ARG43057
anti-RBFOX2 / RBM9 antibody
anti-RBFOX2 / RBM9 antibody for Flow cytometry,ICC/IF,IHC-Formalin-fixed paraffin-embedded sections,Western blot and Human,Mouse,Rat
概述
| 产品描述 | Rabbit Polyclonal antibody recognizes RBFOX2 / RBM9 |
|---|---|
| 反应物种 | Hu, Ms, Rat |
| 应用 | FACS, ICC/IF, IHC-P, WB |
| 宿主 | Rabbit |
| 克隆 | Polyclonal |
| 同位型 | IgG |
| 靶点名称 | RBFOX2 / RBM9 |
| 抗原物种 | Human |
| 抗原 | Recombinant protein corresponding to M1-Q81 of Human RBFOX2 / RBM9. |
| 偶联标记 | Un-conjugated |
| 別名 | RNA binding protein fox-1 homolog 2; dJ106I20.3; RTA; HRNBP2; HNRBP2; Fox-1 homolog B; RBM9; Hexaribonucleotide-binding protein 2; RNA-binding protein 9; fxh; Repressor of tamoxifen transcriptional activity; Fox-2; FOX2; RNA-binding motif protein 9 |
应用说明
| 应用建议 |
|
||||||||||
|---|---|---|---|---|---|---|---|---|---|---|---|
| 应用说明 | IHC-P: Antigen Retrieval: Heat mediation was performed in Citrate buffer (pH 6.0) for 20 min. * The dilutions indicate recommended starting dilutions and the optimal dilutions or concentrations should be determined by the scientist. |
属性
| 形式 | Liquid |
|---|---|
| 纯化 | Affinity purification with immunogen. |
| 缓冲液 | 0.2% Na2HPO4, 0.9% NaCl, 0.05% Sodium azide and 4% Trehalose. |
| 抗菌剂 | 0.05% Sodium azide |
| 稳定剂 | 4% Trehalose |
| 浓度 | 0.5 mg/ml |
| 存放说明 | For continuous use, store undiluted antibody at 2-8°C for up to a week. For long-term storage, aliquot and store at -20°C or below. Storage in frost free freezers is not recommended. Avoid repeated freeze/thaw cycles. Suggest spin the vial prior to opening. The antibody solution should be gently mixed before use. |
| 注意事项 | For laboratory research only, not for drug, diagnostic or other use. |
生物信息
| 数据库连接 | |
|---|---|
| 基因名称 | RBFOX2 |
| 全名 | RNA binding protein, fox-1 homolog (C. elegans) 2 |
| 背景介绍 | This gene is one of several human genes similar to the C. elegans gene Fox-1. This gene encodes an RNA binding protein that is thought to be a key regulator of alternative exon splicing in the nervous system and other cell types. The protein binds to a conserved UGCAUG element found downstream of many alternatively spliced exons and promotes inclusion of the alternative exon in mature transcripts. The protein also interacts with the estrogen receptor 1 transcription factor and regulates estrogen receptor 1 transcriptional activity. Multiple transcript variants encoding different isoforms have been found for this gene. [provided by RefSeq, Jul 2008] |
| 生物功能 | RNA-binding protein that regulates alternative splicing events by binding to 5'-UGCAUGU-3' elements. Prevents binding of U2AF2 to the 3'-splice site. Regulates alternative splicing of tissue-specific exons and of differentially spliced exons during erythropoiesis (By similarity). RNA-binding protein that seems to act as a coregulatory factor of ER-alpha. [UniProt] |
| 细胞定位 | Nucleus. Cytoplasm. [UniProt] |
| 预测分子量 | 41 kDa |
检测图片 (7) Click the Picture to Zoom In
-
ARG43057 anti-RBFOX2 / RBM9 antibody ICC/IF image
Immunofluorescence: U2OS cells were blocked with 10% goat serum and then stained with ARG43057 anti-RBFOX2 / RBM9 antibody (green) at 2 µg/ml dilution, overnight at 4°C. DAPI (blue) for nuclear staining.
-
ARG43057 anti-RBFOX2 / RBM9 antibody IHC-P image
Immunohistochemistry: Paraffin-embedded Human melanoma tissue. Antigen Retrieval: Heat mediation was performed in Citrate buffer (pH 6.0) for 20 min. The tissue section was blocked with 10% goat serum. The tissue section was then stained with ARG43057 anti-RBFOX2 / RBM9 antibody at 1 µg/ml dilution, overnight at 4°C.
-
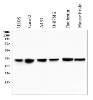
ARG43057 anti-RBFOX2 / RBM9 antibody WB image
Western blot: 50 µg of sample under reducing conditions. U2OS, Caco-2, A431, U-87MG, Rat brain and Mouse brain lysates stained with ARG43057 anti-RBFOX2 / RBM9 antibody at 0.5 µg/ml dilution, overnight at 4°C.
-
ARG43057 anti-RBFOX2 / RBM9 antibody FACS image
Flow Cytometry: SiHa cells were blocked with 10% normal goat serum and then stained with ARG43057 anti-RBFOX2 / RBM9 antibody (blue) at 1 µg/10^6 cells for 30 min at 20°C, followed by incubation with DyLight®488 labelled secondary antibody. Isotype control antibody (green) was rabbit IgG (1 µg/10^6 cells) used under the same conditions. Unlabelled sample (red) was also used as a control.
-
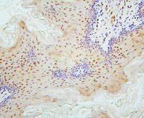
ARG43057 anti-RBFOX2 / RBM9 antibody IHC-P image
Immunohistochemistry: Paraffin-embedded Mouse gaster tissue. Antigen Retrieval: Heat mediation was performed in Citrate buffer (pH 6.0) for 20 min. The tissue section was blocked with 10% goat serum. The tissue section was then stained with ARG43057 anti-RBFOX2 / RBM9 antibody at 1 µg/ml dilution, overnight at 4°C.
-
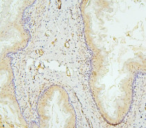
ARG43057 anti-RBFOX2 / RBM9 antibody IHC-P image
Immunohistochemistry: Paraffin-embedded Rat gaster tissue. Antigen Retrieval: Heat mediation was performed in Citrate buffer (pH 6.0) for 20 min. The tissue section was blocked with 10% goat serum. The tissue section was then stained with ARG43057 anti-RBFOX2 / RBM9 antibody at 1 µg/ml dilution, overnight at 4°C.
-
ARG43057 anti-RBFOX2 / RBM9 antibody IHC-P image
Immunohistochemistry: Paraffin-embedded Rat gaster tissue. Antigen Retrieval: Heat mediation was performed in Citrate buffer (pH 6.0) for 20 min. The tissue section was blocked with 10% goat serum. The tissue section was then stained with ARG43057 anti-RBFOX2 / RBM9 antibody at 1 µg/ml dilution, overnight at 4°C.
