说明
| 应用建议 |
|
||||||||
|---|---|---|---|---|---|---|---|---|---|
| 应用说明 | * The dilutions indicate recommended starting dilutions and the optimal dilutions or concentrations should be determined by the scientist. | ||||||||
| 实际分子量 | 47 kDa |
属性
| 形式 | Liquid |
|---|---|
| 纯化 | Affinity purification with immunogen. |
| 缓冲液 | 0.2% Na2HPO4, 0.9% NaCl and 4% Trehalose. |
| 稳定剂 | 4% Trehalose |
| 浓度 | 0.5 mg/ml |
| 存放说明 | For continuous use, store undiluted antibody at 2-8°C for up to a week. For long-term storage, aliquot and store at -20°C or below. Storage in frost free freezers is not recommended. Avoid repeated freeze/thaw cycles. Suggest spin the vial prior to opening. The antibody solution should be gently mixed before use. |
| 注意事项 | For laboratory research only, not for drug, diagnostic or other use. |
生物信息
| 数据库连接 | |
|---|---|
| 基因名称 | RBM22 |
| 全名 | RNA Binding Motif Protein 22 |
| 背景介绍 | This gene encodes an RNA binding protein. The encoded protein may play a role in cell division and may be involved in pre-mRNA splicing. Related pseudogenes exist on chromosomes 6, 7, 9, 13, 16, 18, and X. [provided by RefSeq, Mar 2009] |
| 生物功能 | Required for pre-mRNA splicing as component of the activated spliceosome. [UniProt] |
| 细胞定位 | Cytoplasm; Nucleus; Spliceosome. [UniProt] |
| 预测分子量 | 47 kDa |
| 翻译后修饰 | Acetylation; Isopeptide bond; Phosphoprotein; Ubl conjugation. [UniProt] |
检测图片 (5) Click the Picture to Zoom In
-
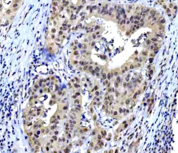
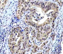
ARG45299 anti-RBM22 antibody IHC-P image
Immunohistochemistry: Human appendix adenocarcinoma stained with ARG45299 anti-RBM22 antibody at 2 μg/ml dilution.
-
ARG45299 anti-RBM22 antibody WB image
Western blot: 293T and Hela stained with ARG45299 anti-RBM22 antibody at 0.5 μg/ml dilution.
-
ARG45299 anti-RBM22 antibody FACS image
Flow Cytometry: Daudi stained with ARG45299 anti-RBM22 antibody at 1 µg/10^6 cells dilution.
-
ARG45299 anti-RBM22 antibody WB image
Western blot: RH35 stained with ARG45299 anti-RBM22 antibody at 0.5 μg/ml dilution.
-
ARG45299 anti-RBM22 antibody WB image
Western blot: NIH/3T3 stained with ARG45299 anti-RBM22 antibody at 0.5 μg/ml dilution.
