ARG44484
anti-RANBP8 / IPO8 antibody
anti-RANBP8 / IPO8 antibody for IHC-Formalin-fixed paraffin-embedded sections,Western blot and Human
概述
| 产品描述 | Rabbit Polyclonal antibody recognizes RANBP8 / IPO8 |
|---|---|
| 反应物种 | Hu |
| 应用 | IHC-P, WB |
| 宿主 | Rabbit |
| 克隆 | Polyclonal |
| 同位型 | IgG |
| 靶点名称 | RANBP8 / IPO8 |
| 抗原物种 | Human |
| 抗原 | Human RANBP8 / IPO8 recombinant protein |
| 偶联标记 | Un-conjugated |
| 別名 | IPO8; Importin 8; RANBP8; IMP8; RAN Binding Protein 8; Ran-Binding Protein 8; Importin-8; RanBP8; VISS; Imp8 |
应用说明
| 应用建议 |
|
||||||
|---|---|---|---|---|---|---|---|
| 应用说明 | The dilutions indicate recommended starting dilutions and the optimal dilutions or concentrations should be determined by the scientist. |
属性
| 形式 | Liquid |
|---|---|
| 纯化 | Affinity purified with Immunogen. |
| 缓冲液 | 0.9% NaCl, 0.2% Na2HPO4, 0.05% Sodium azide and 4% Trehalose. |
| 抗菌剂 | 0.05% Sodium azide |
| 稳定剂 | 4% Trehalose |
| 浓度 | 0.5 mg/ml |
| 存放说明 | For continuous use, store undiluted antibody at 2-8°C for up to a week. For long-term storage, aliquot and store at -20°C or below. Storage in frost free freezers is not recommended. Avoid repeated freeze/thaw cycles. Suggest spin the vial prior to opening. The antibody solution should be gently mixed before use. |
| 注意事项 | For laboratory research only, not for drug, diagnostic or other use. |
生物信息
| 数据库连接 | |
|---|---|
| 基因名称 | IPO8 |
| 全名 | Importin 8 |
| 背景介绍 | The importin-alpha/beta complex and the GTPase Ran mediate nuclear import of proteins with a classical nuclear localization signal. The protein encoded by this gene is a member of a class of approximately 20 potential Ran targets that share a sequence motif related to the Ran-binding site of importin-beta. This protein binds to the nuclear pore complex and, along with RanGTP and RANBP1, inhibits the GAP stimulation of the Ran GTPase. Alternatively spliced transcript variants encoding different isoforms have been found for this gene. |
| 生物功能 | Involved in nuclear protein import, either by acting as autonomous nuclear transport receptor or as an adapter-like protein in association with the importin-beta subunit KPNB1. Acting autonomously, may serve as receptor for nuclear localization signals (NLS) and promote translocation of import substrates through the nuclear pore complex (NPC) by an energy requiring, Ran-dependent mechanism. At the nucleoplasmic side of the NPC, Ran binds to importin, the importin/substrate complex dissociates and importin is re-exported from the nucleus to the cytoplasm where GTP hydrolysis releases Ran. The directionality of nuclear import is thought to be conferred by an asymmetric distribution of the GTP- and GDP-bound forms of Ran between the cytoplasm and nucleus. |
| 细胞定位 | Cytoplasm, Nucleus |
| 预测分子量 | 120 kDa |
| 翻译后修饰 | Phosphoprotein |
检测图片 (3) Click the Picture to Zoom In
-
ARG44484 anti-RANBP8 / IPO8 antibody IHC-P image
Immunohistochemistry: Human liver cancer stained with ARG44484 anti-RANBP8 / IPO8 antibody at 2 μg/mL dilution.
-
ARG44484 anti-RANBP8 / IPO8 antibody WB image
Western blot: HeLa and K562 stained with ARG44484 anti-RANBP8 / IPO8 antibody at 0.5 μg/mL dilution.
-
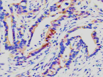
ARG44484 anti-RANBP8 / IPO8 antibody IHC-P image
Immunohistochemistry: Human pancreas ductal adenocarcinoma stained with ARG44484 anti-RANBP8 / IPO8 antibody at 2 μg/mL dilution.
