ARG44005
anti-PYCR1 antibody
anti-PYCR1 antibody for ELISA,Flow cytometry,ICC/IF,IHC-Formalin-fixed paraffin-embedded sections,Western blot and Human
概述
| 产品描述 | Rabbit Polyclonal antibody recognizes PYCR1 |
|---|---|
| 反应物种 | Hu |
| 应用 | ELISA, FACS, ICC/IF, IHC-P, WB |
| 宿主 | Rabbit |
| 克隆 | Polyclonal |
| 同位型 | IgG |
| 靶点名称 | PYCR1 |
| 抗原物种 | Human |
| 抗原 | Human PYCR1 recombinant protein |
| 表达系统 | E.coli |
| 偶联标记 | Un-conjugated |
| Protein Full name | Pyrroline-5-carboxylate reductase 1, mitochondrial |
| 別名 | PYCR1; Pyrroline-5-Carboxylate Reductase 1; P5C; Pyrroline-5-Carboxylate Reductase 1, Mitochondrial; P5C Reductase 1; EC 1.5.1.2; Proliferation-Inducing Protein 45; ARCL2B; ARCL3B; P5CR 1; PIG45; PP222; P5CR; PRO3; PYCR |
应用说明
| 应用建议 |
|
||||||||||||
|---|---|---|---|---|---|---|---|---|---|---|---|---|---|
| 应用说明 | * The dilutions indicate recommended starting dilutions and the optimal dilutions or concentrations should be determined by the scientist. |
属性
| 形式 | Liquid |
|---|---|
| 纯化 | Affinity purified with Immunogen. |
| 缓冲液 | 0.9% NaCl, 0.2% Na2HPO4 and 4% Trehalose. |
| 稳定剂 | 4% Trehalose |
| 浓度 | 0.5 mg/ml |
| 存放说明 | For continuous use, store undiluted antibody at 2-8°C for up to a week. For long-term storage, aliquot and store at -20°C or below. Storage in frost free freezers is not recommended. Avoid repeated freeze/thaw cycles. Suggest spin the vial prior to opening. The antibody solution should be gently mixed before use. |
| 注意事项 | For laboratory research only, not for drug, diagnostic or other use. |
生物信息
| 数据库连接 |
Swiss-port # P32322 Human Pyrroline-5-carboxylate reductase 1, mitochondrial |
|---|---|
| 基因名称 | PYCR1 |
| 全名 | Pyrroline-5-Carboxylate Reductase 1 |
| 背景介绍 | This gene encodes an enzyme that catalyzes the NAD(P)H-dependent conversion of pyrroline-5-carboxylate to proline. This enzyme may also play a physiologic role in the generation of NADP(+) in some cell types. The protein forms a homopolymer and localizes to the mitochondrion. Alternative splicing results in multiple transcript variants. |
| 生物功能 | Housekeeping enzyme that catalyzes the last step in proline biosynthesis. Can utilize both NAD and NADP, but has higher affinity for NAD. Involved in the cellular response to oxidative stress. |
| 细胞定位 | Mitochondrion |
| 预测分子量 | 33 kDa |
| 翻译后修饰 | Acetylation, Phosphoprotein |
检测图片 (4) Click the Picture to Zoom In
-
ARG44005 anti-PYCR1 antibody ICC/IF image
Immunofluorescence: U2OS cells stained with ARG44005 anti-PYCR1 antibody at 5 μg/ml dilution.
-
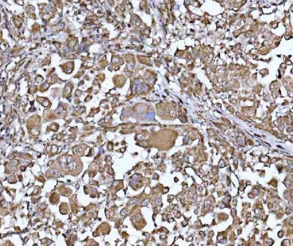
ARG44005 anti-PYCR1 antibody IHC-P image
Immunohistochemistry: Human lung cancer carcinoma stained with ARG44005 anti-PYCR1 antibody at 2 μg/ml dilution.
-
ARG44005 anti-PYCR1 antibody WB image
Western blot: PANC-1 and 293T stained with ARG44005 anti-PYCR1 antibody at 0.5 μg/mL dilution.
-
ARG44005 anti-PYCR1 antibody FACS image
Flow Cytometry: 293T cells stained with ARG44005 anti-PYCR1 antibody (blue) at 1 μg/1x10^6 cells dilution.
