ARG54877
anti-Pim 3 antibody
anti-Pim 3 antibody for IHC-Formalin-fixed paraffin-embedded sections,Western blot and Human,Mouse
Cancer antibody; Gene Regulation antibody; Signaling Transduction antibody
概述
| 产品描述 | Rabbit Polyclonal antibody recognizes Pim 3 |
|---|---|
| 反应物种 | Hu, Ms |
| 预测物种 | Rat |
| 应用 | IHC-P, WB |
| 宿主 | Rabbit |
| 克隆 | Polyclonal |
| 同位型 | IgG |
| 靶点名称 | Pim 3 |
| 抗原物种 | Human |
| 抗原 | KLH-conjugated synthetic peptide corresponding to aa. 259-288 (C-terminus) of Human Pim 3. |
| 偶联标记 | Un-conjugated |
| 別名 | EC 2.7.11.1; pim-3; Serine/threonine-protein kinase pim-3 |
应用说明
| 应用建议 |
|
||||||
|---|---|---|---|---|---|---|---|
| 应用说明 | * The dilutions indicate recommended starting dilutions and the optimal dilutions or concentrations should be determined by the scientist. | ||||||
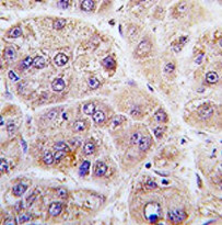
| 阳性对照 | Mouse kidney |
属性
| 形式 | Liquid |
|---|---|
| 纯化 | Purification with Protein G. |
| 缓冲液 | PBS and 0.09% (W/V) Sodium azide |
| 抗菌剂 | 0.09% (W/V) Sodium azide |
| 存放说明 | For continuous use, store undiluted antibody at 2-8°C for up to a week. For long-term storage, aliquot and store at -20°C or below. Storage in frost free freezers is not recommended. Avoid repeated freeze/thaw cycles. Suggest spin the vial prior to opening. The antibody solution should be gently mixed before use. |
| 注意事项 | For laboratory research only, not for drug, diagnostic or other use. |
生物信息
| 数据库连接 |
Swiss-port # P58750 Mouse Serine/threonine-protein kinase pim-3 Swiss-port # Q86V86 Human Serine/threonine-protein kinase pim-3 |
|---|---|
| 基因名称 | PIM3 |
| 全名 | Pim-3 proto-oncogene, serine/threonine kinase |
| 背景介绍 | The protein encoded by this gene belongs to the Ser/Thr protein kinase family, and PIM subfamily. This gene is overexpressed in hematological and epithelial tumors and is associated with MYC coexpression. It plays a role in the regulation of signal transduction cascades, contributing to both cell proliferation and survival, and provides a selective advantage in tumorigenesis. [provided by RefSeq, Jun 2012] |
| 生物功能 | Proto-oncogene with serine/threonine kinase activity that can prevent apoptosis, promote cell survival and protein translation. May contribute to tumorigenesis through: the delivery of survival signaling through phosphorylation of BAD which induces release of the anti-apoptotic protein Bcl-X(L), the regulation of cell cycle progression, protein synthesis and by regulation of MYC transcriptional activity. Additionally to this role on tumorigenesis, can also negatively regulate insulin secretion by inhibiting the activation of MAPK1/3 (ERK1/2), through SOCS6. Involved also in the control of energy metabolism and regulation of AMPK activity in modulating MYC and PPARGC1A protein levels and cell growth. [UniProt] |
| 细胞定位 | Cytoplasm. |
| 研究领域 | Cancer antibody; Gene Regulation antibody; Signaling Transduction antibody |
| 预测分子量 | 36 kDa |
| 翻译后修饰 | Ubiquitinated, leading to proteasomal degradation. Phosphorylated. Interaction with PPP2CA promotes dephosphorylation. |
检测图片 (2) Click the Picture to Zoom In
