ARG40818
anti-Phosducin antibody
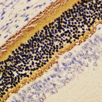
anti-Phosducin antibody for IHC-Formalin-fixed paraffin-embedded sections,Western blot and Mouse,Rat
概述
| 产品描述 | Rabbit Polyclonal antibody recognizes Phosducin |
|---|---|
| 反应物种 | Ms, Rat |
| 应用 | IHC-P, WB |
| 宿主 | Rabbit |
| 克隆 | Polyclonal |
| 同位型 | IgG |
| 靶点名称 | Phosducin |
| 抗原物种 | Human |
| 抗原 | Recombinant fusion protein corresponding to aa. 1-246 of Human Phosducin (NP_002588.3). |
| 偶联标记 | Un-conjugated |
| 別名 | MEKA; PHD; 33 kDa phototransducing protein; Phosducin; PhLP; Protein MEKA; PhLOP |
应用说明
| 应用建议 |
|
||||||
|---|---|---|---|---|---|---|---|
| 应用说明 | * The dilutions indicate recommended starting dilutions and the optimal dilutions or concentrations should be determined by the scientist. |
属性
| 形式 | Liquid |
|---|---|
| 纯化 | Affinity purified. |
| 缓冲液 | PBS (pH 7.3), 0.02% Sodium azide and 50% Glycerol. |
| 抗菌剂 | 0.02% Sodium azide |
| 稳定剂 | 50% Glycerol |
| 存放说明 | For continuous use, store undiluted antibody at 2-8°C for up to a week. For long-term storage, aliquot and store at -20°C. Storage in frost free freezers is not recommended. Avoid repeated freeze/thaw cycles. Suggest spin the vial prior to opening. The antibody solution should be gently mixed before use. |
| 注意事项 | For laboratory research only, not for drug, diagnostic or other use. |
生物信息
| 数据库连接 | |
|---|---|
| 基因名称 | PDC |
| 全名 | phosducin |
| 背景介绍 | This gene encodes a phosphoprotein, which is located in the outer and inner segments of the rod cells in the retina. This protein may participate in the regulation of visual phototransduction or in the integration of photoreceptor metabolism. It modulates the phototransduction cascade by interacting with the beta and gamma subunits of the retinal G-protein transducin. This gene is a potential candidate gene for retinitis pigmentosa and Usher syndrome type II. Alternatively spliced transcript variants encoding different isoforms have been identified. [provided by RefSeq, Jul 2008] |
| 生物功能 | May participate in the regulation of visual phototransduction or in the integration of photoreceptor metabolism. Inhibits the transcriptional activation activity of the cone-rod homeobox CRX. [UniProt] |
| 细胞定位 | Cytoplasm, cytosol. Nucleus. Cell projection, cilium, photoreceptor outer segment. Photoreceptor inner segment. Isoform 2: Nucleus. [UniProt] |
| 预测分子量 | 28 kDa |
| 翻译后修饰 | Light-induced changes in cyclic nucleotide levels modulate the phosphorylation of this protein by cAMP kinase. [UniProt] |
检测图片 (1) Click the Picture to Zoom In
