ARG42522
anti-RAB27B antibody
anti-RAB27B antibody for ICC/IF,IHC-Frozen sections,IHC-Formalin-fixed paraffin-embedded sections,Western blot and Human,Mouse,Rat,Dog,Monkey
概述
| 产品描述 | Goat Polyclonal antibody recognizes RAB27B |
|---|---|
| 反应物种 | Hu, Ms, Rat, Dog, Mk |
| 应用 | ICC/IF, IHC-Fr, IHC-P, WB |
| 宿主 | Goat |
| 克隆 | Polyclonal |
| 同位型 | IgG |
| 靶点名称 | RAB27B |
| 抗原物种 | Mouse |
| 抗原 | Purified recombinant peptide within aa. 120 to the C-terminus of Mouse RAB27B. |
| 偶联标记 | Un-conjugated |
| 別名 | Ras-related protein Rab-27B; C25KG |
应用说明
| 应用建议 |
|
||||||||||
|---|---|---|---|---|---|---|---|---|---|---|---|
| 应用说明 | IHC-P: Antigen Retrieval: Heat-induced. * The dilutions indicate recommended starting dilutions and the optimal dilutions or concentrations should be determined by the scientist. |
||||||||||
| 阳性对照 | AtT-20 and Melan-ink | ||||||||||
| 实际分子量 | ~ 28 kDa |
属性
| 形式 | Liquid |
|---|---|
| 纯化 | Affinity purification with immunogen. |
| 缓冲液 | PBS, 0.05% Sodium azide and 20% Glycerol. |
| 抗菌剂 | 0.05% Sodium azide |
| 稳定剂 | 20% Glycerol |
| 浓度 | 3 mg/ml |
| 存放说明 | For continuous use, store undiluted antibody at 2-8°C for up to a week. For long-term storage, aliquot and store at -20°C. Storage in frost free freezers is not recommended. Avoid repeated freeze/thaw cycles. Suggest spin the vial prior to opening. The antibody solution should be gently mixed before use. |
| 注意事项 | For laboratory research only, not for drug, diagnostic or other use. |
生物信息
| 数据库连接 | |
|---|---|
| 基因名称 | RAB27B |
| 全名 | RAB27B, member RAS oncogene family |
| 背景介绍 | Members of the Rab protein family, including RAB27B, are prenylated, membrane-bound proteins involved in vesicular fusion and trafficking (Chen et al., 1997 [PubMed 9066979]).[supplied by OMIM, Nov 2010] |
| 生物功能 | Small GTPase which cycles between active GTP-bound and inactive GDP-bound states. In its active state, binds to a variety of effector proteins to regulate homeostasis of late endocytic pathway, including endosomal positioning, maturation and secretion (PubMed:30771381). Plays a role in NTRK2/TRKB axonal anterograde transport by facilitating the association of NTRK2/TRKB with KLC1 (PubMed:21775604). May be involved in targeting uroplakins to urothelial apical membranes (By similarity). [UniProt] |
| 细胞定位 | Membrane; Lipid-anchor. [UniProt] |
| 预测分子量 | 25 kDa |
检测图片 (2) Click the Picture to Zoom In
-
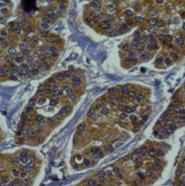
ARG42522 anti-RAB27B antibody IHC-P image
Immunohistochemistry: Formalin-fixed and paraffin-embedded Human mammary tissue. Antigen Retrieval: Heat-induced. The tissue section was stained with ARG42522 anti-RAB27B antibody at 1:200 dilution.
-
ARG42522 anti-RAB27B antibody WB image
Western blot: 100 µg of AtT-20 and Melan-ink cell lysates stained with ARG42522 anti-RAB27B antibody at 1:500 dilution.
