ARG44732
anti-RANGAP1 antibody
anti-RANGAP1 antibody for IHC-Formalin-fixed paraffin-embedded sections,Immunoprecipitation,Western blot and Human
概述
| 产品描述 | Mouse Monoclonal antibody recognizes RANGAP1 |
|---|---|
| 反应物种 | Hu |
| 应用 | IHC-P, IP, WB |
| 宿主 | Mouse |
| 克隆 | Monoclonal |
| 同位型 | IgG1 |
| 靶点名称 | RANGAP1 |
| 抗原物种 | Human |
| 偶联标记 | Un-conjugated |
| 別名 | RANGAP; Fug1; RanGAP1; Ran GTPase-activating protein 1; SD |
应用说明
| 应用建议 |
|
||||||||
|---|---|---|---|---|---|---|---|---|---|
| 应用说明 | * The dilutions indicate recommended starting dilutions and the optimal dilutions or concentrations should be determined by the scientist. |
属性
| 形式 | Liquid |
|---|---|
| 纯化 | Protein A purification |
| 缓冲液 | PBS with 0.09% sodium azide |
| 存放说明 | For continuous use, store undiluted antibody at 2-8°C for up to a week. For long-term storage, aliquot and store at -20°C or below. Storage in frost free freezers is not recommended. Avoid repeated freeze/thaw cycles. Suggest spin the vial prior to opening. The antibody solution should be gently mixed before use. |
| 注意事项 | For laboratory research only, not for drug, diagnostic or other use. |
生物信息
| 数据库连接 | |
|---|---|
| 基因名称 | RANGAP1 |
| 全名 | Ran GTPase activating protein 1 |
| 背景介绍 | This gene encodes a protein that associates with the nuclear pore complex and participates in the regulation of nuclear transport. The encoded protein interacts with Ras-related nuclear protein 1 (RAN) and regulates guanosine triphosphate (GTP)-binding and exchange. Alternative splicing results in multiple transcript variants. [provided by RefSeq, Jul 2013] |
| 生物功能 | GTPase activator for the nuclear Ras-related regulatory protein Ran, converting it to the putatively inactive GDP-bound state. [UniProt] |
| 预测分子量 | 37 kDa |
检测图片 (3) Click the Picture to Zoom In
-
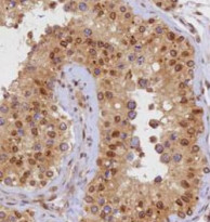
ARG44732 anti-RANGAP1 antibody IHC-P image
Immunohistochemistry: Human testis stained with ARG44732 anti-RANGAP1 antibody at 1 µg/mL dilution.
-
ARG44732 anti-RANGAP1 antibody WB image
Western blot: PC3 stained with ARG44732 anti-RANGAP1 antibody at 1 µg/mL dilution.
-
ARG44732 anti-RANGAP1 antibody IP image
Immunoprecipitation: PC3 lysate immunoprecipitated with 2.5 µg of ARG44732 anti-RANGAP1 antibody.
