ARG44450
anti-RAB3IP antibody
anti-RAB3IP antibody for Flow cytometry,IHC-Formalin-fixed paraffin-embedded sections,Western blot and Human,Mouse,Rat
概述
| 产品描述 | Rabbit Polyclonal antibody recognizes RAB3IP |
|---|---|
| 反应物种 | Hu, Ms, Rat |
| 应用 | FACS, IHC-P, WB |
| 宿主 | Rabbit |
| 克隆 | Polyclonal |
| 同位型 | IgG |
| 靶点名称 | RAB3IP |
| 抗原物种 | Human |
| 抗原 | Human RAB3IP recombinant protein |
| 偶联标记 | Un-conjugated |
| 別名 | RAB3IP; RAB3A Interacting Protein; RABIN8; RABIN3 |
应用说明
| 应用建议 |
|
||||||||
|---|---|---|---|---|---|---|---|---|---|
| 应用说明 | The dilutions indicate recommended starting dilutions and the optimal dilutions or concentrations should be determined by the scientist. |
属性
| 形式 | Liquid |
|---|---|
| 纯化 | Affinity purified with Immunogen. |
| 缓冲液 | 0.9% NaCl, 0.2% Na2HPO4, 0.05% Sodium azide and 4% Trehalose. |
| 抗菌剂 | 0.05% Sodium azide |
| 稳定剂 | 4% Trehalose |
| 浓度 | 0.5 mg/ml |
| 存放说明 | For continuous use, store undiluted antibody at 2-8°C for up to a week. For long-term storage, aliquot and store at -20°C or below. Storage in frost free freezers is not recommended. Avoid repeated freeze/thaw cycles. Suggest spin the vial prior to opening. The antibody solution should be gently mixed before use. |
| 注意事项 | For laboratory research only, not for drug, diagnostic or other use. |
生物信息
| 数据库连接 | |
|---|---|
| 基因名称 | RAB3IP |
| 全名 | RAB3A Interacting Protein |
| 背景介绍 | Enables guanyl-nucleotide exchange factor activity and identical protein binding activity. Involved in cilium assembly; protein localization to organelle; and protein targeting to membrane. Located in centrosome; cytosol; and nucleus. |
| 生物功能 | Guanine nucleotide exchange factor (GEF) which may activate RAB8A and RAB8B. |
| 细胞定位 | Cell projection, Cytoplasm, Cytoskeleton, Nucleus |
| 预测分子量 | 53 kDa |
| 翻译后修饰 | Phosphoprotein |
检测图片 (7) Click the Picture to Zoom In
-
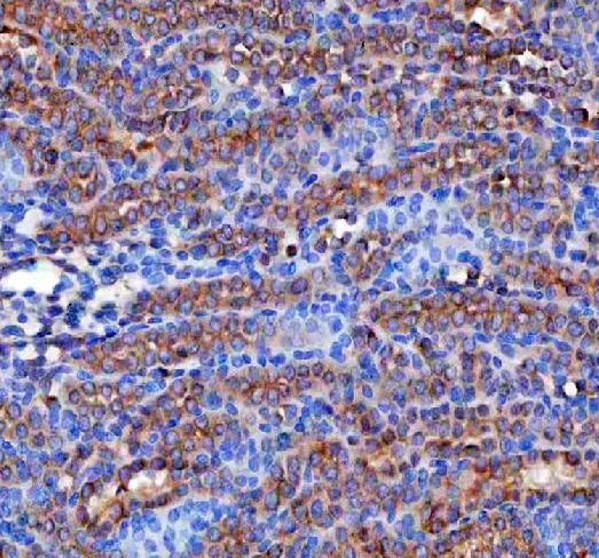
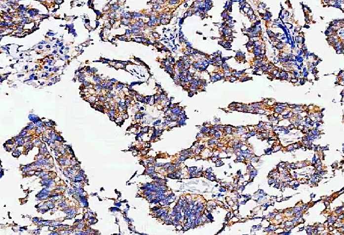
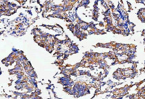
ARG44450 anti-RAB3IP antibody IHC-P image
Immunohistochemistry: Human ovarian serous adenocarcinoma stained with ARG44450 anti-RAB3IP antibody at 2 μg/mL dilution.
-
ARG44450 anti-RAB3IP antibody WB image
Western blot: Jurkat and MCF-7 stained with ARG44450 anti-RAB3IP antibody at 0.5 μg/mL dilution.
-
ARG44450 anti-RAB3IP antibody FACS image
Flow Cytometry: MCF-7 stained with ARG44450 anti-RAB3IP antibody at 1 μg/10^6 cells dilution.
-
ARG44450 anti-RAB3IP antibody IHC-P image
Immunohistochemistry: Rat kidney stained with ARG44450 anti-RAB3IP antibody at 2 μg/mL dilution.
-
ARG44450 anti-RAB3IP antibody WB image
Western blot: Rat brain stained with ARG44450 anti-RAB3IP antibody at 0.5 μg/mL dilution.
-
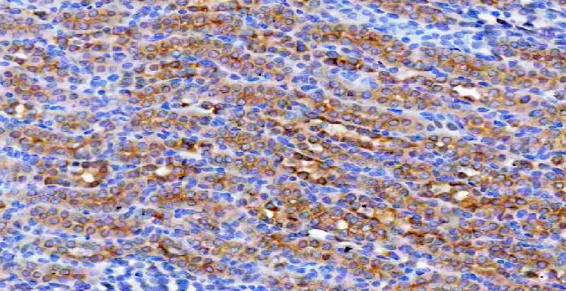
ARG44450 anti-RAB3IP antibody IHC-P image
Immunohistochemistry: Mouse kidney stained with ARG44450 anti-RAB3IP antibody at 2 μg/mL dilution.
-
ARG44450 anti-RAB3IP antibody WB image
Western blot: Mouse heart stained with ARG44450 anti-RAB3IP antibody at 0.5 μg/mL dilution.
