ARG44538
anti-RBM15B antibody
anti-RBM15B antibody for Flow cytometry,IHC-Formalin-fixed paraffin-embedded sections,Western blot and Human,Rat
概述
| 产品描述 | Rabbit Polyclonal antibody recognizes RBM15B |
|---|---|
| 反应物种 | Hu, Rat |
| 应用 | FACS, IHC-P, WB |
| 宿主 | Rabbit |
| 克隆 | Polyclonal |
| 同位型 | IgG |
| 靶点名称 | RBM15B |
| 抗原物种 | Human |
| 抗原 | Human RBM15B recombinant protein. |
| 偶联标记 | Un-conjugated |
| 別名 | RBM15B; RNA Binding Motif Protein 15B; OTT3; HUMAGCGB; Putative RNA-Binding Protein 15B; HsOTT3; HuOTT3; Chromosome 3p21.1 Gene Sequence; RNA-Binding Motif Protein 15B; One Twenty Two Protein 3; One-Twenty Two Protein 3 |
应用说明
| 应用建议 |
|
||||||||
|---|---|---|---|---|---|---|---|---|---|
| 应用说明 | * The dilutions indicate recommended starting dilutions and the optimal dilutions or concentrations should be determined by the scientist. |
属性
| 形式 | Liquid |
|---|---|
| 纯化 | Affinity purification with immunogen. |
| 缓冲液 | 0.9% NaCl, 0.2% Na2HPO4 and 4% Trehalose. |
| 稳定剂 | 4% Trehalose |
| 浓度 | 0.5 mg/ml |
| 存放说明 | For continuous use, store undiluted antibody at 2-8°C for up to a week. For long-term storage, aliquot and store at -20°C or below. Storage in frost free freezers is not recommended. Avoid repeated freeze/thaw cycles. Suggest spin the vial prior to opening. The antibody solution should be gently mixed before use. |
| 注意事项 | For laboratory research only, not for drug, diagnostic or other use. |
生物信息
| 数据库连接 | |
|---|---|
| 基因名称 | RBM15B |
| 全名 | RNA Binding Motif Protein 15B |
| 背景介绍 | Members of the SPEN (Split-end) family of proteins, including RBM15B, have repressor function in several signaling pathways and may bind to RNA through interaction with spliceosome components. |
| 生物功能 | RNA-binding protein that acts as a key regulator of N6-methyladenosine (m6A) methylation of RNAs, thereby regulating different processes, such as alternative splicing of mRNAs and X chromosome inactivation mediated by Xist RNA. |
| 细胞定位 | Nucleus |
| 预测分子量 | 97 kDa |
检测图片 (6) Click the Picture to Zoom In
-
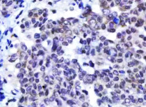
ARG44538 anti-RBM15B antibody IHC-P image
Immunohistochemistry: Human esophageal squamous carcinoma stained with ARG44538 anti-RBM15B antibody at 2 μg/ml dilution.
-
ARG44538 anti-RBM15B antibody ICC/IF image
Immunofluorescence: Human intestinal cancer stained with ARG44538 anti-RBM15B antibody at 5 μg/ml dilution.
-
ARG44538 anti-RBM15B antibody WB image
Western blot: HeLa, 293T and MOLT-4 stained with ARG44538 anti-RBM15B antibody at 0.5 μg/mL dilution.
-
ARG44538 anti-RBM15B antibody FACS image
Flow Cytometry: Daudi stained with ARG44538 anti-RBM15B antibody at 1 μg/10^6 cells dilution.
-
ARG44538 anti-RBM15B antibody WB image
Western blot: C6 stained with ARG44538 anti-RBM15B antibody at 0.5 μg/mL dilution.
-
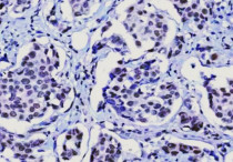
ARG44538 anti-RBM15B antibody IHC-P image
Immunohistochemistry: Human lung squamous cell carcinoma stained with ARG44538 anti-RBM15B antibody at 2 μg/ml dilution.
