ARG55672
anti-Prohibitin antibody [1215CT487.109.106]
anti-Prohibitin antibody [1215CT487.109.106] for IHC-Formalin-fixed paraffin-embedded sections,Western blot and Human,Mouse,Rat
概述
| 产品描述 | Mouse Monoclonal antibody recognizes Prohibitin |
|---|---|
| 反应物种 | Hu, Ms, Rat |
| 应用 | IHC-P, WB |
| 宿主 | Mouse |
| 克隆 | Monoclonal |
| 克隆号 | 1215CT487.109.106 |
| 同位型 | IgG2b, kappa |
| 靶点名称 | Prohibitin |
| 抗原物种 | Human |
| 抗原 | Recombinant protein corresponding to aa. 1-205 of Human Prohibitin. |
| 偶联标记 | Un-conjugated |
| 別名 | HEL-215; PHB1; Prohibitin; HEL-S-54e |
应用说明
| 应用建议 |
|
||||||
|---|---|---|---|---|---|---|---|
| 应用说明 | * The dilutions indicate recommended starting dilutions and the optimal dilutions or concentrations should be determined by the scientist. | ||||||
| 阳性对照 | MCF7 |
属性
| 形式 | Liquid |
|---|---|
| 纯化 | Purification with Protein G. |
| 缓冲液 | PBS and 0.09% (W/V) Sodium azide. |
| 抗菌剂 | 0.09% (W/V) Sodium azide. |
| 存放说明 | For continuous use, store undiluted antibody at 2-8°C for up to a week. For long-term storage, aliquot and store at -20°C or below. Storage in frost free freezers is not recommended. Avoid repeated freeze/thaw cycles. Suggest spin the vial prior to opening. The antibody solution should be gently mixed before use. |
| 注意事项 | For laboratory research only, not for drug, diagnostic or other use. |
生物信息
| 数据库连接 | |
|---|---|
| 基因名称 | PHB |
| 全名 | prohibitin |
| 背景介绍 | This gene is evolutionarily conserved, and its product is proposed to play a role in human cellular senescence and tumor suppression. Antiproliferative activity is reported to be localized to the 3' UTR, which is proposed to function as a trans-acting regulatory RNA. Several pseudogenes of this gene have been identified. Alternative splicing results in multiple transcript variants. [provided by RefSeq, Jul 2013] |
| 生物功能 | Prohibitin inhibits DNA synthesis. It has a role in regulating proliferation. As yet it is unclear if the protein or the mRNA exhibits this effect. May play a role in regulating mitochondrial respiration activity and in aging. [UniProt] |
| 细胞定位 | Mitochondrion inner membrane. |
| 预测分子量 | 30 kDa |
检测图片 (2) Click the Picture to Zoom In
-
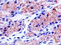
ARG55672 anti-Prohibitin antibody IHC-P image
Immunohistochemistry: Paraffin-embedded Human stomach tissue stained with ARG55672 anti-Prohibitin antibody at 1:25 dilution.
-
ARG55672 anti-Prohibitin antibody WB image
Western blot: 35 µg of MCF7 cell lysate stained with ARG55672 anti-Prohibitin antibody at 1:1000 dilution.
