ARG63811
anti-RAE1 antibody
anti-RAE1 antibody for IHC-Formalin-fixed paraffin-embedded sections,Western blot and Human
Cell Biology and Cellular Response antibody; Controls and Markers antibody; Gene Regulation antibody; Signaling Transduction antibody
概述
| 产品描述 | Goat Polyclonal antibody recognizes RAE1 |
|---|---|
| 反应物种 | Hu |
| 预测物种 | Ms, Rat, Cow, Dog, Pig |
| 应用 | IHC-P, WB |
| 特异性 | NP_003601and NP_001015885 represent identical proteins. |
| 宿主 | Goat |
| 克隆 | Polyclonal |
| 同位型 | IgG |
| 靶点名称 | RAE1 |
| 抗原物种 | Human |
| 抗原 | C-NAAEELKPRNKK |
| 偶联标记 | Un-conjugated |
| 別名 | MRNP41; dJ481F12.3; mRNA-associated protein mrnp 41; Mnrp41; MIG14; dJ800J21.1; Rae1 protein homolog; mRNA export factor |
应用说明
| 应用建议 |
|
||||||
|---|---|---|---|---|---|---|---|
| 应用说明 | WB: Recommend incubate at RT for 1h. IHC-P: Antigen Retrieval: Steam tissue section in Citrate buffer (pH 6.0). * The dilutions indicate recommended starting dilutions and the optimal dilutions or concentrations should be determined by the scientist. |
属性
| 形式 | Liquid |
|---|---|
| 纯化 | Purified from goat serum by antigen affinity chromatography. |
| 缓冲液 | Tris saline (pH 7.3), 0.02% Sodium azide and 0.5% BSA. |
| 抗菌剂 | 0.02% Sodium azide |
| 稳定剂 | 0.5% BSA |
| 浓度 | 0.5 mg/ml |
| 存放说明 | For continuous use, store undiluted antibody at 2-8°C for up to a week. For long-term storage, aliquot and store at -20°C or below. Storage in frost free freezers is not recommended. Avoid repeated freeze/thaw cycles. Suggest spin the vial prior to opening. The antibody solution should be gently mixed before use. |
| 注意事项 | For laboratory research only, not for drug, diagnostic or other use. |
生物信息
| 数据库连接 | |
|---|---|
| 背景介绍 | Mutations in the Schizosaccharomyces pombe Rae1 and Saccharomyces cerevisiae Gle2 genes have been shown to result in accumulation of poly(A)-containing mRNA in the nucleus, suggesting that the encoded proteins are involved in RNA export. The protein encoded by this gene is a homolog of yeast Rae1. It contains four WD40 motifs, and has been shown to localize to distinct foci in the nucleoplasm, to the nuclear rim, and to meshwork-like structures throughout the cytoplasm. This gene is thought to be involved in nucleocytoplasmic transport, and in directly or indirectly attaching cytoplasmic mRNPs to the cytoskeleton. Alternatively spliced transcript variants encoding the same protein have been found for this gene. [provided by RefSeq, Jul 2008] |
| 研究领域 | Cell Biology and Cellular Response antibody; Controls and Markers antibody; Gene Regulation antibody; Signaling Transduction antibody |
| 预测分子量 | 41 kDa |
检测图片 (3) Click the Picture to Zoom In
-
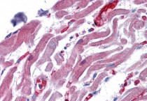
ARG63811 anti-RAE1 antibody IHC-P image
Immunohistochemistry: Paraffin-embedded Human heart tissue. Antigen Retrieval: Steam tissue section in Citrate buffer (pH 6.0). The tissue section was stained with ARG63811 anti-RAE1 antibody at 3.75 µg/ml dilution followed by AP-staining.
-
ARG63811 anti-RAE1 antibody IHC-P image
Immunohistochemistry: paraffin embedded Human Brain Cortex. (Steamed antigen retrieval with citrate buffer pH 6) stained with ARG63811 anti-RAE1 antibody at 3.8 µg/ml dilution followed by AP-staining.
-
ARG63811 anti-RAE1 antibody WB image
Western blot: 35 µg of HepG2 (A), HeLa (B), Jurkat (C) and MCF7 (D) lysates (in RIPA buffer) stained with ARG63811 anti-RAE1 antibody at 0.1 µg/ml dilution and incubated at RT for 1 hour.
