ARG45162
anti-PYROXD1 antibody
anti-PYROXD1 antibody for IHC-Formalin-fixed paraffin-embedded sections,Western blot and Human,Mouse,Rat
概述
| 产品描述 | Rabbit Polyclonal antibody recognizes PYROXD1 |
|---|---|
| 反应物种 | Hu, Ms, Rat |
| 应用 | IHC-P, WB |
| 宿主 | Rabbit |
| 克隆 | Polyclonal |
| 同位型 | IgG |
| 靶点名称 | PYROXD1 |
| 抗原物种 | Human |
| 抗原 | Recombinant protein containing to human PYROXD1. |
| 偶联标记 | Un-conjugated |
| 別名 | PYROXD1; pyridine nucleotide-disulphide oxidoreductase domain 1; Pyridine nucleotide-disulfide oxidoreductase domain-containing protein 1; PYROXD1 |
应用说明
| 应用建议 |
|
||||||
|---|---|---|---|---|---|---|---|
| 应用说明 | * The dilutions indicate recommended starting dilutions and the optimal dilutions or concentrations should be determined by the scientist. | ||||||
| 实际分子量 | 50-56 kDa |
属性
| 形式 | Liquid |
|---|---|
| 纯化 | Affinity purification with immunogen. |
| 缓冲液 | 0.2% Na2HPO4, 0.9% NaCl, 0.05% Sodium azide and 4% Trehalose. |
| 抗菌剂 | 0.05% Sodium azide |
| 稳定剂 | 4% Trehalose |
| 浓度 | 0.5 mg/ml |
| 存放说明 | For continuous use, store undiluted antibody at 2-8°C for up to a week. For long-term storage, aliquot and store at -20°C or below. Storage in frost free freezers is not recommended. Avoid repeated freeze/thaw cycles. Suggest spin the vial prior to opening. The antibody solution should be gently mixed before use. |
| 注意事项 | For laboratory research only, not for drug, diagnostic or other use. |
生物信息
| 数据库连接 | |
|---|---|
| 基因名称 | PYROXD1 |
| 全名 | pyridine nucleotide-disulphide oxidoreductase domain 1 |
| 背景介绍 | This gene encodes a nuclear-cytoplasmic pyridine nucleotide-disulphide reductase (PNDR). PNDRs are flavoproteins that catalyze the pyridine nucleotide-dependent reduction of thiol residues in other proteins. The encoded protein belongs to the class I pyridine nucleotide-disulphide oxidoreductase family but lacks the C-terminal dimerization domain found in other family members and instead has a C-terminal nitrile reductase domain. It localizes to the nucleus and to striated sarcomeric compartments. Naturally occurring mutations in this gene cause early-onset myopathy with internalized nuclei and myofibrillar disorganization. A pseudogene of this gene has been defined on chromosome 11. [provided by RefSeq, Apr 2017] |
| 生物功能 | Probable FAD-dependent oxidoreductase; involved in the cellular oxidative stress response. [UniProt] |
| 细胞定位 | Nucleus; Cytoplasm. [UniProt] |
| 预测分子量 | 56 kDa |
| 翻译后修饰 | Probable FAD-dependent oxidoreductase; involved in the cellular oxidative stress response. [UniProt] |
检测图片 (5) Click the Picture to Zoom In
-
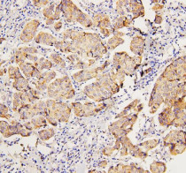
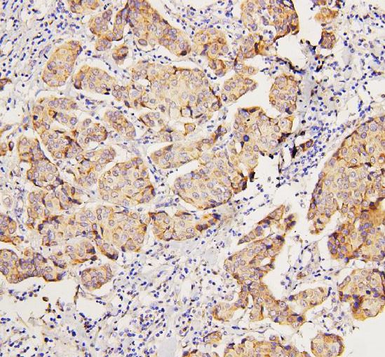
ARG45161 anti-PPA2 antibody IHC-P image
Immunohistochemistry: Human mammary cancer stained with ARG45161 anti-PPA2 antibody at 1 μg/ml dilution.
-
ARG45162 anti-PYROXD1 antibody WB image
Western blot: Human placenta, U-87MG, HL-60, THP-1, and PC-3 stained with ARG45162 anti-PYROXD1 antibody at 0.5 μg/ml dilution.
-
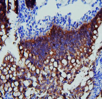
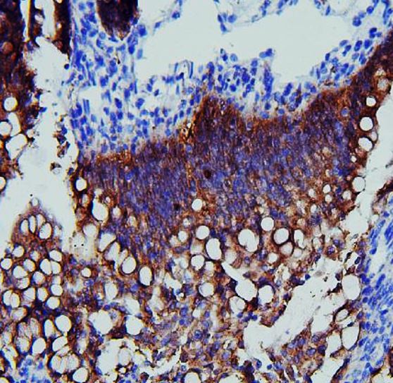
ARG45162 anti-PYROXD1 antibody IHC-P image
Immunohistochemistry: Rat intestine stained with ARG45162 anti-PYROXD1 antibody at 1 μg/ml dilution.
-
ARG45162 anti-PYROXD1 antibody WB image
Western blot: Rat kidney stained with ARG45162 anti-PYROXD1 antibody at 0.5 μg/ml dilution.
-
ARG45161 anti-PPA2 antibody IHC-P image
Immunohistochemistry: Mouse intestine stained with ARG45161 anti-PPA2 antibody at 1 μg/ml dilution.
