ARG42511
anti-RAB5B antibody
anti-RAB5B antibody for ICC/IF,IHC-Formalin-fixed paraffin-embedded sections,IHC-Frozen sections,Western blot and Dog,Human,Monkey,Mouse,Rat
概述
| 产品描述 | Goat Polyclonal antibody recognizes RAB5B |
|---|---|
| 反应物种 | Hu, Ms, Rat, Dog, Mk |
| 应用 | ICC/IF, IHC-Fr, IHC-P, WB |
| 宿主 | Goat |
| 克隆 | Polyclonal |
| 同位型 | IgG |
| 靶点名称 | RAB5B |
| 抗原物种 | Mouse |
| 抗原 | Purified recombinant peptide within aa. 115 to the C-terminus of Mouse RAB5B. |
| 偶联标记 | Un-conjugated |
| 別名 | Ras-related protein Rab-5B |
应用说明
| 应用建议 |
|
||||||||||
|---|---|---|---|---|---|---|---|---|---|---|---|
| 应用说明 | * The dilutions indicate recommended starting dilutions and the optimal dilutions or concentrations should be determined by the scientist. | ||||||||||
| 阳性对照 | MDCK | ||||||||||
| 实际分子量 | ~ 26 kDa |
属性
| 形式 | Liquid |
|---|---|
| 纯化 | Affinity purification with immunogen. |
| 缓冲液 | PBS, 0.05% Sodium azide and 20% Glycerol. |
| 抗菌剂 | 0.05% Sodium azide |
| 稳定剂 | 20% Glycerol |
| 浓度 | 4 mg/ml |
| 存放说明 | For continuous use, store undiluted antibody at 2-8°C for up to a week. For long-term storage, aliquot and store at -20°C. Storage in frost free freezers is not recommended. Avoid repeated freeze/thaw cycles. Suggest spin the vial prior to opening. The antibody solution should be gently mixed before use. |
| 注意事项 | For laboratory research only, not for drug, diagnostic or other use. |
生物信息
| 数据库连接 | |
|---|---|
| 基因名称 | RAB5B |
| 全名 | RAB5B, member RAS oncogene family |
| 生物功能 | Protein transport. Probably involved in vesicular traffic (By similarity). [UniProt] |
| 细胞定位 | Cell membrane; Lipid-anchor; Cytoplasmic side. Early endosome membrane; Lipid-anchor. Melanosome. Note=Enriched in stage I melanosomes. [UniProt] |
| 预测分子量 | 24 kDa |
检测图片 (3) Click the Picture to Zoom In
-
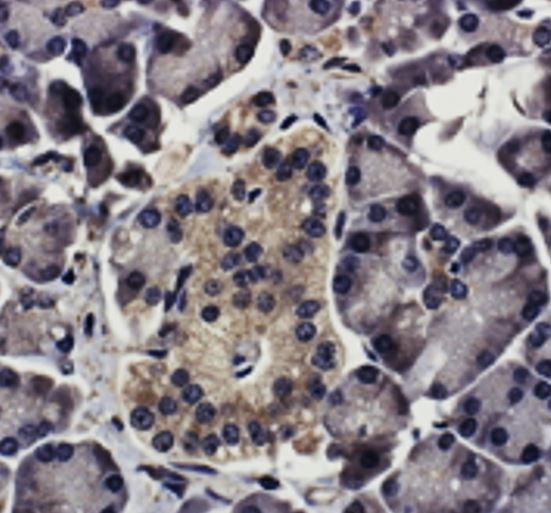
ARG42511 anti-RAB5B antibody IHC-P image
Immunohistochemistry: Mouse pancreas stained with ARG42511 anti-RAB5B antibody at 1:250 dilution.
-
ARG42511 anti-RAB5B antibody ICC/IF image
Immunofluorescence: B6-RPE07 cells were stained with ARG42511 anti-RAB5B antibody (green) at 1:100 dilution. Nuclear staining (blue).
-
ARG42511 anti-RAB5B antibody WB image
Western blot: MDCK cell lysate stained with ARG42511 anti-RAB5B antibody.
