ARG45635
anti-RAPH1 antibody
anti-RAPH1 antibody for IHC-Formalin-fixed paraffin-embedded sections,Western blot and Human,Mouse
概述
| 产品描述 | Rabbit Polyclonal antibody recognizes RAPH1 |
|---|---|
| 反应物种 | Hu, Ms |
| 应用 | IHC-P, WB |
| 宿主 | Rabbit |
| 克隆 | Polyclonal |
| 同位型 | IgG |
| 靶点名称 | RAPH1 |
| 抗原物种 | Human |
| 抗原 | Recombinant protein containing to human RAPH1. |
| 偶联标记 | Un-conjugated |
| 別名 | RAPH1; Ras Association (RalGDS/AF-6) And Pleckstrin Homology Domains 1; KIAA1681; ALS2CR18; ALS2CR9; Amyotrophic Lateral Sclerosis 2 (Juvenile) Chromosome Region, Candidate 18; Amyotrophic Lateral Sclerosis 2 (Juvenile) Chromosome Region, Candidate 9; Ras-Associated And Pleckstrin Homology Domains-Containing Protein 1; Proline-Rich EVH1 Ligand 2; Lamellipodin; PREL-2; PREL2; RMO1; LPD; Amyotrophic Lateral Sclerosis 2 Chromosomal Region Candidate Gene 18 Protein; Amyotrophic Lateral Sclerosis 2 Chromosomal Region Candidate Gene 9 Protein; Protein RMO1; RalGDS/AF-6 |
应用说明
| 应用建议 |
|
||||||
|---|---|---|---|---|---|---|---|
| 应用说明 | * The dilutions indicate recommended starting dilutions and the optimal dilutions or concentrations should be determined by the scientist. |
属性
| 形式 | Liquid |
|---|---|
| 纯化 | Affinity purified |
| 缓冲液 | 0.2% Na2HPO4, 0.9% NaCl and 4% Trehalose. |
| 稳定剂 | 4% Trehalose |
| 浓度 | 0.5 mg/ml |
| 存放说明 | For continuous use, store undiluted antibody at 2-8°C for up to a week. For long-term storage, aliquot and store at -20°C or below. Storage in frost free freezers is not recommended. Avoid repeated freeze/thaw cycles. Suggest spin the vial prior to opening. The antibody solution should be gently mixed before use. |
| 注意事项 | For laboratory research only, not for drug, diagnostic or other use. |
生物信息
| 数据库连接 |
Swiss-port # Q70E73 Human Ras-associated and pleckstrin homology domains-containing protein 1 |
|---|---|
| 基因名称 | RAPH1 |
| 全名 | Ras Association (RalGDS/AF-6) And Pleckstrin Homology Domains 1 |
| 背景介绍 | This gene encodes a protein that belongs to the Mig10/Rap1-interacting adaptor molecule/Lamellipodin family of adapter proteins, which function in cell migration. Members of this family contain pleckstrin-homology domains, Ras-association domains, and proline-rich C-termini. The protein encoded by this gene regulates actin dynamics through interaction with Ena/Vasodilator proteins as well as direct binding to filamentous actin to regulate actin network assembly. Alternative splicing results in multiple transcript variants. [provided by RefSeq, Jul 2016] |
| 生物功能 | Mediator of localized membrane signals. Implicated in the regulation of lamellipodial dynamics. Negatively regulates cell adhesion. [UniProt] |
| 细胞定位 | Cell membrane; Cell projection; Cytoplasm; Cytoskeleton; Membrane. [UniProt] |
| 预测分子量 | 135 kDa |
| 翻译后修饰 | Acetylation; Phosphoprotein |
检测图片 (3) Click the Picture to Zoom In
-
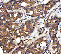
ARG45635 anti-RAPH1 antibody IHC-P image
Immunohistochemistry: Human breast cancer stained with ARG45635 anti-RAPH1 antibody at 2 μg/ml dilution.
-
ARG45635 anti-RAPH1 antibody WB image
Western blot: RT4 stained with ARG45635 anti-RAPH1 antibody at 0.5 μg/ml dilution.
-
ARG45635 anti-RAPH1 antibody WB image
Western blot: Mouse brain stained with ARG45635 anti-RAPH1 antibody at 0.5 μg/ml dilution.
