ARG59817
anti-Pramef20 antibody
anti-Pramef20 antibody for IHC-Formalin-fixed paraffin-embedded sections,Western blot and Human,Mouse,Rat
概述
| 产品描述 | Rabbit Polyclonal antibody recognizes Pramef20 |
|---|---|
| 反应物种 | Hu, Ms, Rat |
| 应用 | IHC-P, WB |
| 宿主 | Rabbit |
| 克隆 | Polyclonal |
| 同位型 | IgG |
| 靶点名称 | Pramef20 |
| 抗原物种 | Mouse |
| 抗原 | Recombinant fusion protein corresponding to aa. 67-274 of Mouse Pramef20 (NP_001108549.1). |
| 偶联标记 | Un-conjugated |
| 別名 | PRAMEF21; PRAME family member 20 |
应用说明
| 应用建议 |
|
||||||
|---|---|---|---|---|---|---|---|
| 应用说明 | * The dilutions indicate recommended starting dilutions and the optimal dilutions or concentrations should be determined by the scientist. | ||||||
| 阳性对照 | Rat heart and Mouse skeletal muscle | ||||||
| 实际分子量 | 50 kDa |
属性
| 形式 | Liquid |
|---|---|
| 纯化 | Affinity purified. |
| 缓冲液 | PBS (pH 7.3), 0.02% Sodium azide and 50% Glycerol. |
| 抗菌剂 | 0.02% Sodium azide |
| 稳定剂 | 50% Glycerol |
| 存放说明 | For continuous use, store undiluted antibody at 2-8°C for up to a week. For long-term storage, aliquot and store at -20°C. Storage in frost free freezers is not recommended. Avoid repeated freeze/thaw cycles. Suggest spin the vial prior to opening. The antibody solution should be gently mixed before use. |
| 注意事项 | For laboratory research only, not for drug, diagnostic or other use. |
生物信息
| 基因名称 | PRAMEF20 |
|---|---|
| 全名 | PRAME family member 20 |
| 预测分子量 | 55 kDa |
检测图片 (2) Click the Picture to Zoom In
-
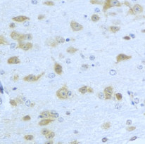
ARG59817 anti-Pramef20 antibody IHC-P image
Immunohistochemistry: Paraffin-embedded Mouse brain stained with ARG59817 anti-Pramef20 antibody at 1:100 dilution.
-
ARG59817 anti-Pramef20 antibody WB image
Western blot: 25 µg of Rat heart and Mouse skeletal muscle lysates stained with ARG59817 anti-Pramef20 antibody at 1:1000 dilution.
