ARG41978
anti-PYGO2 / Pygopus 2 antibody
anti-PYGO2 / Pygopus 2 antibody for ICC/IF,IHC-Formalin-fixed paraffin-embedded sections,Western blot and Human,Mouse
概述
| 产品描述 | Rabbit Polyclonal antibody recognizes PYGO2 / Pygopus 2 |
|---|---|
| 反应物种 | Hu, Ms |
| 应用 | ICC/IF, IHC-P, WB |
| 宿主 | Rabbit |
| 克隆 | Polyclonal |
| 同位型 | IgG |
| 靶点名称 | PYGO2 / Pygopus 2 |
| 抗原物种 | Human |
| 抗原 | Synthetic peptide of Human Pygopus 2. |
| 偶联标记 | Un-conjugated |
| 別名 | Pygopus homolog 2; 1190004M21Rik |
应用说明
| 应用建议 |
|
||||||||
|---|---|---|---|---|---|---|---|---|---|
| 应用说明 | * The dilutions indicate recommended starting dilutions and the optimal dilutions or concentrations should be determined by the scientist. | ||||||||
| 阳性对照 | HeLa | ||||||||
| 实际分子量 | ~ 50 kDa |
属性
| 形式 | Liquid |
|---|---|
| 纯化 | Affinity purified. |
| 缓冲液 | PBS (pH 7.4), 150 mM NaCl, 0.02% Sodium azide and 50% Glycerol. |
| 抗菌剂 | 0.02% Sodium azide |
| 稳定剂 | 50% Glycerol |
| 存放说明 | For continuous use, store undiluted antibody at 2-8°C for up to a week. For long-term storage, aliquot and store at -20°C. Storage in frost free freezers is not recommended. Avoid repeated freeze/thaw cycles. Suggest spin the vial prior to opening. The antibody solution should be gently mixed before use. |
| 注意事项 | For laboratory research only, not for drug, diagnostic or other use. |
生物信息
| 数据库连接 | |
|---|---|
| 基因名称 | PYGO2 |
| 全名 | pygopus family PHD finger 2 |
| 生物功能 | Involved in signal transduction through the Wnt pathway. [UniProt] |
| 细胞定位 | Nucleus. [UniProt] |
| 预测分子量 | 41 kDa |
检测图片 (2) Click the Picture to Zoom In
-
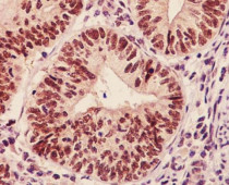
ARG41978 anti-PYGO2 / Pygopus 2 antibody IHC-P image
Immunohistochemistry: Paraffin-embedded Human uterus tissue stained with ARG41978 anti-PYGO2 / Pygopus 2 antibody.
-
ARG41978 anti-PYGO2 / Pygopus 2 antibody WB image
Western blot: HeLa cell lysate stained with ARG41978 anti-PYGO2 / Pygopus 2 antibody.
