ARG63605
anti-Pescadillo antibody
anti-Pescadillo antibody for IHC-Formalin-fixed paraffin-embedded sections,Western blot and Human
Cancer antibody; Signaling Transduction antibody
概述
| 产品描述 | Goat Polyclonal antibody recognizes Pescadillo |
|---|---|
| 反应物种 | Hu |
| 预测物种 | Ms, Cow, Pig |
| 应用 | IHC-P, WB |
| 宿主 | Goat |
| 克隆 | Polyclonal |
| 同位型 | IgG |
| 靶点名称 | Pescadillo |
| 抗原物种 | Human |
| 抗原 | GGLEKKKYERGSA-C |
| 偶联标记 | Un-conjugated |
| 別名 | Pescadillo homolog; PES |
应用说明
| 应用建议 |
|
||||||
|---|---|---|---|---|---|---|---|
| 应用说明 | IHC-P: Antigen Retrieval: Steam tissue section in Citrate buffer (pH 6.0). WB: Recommend incubate at RT for 1h. * The dilutions indicate recommended starting dilutions and the optimal dilutions or concentrations should be determined by the scientist. |
属性
| 形式 | Liquid |
|---|---|
| 纯化 | Purified from goat serum by antigen affinity chromatography. |
| 缓冲液 | Tris saline (pH 7.3), 0.02% Sodium azide and 0.5% BSA. |
| 抗菌剂 | 0.02% Sodium azide |
| 稳定剂 | 0.5% BSA |
| 浓度 | 0.5 mg/ml |
| 存放说明 | For continuous use, store undiluted antibody at 2-8°C for up to a week. For long-term storage, aliquot and store at -20°C or below. Storage in frost free freezers is not recommended. Avoid repeated freeze/thaw cycles. Suggest spin the vial prior to opening. The antibody solution should be gently mixed before use. |
| 注意事项 | For laboratory research only, not for drug, diagnostic or other use. |
生物信息
| 数据库连接 | |
|---|---|
| 背景介绍 | This gene encodes a nuclear protein that contains a breast cancer associated gene 1 (BRCA1) C-terminal interaction domain. The encoded protein interacts with BOP1 and WDR12 to form the PeBoW complex, which plays a critical role in cell proliferation via pre-rRNA processing and 60S ribosomal subunit maturation. Expression of this gene may play an important role in breast cancer proliferation and tumorigenicity. Alternatively spliced transcript variants encoding multiple isoforms have been observed for this gene. Pseudogenes of this gene are located on the long arm of chromosome 4 and the short arm of chromosome 9. [provided by RefSeq, Aug 2011] |
| 研究领域 | Cancer antibody; Signaling Transduction antibody |
| 预测分子量 | 68 kDa |
| 翻译后修饰 | Sumoylated. |
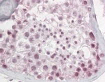
检测图片 (2) Click the Picture to Zoom In
-
ARG63605 anti-Pescadillo antibody WB image
Western Blot: HeLa lysate (35 µg protein in RIPA buffer) stained with ARG63605 anti-Pescadillo antibody at 1 µg/ml dilution.
-
ARG63605 anti-Pescadillo antibody IHC-P image
Immunohistochemistry: paraffin embedded Human Testis. (Steamed antigen retrieval with citrate buffer pH 6) stained with ARG63605 anti-Pescadillo antibody at 3.8 µg/ml dilution followed by AP-staining.
