ARG66621
anti-QKI / Quaking antibody
anti-QKI / Quaking antibody for ICC/IF,IHC-Formalin-fixed paraffin-embedded sections,Western blot and Human,Mouse,Rat
概述
| 产品描述 | Rabbit Polyclonal antibody recognizes QKI / Quaking |
|---|---|
| 反应物种 | Hu, Ms, Rat |
| 应用 | ICC/IF, IHC-P, WB |
| 宿主 | Rabbit |
| 克隆 | Polyclonal |
| 同位型 | IgG |
| 靶点名称 | QKI / Quaking |
| 抗原物种 | Human |
| 抗原 | Recombinant full length protein of Human QKI / Quaking. |
| 偶联标记 | Un-conjugated |
| 別名 | hqkI; HqkI; Hqk; QK3; QK; Protein quaking; QK1 |
应用说明
| 应用建议 |
|
||||||||
|---|---|---|---|---|---|---|---|---|---|
| 应用说明 | IHC-P: Antigen Retrieval: Heat mediation was performed in Sodium citrate buffer (pH 6.0). * The dilutions indicate recommended starting dilutions and the optimal dilutions or concentrations should be determined by the scientist. |
||||||||
| 实际分子量 | 38 kDa |
属性
| 形式 | Liquid |
|---|---|
| 纯化 | Affinity purification with immunogen. |
| 缓冲液 | 0.42% Potassium phosphate (pH 7.3), 0.87% NaCl, 0.01% Sodium azide and 30% Glycerol. |
| 抗菌剂 | 0.01% Sodium azide |
| 稳定剂 | 30% Glycerol |
| 存放说明 | For continuous use, store undiluted antibody at 2-8°C for up to a week. For long-term storage, aliquot and store at -20°C. Storage in frost free freezers is not recommended. Avoid repeated freeze/thaw cycles. Suggest spin the vial prior to opening. The antibody solution should be gently mixed before use. |
| 注意事项 | For laboratory research only, not for drug, diagnostic or other use. |
生物信息
| 数据库连接 | |
|---|---|
| 基因名称 | QKI |
| 全名 | QKI, KH domain containing, RNA binding |
| 背景介绍 | The protein encoded by this gene is an RNA-binding protein that regulates pre-mRNA splicing, export of mRNAs from the nucleus, protein translation, and mRNA stability. The encoded protein is involved in myelinization and oligodendrocyte differentiation and may play a role in schizophrenia. Multiple transcript variants encoding different isoforms have been found for this gene. [provided by RefSeq, Jul 2014] |
| 生物功能 | RNA-binding protein that plays a central role in myelinization. Binds to the 5'-NACUAAY-N(1,20)-UAAY-3' RNA core sequence. Regulates target mRNA stability. In addition, acts by regulating pre-mRNA splicing, mRNA export and protein translation. Required to protect and promote stability of mRNAs such as MBP and CDKN1B. Regulator of oligodendrocyte differentiation and maturation in the brain that may play a role in myelin and oligodendrocyte dysfunction in schizophrenia. Participates in mRNA transport by regulating the nuclear export of MBP mRNA. Also involved in regulation of mRNA splicing of MAG pre-mRNA. Acts as a translational repressor (By similarity). [UniProt] |
| 细胞定位 | Nucleus. Cytoplasm. [UniProt] |
| 预测分子量 | 38 kDa |
| 翻译后修饰 | Methylated by PRMT1. Tyrosine phosphorylated at its C-terminus, probably by FYN. Phosphorylation leads to decreased mRNA-binding affinity, affecting transport and/or stabilization of MBP mRNA (By similarity). [UniProt] |
检测图片 (3) Click the Picture to Zoom In
-
ARG66621 anti-QKI / Quaking antibody ICC/IF image
Immunofluorescence: Formalin-fixed MCF7 cells were permeabilized with 0.1% Triton X-100 in TBS for 5-10 minutes and blocked with 3% BSA-PBS for 30 minutes at room temperature. Cells were stained with ARG66621 anti-QKI / Quaking antibody (red) in 3% BSA-PBS and incubated overnight at 4°C.
-
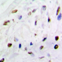
ARG66621 anti-QKI / Quaking antibody IHC-P image
Immunohistochemistry: Formalin-fixed and paraffin-embedded Mouse brain tissue section. Antigen Retrieval: Heat mediation was performed in Sodium citrate buffer (pH 6.0). The section was then stained with ARG66621 anti-QKI / Quaking antibody at room temperature and detected using an HRP conjugated compact polymer system. DAB was used as the chromogen. The section was then counterstained with haematoxylin and mounted with DPX.
-
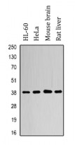
ARG66621 anti-QKI / Quaking antibody WB image
Western blot: HL-60, HeLa, Mouse brain and Rat liver lysates stained with ARG66621 anti-QKI / Quaking antibody.
