ARG42521
anti-RAB27 antibody
anti-RAB27 antibody for ICC/IF,IHC-Frozen sections,IHC-Formalin-fixed paraffin-embedded sections,Western blot and Human,Mouse,Rat,Dog,Monkey
概述
| 产品描述 | Goat Polyclonal antibody recognizes RAB27 |
|---|---|
| 反应物种 | Hu, Ms, Rat, Dog, Mk |
| 应用 | ICC/IF, IHC-Fr, IHC-P, WB |
| 宿主 | Goat |
| 克隆 | Polyclonal |
| 同位型 | IgG |
| 靶点名称 | RAB27 |
| 抗原物种 | Mouse |
| 抗原 | Purified recombinant peptides within aa. 120 to the C-terminus of Mouse RAB27A and RAB27B. |
| 偶联标记 | Un-conjugated |
| 別名 | GS2; GTP-binding protein Ram; RAB27; RAM; Ras-related protein Rab-27A; HsT18676; Rab-27 |
应用说明
| 应用建议 |
|
||||||||||
|---|---|---|---|---|---|---|---|---|---|---|---|
| 应用说明 | IHC-P: Antigen Retrieval: Heat-induced. * The dilutions indicate recommended starting dilutions and the optimal dilutions or concentrations should be determined by the scientist. |
||||||||||
| 阳性对照 | Melan-ink and AtT-20 | ||||||||||
| 实际分子量 | ~ 30 kDa |
属性
| 形式 | Liquid |
|---|---|
| 纯化 | Affinity purification with immunogen. |
| 缓冲液 | PBS, 0.05% Sodium azide and 20% Glycerol. |
| 抗菌剂 | 0.05% Sodium azide |
| 稳定剂 | 20% Glycerol |
| 浓度 | 3 mg/ml |
| 存放说明 | For continuous use, store undiluted antibody at 2-8°C for up to a week. For long-term storage, aliquot and store at -20°C. Storage in frost free freezers is not recommended. Avoid repeated freeze/thaw cycles. Suggest spin the vial prior to opening. The antibody solution should be gently mixed before use. |
| 注意事项 | For laboratory research only, not for drug, diagnostic or other use. |
生物信息
| 数据库连接 | |
|---|---|
| 基因名称 | RAB27A |
| 全名 | RAB27A, member RAS oncogene family |
| 背景介绍 | The protein encoded by this gene belongs to the small GTPase superfamily, Rab family. The protein is membrane-bound and may be involved in protein transport and small GTPase mediated signal transduction. Mutations in this gene are associated with Griscelli syndrome type 2. Alternative splicing occurs at this locus and four transcript variants encoding the same protein have been identified. [provided by RefSeq, Jul 2008] |
| 生物功能 | Small GTPase which cycles between active GTP-bound and inactive GDP-bound states. In its active state, binds to a variety of effector proteins to regulate homeostasis of late endocytic pathway, including endosomal positioning, maturation and secretion (PubMed:30771381). Plays a role in cytotoxic granule exocytosis in lymphocytes. Required for both granule maturation and granule docking and priming at the immunologic synapse. [UniProt] |
| 细胞定位 | Membrane; Lipid-anchor. Melanosome. Late endosome. Lysosome. Note=Identified by mass spectrometry in melanosome fractions from stage I to stage IV (PubMed:12643545, PubMed:17081065). Localizes to endosomal exocytic vesicles (PubMed:17237785). [UniProt] |
| 预测分子量 | 25 kDa |
检测图片 (4) Click the Picture to Zoom In
-
ARG42521 anti-RAB27 antibody ICC/IF image
Immunofluorescence: B6-RPE07 cells were stained with ARG42521 anti-RAB27 antibody (green) at 1:50 dilution. Nuclear staining (blue).
-
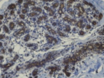
ARG42521 anti-RAB27 antibody IHC-P image
Immunohistochemistry: Formalin-fixed and paraffin-embedded Human mammary tissue. Antigen Retrieval: Heat-induced. The tissue section was stained with ARG42521 anti-RAB27 antibody at 1:200 dilution.
-
ARG42521 anti-RAB27 antibody WB image
Western blot: 50 µg of Melan-ink and AtT-20 cell lysates stained with ARG42521 anti-RAB27 antibody at 1:500 dilution.
-
ARG42521 anti-RAB27 antibody ICC/IF image
Immunofluorescence: Primary RPE cells stained with ARG42521 anti-RAB27 antibody at 1:50 dilution.
