ARG59020
anti-RAB6A antibody
anti-RAB6A antibody for IHC-Formalin-fixed paraffin-embedded sections,Western blot and Human,Mouse,Rat
概述
| 产品描述 | Rabbit Polyclonal antibody recognizes RAB6A |
|---|---|
| 反应物种 | Hu, Ms, Rat |
| 应用 | IHC-P, WB |
| 宿主 | Rabbit |
| 克隆 | Polyclonal |
| 同位型 | IgG |
| 靶点名称 | RAB6A |
| 抗原物种 | Human |
| 抗原 | Synthetic peptide corresponding to a sequence of Human RAB6A (RRVAAALPGMESTQDRSREDMIDIKLEKPQEQPVSE). |
| 偶联标记 | Un-conjugated |
| 別名 | Ras-related protein Rab-6A; Rab-6; RAB6 |
应用说明
| 应用建议 |
|
||||||
|---|---|---|---|---|---|---|---|
| 应用说明 | IHC-P: Antigen Retrieval: Heat mediation was performed in Citrate buffer (pH 6.0) for 20 min. * The dilutions indicate recommended starting dilutions and the optimal dilutions or concentrations should be determined by the scientist. |
属性
| 形式 | Liquid |
|---|---|
| 纯化 | Affinity purification with immunogen. |
| 缓冲液 | 0.2% Na2HPO4, 0.9% NaCl, 0.05% Sodium azide and 4% Trehalose. |
| 抗菌剂 | 0.05% Sodium azide |
| 稳定剂 | 4% Trehalose |
| 浓度 | 0.5 mg/ml |
| 存放说明 | For continuous use, store undiluted antibody at 2-8°C for up to a week. For long-term storage, aliquot and store at -20°C or below. Storage in frost free freezers is not recommended. Avoid repeated freeze/thaw cycles. Suggest spin the vial prior to opening. The antibody solution should be gently mixed before use. |
| 注意事项 | For laboratory research only, not for drug, diagnostic or other use. |
生物信息
| 数据库连接 | |
|---|---|
| 基因名称 | RAB6A |
| 全名 | RAB6A, member RAS oncogene family |
| 背景介绍 | This gene encodes a member of the RAB family, which belongs to the small GTPase superfamily. GTPases of the RAB family bind to various effectors to regulate the targeting and fusion of transport carriers to acceptor compartments. This protein is located at the Golgi apparatus, which regulates trafficking in both a retrograde (from early endosomes and Golgi to the endoplasmic reticulum) and an anterograde (from the Golgi to the plasma membrane) directions. Myosin II is an effector of this protein in these processes. This protein is also involved in assembly of human cytomegalovirus (HCMV) by interacting with the cellular protein Bicaudal D1, which interacts with the HCMV virion tegument protein, pp150. Multiple alternatively spliced transcript variants encoding different isoforms have been identified. [provided by RefSeq, Aug 2011] |
| 生物功能 | Protein transport. Regulator of membrane traffic from the Golgi apparatus towards the endoplasmic reticulum (ER). Has a low GTPase activity. [UniProt] |
| 细胞定位 | Golgi apparatus membrane. [UniProt] |
| 预测分子量 | 24 kDa |
| 翻译后修饰 | Prenylated. [UniProt] |
检测图片 (3) Click the Picture to Zoom In
-
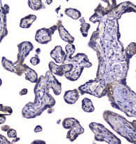
ARG59020 anti-RAB6A antibody IHC-P image
Immunohistochemistry: Paraffin-embedded Human placenta tissue. Antigen Retrieval: Heat mediation was performed in Citrate buffer (pH 6.0) for 20 min. The tissue section was blocked with 10% goat serum. The tissue section was then stained with ARG59020 anti-RAB6A antibody at 2 µg/ml dilution, overnight at 4°C.
-
ARG59020 anti-RAB6A antibody WB image
Western blot: 50 µg of samples under reducing conditions. MDA-MB-453, SK-OV-3, A431, Rat testis, Mouse brain and HEPA1-6 lysates stained with ARG59020 anti-RAB6A antibody at 0.5 µg/ml, overnight at 4°C.
-
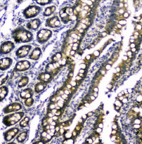
ARG59020 anti-RAB6A antibody IHC-P image
Immunohistochemistry: Paraffin-embedded Rat small intestine tissue. Antigen Retrieval: Heat mediation was performed in Citrate buffer (pH 6.0) for 20 min. The tissue section was blocked with 10% goat serum. The tissue section was then stained with ARG59020 anti-RAB6A antibody at 1 µg/ml dilution, overnight at 4°C.
