ARG51592
anti-Paxillin phospho (Tyr118) antibody
anti-Paxillin phospho (Tyr118) antibody for IHC-Formalin-fixed paraffin-embedded sections,Western blot and Human,Mouse,Rat
Cancer antibody; Signaling Transduction antibody
概述
| 产品描述 | Rabbit Polyclonal antibody recognizes Paxillin phospho (Tyr118) |
|---|---|
| 反应物种 | Hu, Ms, Rat |
| 应用 | IHC-P, WB |
| 宿主 | Rabbit |
| 克隆 | Polyclonal |
| 同位型 | IgG |
| 靶点名称 | Paxillin |
| 抗原物种 | Human |
| 抗原 | Peptide sequence around phosphorylation site of tyrosine 118 (H-V-Y(p)-S-F) derived from Human Paxillin. |
| 偶联标记 | Un-conjugated |
| 別名 | Paxillin |
应用说明
| 应用建议 |
|
||||||
|---|---|---|---|---|---|---|---|
| 应用说明 | * The dilutions indicate recommended starting dilutions and the optimal dilutions or concentrations should be determined by the scientist. |
属性
| 形式 | Liquid |
|---|---|
| 纯化 | Antibodies were produced by immunizing rabbits with KLH-conjugated synthetic phosphopeptide. Antibodies were purified by affinity-chromatography using epitope-specific phosphopeptide. In addition, non-phospho specific antibodies were removed by chromatogramphy using non-phosphopeptide. |
| 缓冲液 | PBS (without Mg2+ and Ca2+, pH 7.4), 150mM NaCl, 0.02% Sodium azide and 50% Glycerol. |
| 抗菌剂 | 0.02% Sodium azide |
| 稳定剂 | 50% Glycerol |
| 浓度 | 1 mg/ml |
| 存放说明 | For continuous use, store undiluted antibody at 2-8°C for up to a week. For long-term storage, aliquot and store at -20°C. Storage in frost free freezers is not recommended. Avoid repeated freeze/thaw cycles. Suggest spin the vial prior to opening. The antibody solution should be gently mixed before use. |
| 注意事项 | For laboratory research only, not for drug, diagnostic or other use. |
生物信息
| 数据库连接 | |
|---|---|
| 基因名称 | PXN |
| 全名 | paxillin |
| 背景介绍 | Cytoskeletal protein involved in actin-membrane attachment at sites of cell adhesion to the extracellular matrix (focal adhesion). |
| 生物功能 | Cytoskeletal protein involved in actin-membrane attachment at sites of cell adhesion to the extracellular matrix (focal adhesion). [UniProt] |
| 研究领域 | Cancer antibody; Signaling Transduction antibody |
| 预测分子量 | 61/65/66 kDa (Isoform alpha/beta/gamma) |
| 翻译后修饰 | Phosphorylated by MAPK1/ERK2 (By similarity). Phosphorylated on tyrosine residues during integrin-mediated cell adhesion, embryonic development, fibroblast transformation and following stimulation of cells by mitogens. Phosphorylation at Ser-244 by CDK5 reduces its interaction with PTK2/FAK1 in matrix-cell focal adhesions (MCFA) during oligodendrocytes (OLs) differentiation. Phosphorylation at Tyr-31 and Tyr-118 by PTK6 promote the activation of RAC1 via CRK/CrKII, thereby promoting migration and invasion. Phosphorylation at Ser-250 by SLK is required for PXN redistribution and cell motility (PubMed:23128389). |
检测图片 (2) Click the Picture to Zoom In
-
ARG51592 anti-Paxillin phospho (Tyr118) antibody WB image
Western blot: Extracts from 3T3 cells untreated or treated with serum stained with ARG51592 anti-Paxillin phospho (Tyr118) antibody.
-
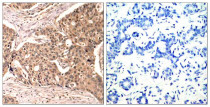
ARG51592 anti-Paxillin phospho (Tyr118) antibody IHC-P image
Immunohistochemistry: Paraffin-embedded Human breast carcinoma tissue stained with ARG51592 anti-Paxillin phospho (Tyr118) antibody (left) or the same antibody preincubated with blocking peptide (right).
