ARG40835
anti-Profilin 2 antibody
anti-Profilin 2 antibody for Flow cytometry,ICC/IF,IHC-Formalin-fixed paraffin-embedded sections,Western blot and Human,Mouse,Rat
概述
| 产品描述 | Rabbit Polyclonal antibody recognizes Profilin 2 |
|---|---|
| 反应物种 | Hu, Ms, Rat |
| 预测物种 | Chk |
| 应用 | FACS, ICC/IF, IHC-P, WB |
| 宿主 | Rabbit |
| 克隆 | Polyclonal |
| 同位型 | IgG |
| 靶点名称 | Profilin 2 |
| 抗原物种 | Human |
| 抗原 | Synthetic peptide corresponding to aa. 125-140 of Human Profilin 2. (NKKAYSMAKYLRDSGF) |
| 偶联标记 | Un-conjugated |
| 別名 | Profilin-2; D3S1319E; PFL; Profilin II |
应用说明
| 应用建议 |
|
||||||||||
|---|---|---|---|---|---|---|---|---|---|---|---|
| 应用说明 | IHC-P: Antigen Retrieval: Heat mediation was performed in Citrate buffer (pH 6.0) for 20 min. * The dilutions indicate recommended starting dilutions and the optimal dilutions or concentrations should be determined by the scientist. |
属性
| 形式 | Liquid |
|---|---|
| 纯化 | Affinity purification with immunogen. |
| 缓冲液 | 0.2% Na2HPO4, 0.9% NaCl, 0.05% Thimerosal, 0.05% Sodium azide and 5% BSA. |
| 抗菌剂 | 0.05% Thimerosal and 0.05% Sodium azide |
| 稳定剂 | 5% BSA |
| 浓度 | 0.5 mg/ml |
| 存放说明 | For continuous use, store undiluted antibody at 2-8°C for up to a week. For long-term storage, aliquot and store at -20°C or below. Storage in frost free freezers is not recommended. Avoid repeated freeze/thaw cycles. Suggest spin the vial prior to opening. The antibody solution should be gently mixed before use. |
| 注意事项 | For laboratory research only, not for drug, diagnostic or other use. |
生物信息
| 数据库连接 | |
|---|---|
| 基因名称 | PFN2 |
| 全名 | profilin 2 |
| 背景介绍 | The protein encoded by this gene is a ubiquitous actin monomer-binding protein belonging to the profilin family. It is thought to regulate actin polymerization in response to extracellular signals. There are two alternatively spliced transcript variants encoding different isoforms described for this gene. [provided by RefSeq, Jul 2008] |
| 生物功能 | Binds to actin and affects the structure of the cytoskeleton. At high concentrations, profilin prevents the polymerization of actin, whereas it enhances it at low concentrations. By binding to PIP2, it inhibits the formation of IP3 and DG. [UniProt] |
| 细胞定位 | Cytoplasm, cytoskeleton. [UniProt] |
| 预测分子量 | 15 kDa |
检测图片 (5) Click the Picture to Zoom In
-
ARG40835 anti-Profilin 2 antibody ICC/IF image
Immunofluorescence: SH-SY5Y cells were blocked with 10% goat serum and then stained with ARG40835 anti-Profilin 2 antibody (green) at 5 µg/ml dilution, overnight at 4°C. DAPI (blue) for nuclear staining.
-
ARG40835 anti-Profilin 2 antibody FACS image
Flow Cytometry: A431 cells were blocked with 10% normal goat serum and stained with ARG40835 anti-Profilin 2 antibody (blue) at 1 µg/10^6 cells for 30 min at 20°C, followed by incubation with DyLight®488 labelled secondary antibody. Isotype control antibody (green) was Rabbit IgG (1 µg/10^6 cells) used under the same conditions. Unlabelled sample (red) was also used as a control.
-
ARG40835 anti-Profilin 2 antibody IHC-P image
Immunohistochemistry: Paraffin-embedded Human tonsil tissue. Antigen Retrieval: Heat mediation was performed in Citrate buffer (pH 6.0, epitope retrieval solution) for 20 min. The tissue section was blocked with 10% goat serum. The tissue section was then stained with ARG40835 anti-Profilin 2 antibody at 1 µg/ml, overnight at 4°C.
-
ARG40835 anti-Profilin 2 antibody WB image
Western blot: 50 µg of samples under reducing conditions. Human placenta, Rat brain and Mouse brain lysates stained with ARG40835 anti-Profilin 2 antibody at 0.5 µg/ml, overnight at 4°C.
-
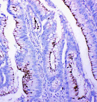
ARG40835 anti-Profilin 2 antibody IHC-P image
Immunohistochemistry: Paraffin-embedded Human intestinal cancer tissue. Antigen Retrieval: Heat mediation was performed in Citrate buffer (pH 6.0, epitope retrieval solution) for 20 min. The tissue section was blocked with 10% goat serum. The tissue section was then stained with ARG40835 anti-Profilin 2 antibody at 1 µg/ml, overnight at 4°C.
