ARG58569
anti-Prothrombin antibody
anti-Prothrombin antibody for Flow cytometry,IHC-Formalin-fixed paraffin-embedded sections,Western blot and Human
概述
| 产品描述 | Rabbit Polyclonal antibody recognizes Prothrombin |
|---|---|
| 反应物种 | Hu |
| 应用 | FACS, IHC-P, WB |
| 宿主 | Rabbit |
| 克隆 | Polyclonal |
| 同位型 | IgG |
| 靶点名称 | Prothrombin |
| 抗原物种 | Human |
| 抗原 | Recombinant protein corresponding to Y97-R124 of Human Prothrombin. |
| 偶联标记 | Un-conjugated |
| 別名 | PT; EC 3.4.21.5; Prothrombin; THPH1; Coagulation factor II; RPRGL2 |
应用说明
| 应用建议 |
|
||||||||
|---|---|---|---|---|---|---|---|---|---|
| 应用说明 | IHC-P: Antigen Retrieval: Heat mediation was performed in Citrate buffer (pH 6.0) for 20 min. * The dilutions indicate recommended starting dilutions and the optimal dilutions or concentrations should be determined by the scientist. |
属性
| 形式 | Liquid |
|---|---|
| 纯化 | Purified. |
| 缓冲液 | 0.9% NaCl, 0.2% Na2HPO4, 0.05% Sodium azide and 4% Trehalose. |
| 抗菌剂 | 0.05% Sodium azide |
| 稳定剂 | 4% Trehalose |
| 浓度 | 0.5 mg/ml |
| 存放说明 | For continuous use, store undiluted antibody at 2-8°C for up to a week. For long-term storage, aliquot and store at -20°C or below. Storage in frost free freezers is not recommended. Avoid repeated freeze/thaw cycles. Suggest spin the vial prior to opening. The antibody solution should be gently mixed before use. |
| 注意事项 | For laboratory research only, not for drug, diagnostic or other use. |
生物信息
| 数据库连接 | |
|---|---|
| 基因名称 | F2 |
| 全名 | coagulation factor II (thrombin) |
| 背景介绍 | Coagulation factor II is proteolytically cleaved to form thrombin in the first step of the coagulation cascade which ultimately results in the stemming of blood loss. F2 also plays a role in maintaining vascular integrity during development and postnatal life. Peptides derived from the C-terminus of this protein have antimicrobial activity against E. coli and P. aeruginosa. Mutations in F2 lead to various forms of thrombosis and dysprothrombinemia. Alternative splicing results in multiple transcript variants. [provided by RefSeq, Aug 2015] |
| 生物功能 | Thrombin, which cleaves bonds after Arg and Lys, converts fibrinogen to fibrin and activates factors V, VII, VIII, XIII, and, in complex with thrombomodulin, protein C. Functions in blood homeostasis, inflammation and wound healing. [UniProt] |
| 细胞定位 | Secreted, extracellular space. [UniProt] |
| 预测分子量 | 70 kDa |
| 翻译后修饰 | The gamma-carboxyglutamyl residues, which bind calcium ions, result from the carboxylation of glutamyl residues by a microsomal enzyme, the vitamin K-dependent carboxylase. The modified residues are necessary for the calcium-dependent interaction with a negatively charged phospholipid surface, which is essential for the conversion of prothrombin to thrombin. N-glycosylated. N-glycan heterogeneity at Asn-121: Hex3HexNAc3 (minor), Hex4HexNAc3 (minor) and Hex5HexNAc4 (major). At Asn-143: Hex4HexNAc3 (minor) and Hex5HexNAc4 (major). [UniProt] |
检测图片 (4) Click the Picture to Zoom In
-
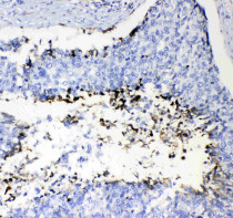
ARG58569 anti-Prothrombin antibody IHC-P image
Immunohistochemistry: Paraffin-embedded Human colon cancer tissue. Antigen Retrieval: Heat mediated was performed in Citrate buffer (pH 6.0) for 20 min. The tissue section was blocked with 10% goat serum. The tissue section was then stained with 1 µg/ml ARG58569 anti-Prothrombin antibody overnight at 4°C.
-
ARG58569 anti-Prothrombin antibody WB image
Western blot: 50 µg of Human plasma lysate stained with ARG58569 anti-Prothrombin antibody at 0.5 µg/ml, overnight at 4°C, under reducing conditions.
-
ARG58569 anti-Prothrombin antibody FACS image
Flow Cytometry: Human PBMC cells were blocked with 10% normal goat serum and then stained with ARG58569 anti-Prothrombin antibody (blue) at 1 µg/10^6 cells for 30 min at 20°C, followed by incubation with DyLight®488 labelled secondary antibody. Isotype control antibody (green) was rabbit IgG (1 µg/10^6 cells) used under the same conditions. Unlabelled sample (red) was also used as a control.
-
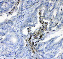
ARG58569 anti-Prothrombin antibody IHC-P image
Immunohistochemistry: Paraffin-embedded Human lung cancer tissue. Antigen Retrieval: Heat mediated was performed in Citrate buffer (pH 6.0) for 20 min. The tissue section was blocked with 10% goat serum. The tissue section was then stained with 1 µg/ml ARG58569 anti-Prothrombin antibody overnight at 4°C.
