ARG42482
anti-PYCR1 antibody
anti-PYCR1 antibody for Flow cytometry,IHC-Formalin-fixed paraffin-embedded sections,Western blot and Human
概述
| 产品描述 | Rabbit Polyclonal antibody recognizes PYCR1 |
|---|---|
| 反应物种 | Hu |
| 应用 | FACS, IHC-P, WB |
| 宿主 | Rabbit |
| 克隆 | Polyclonal |
| 同位型 | IgG |
| 靶点名称 | PYCR1 |
| 抗原物种 | Human |
| 抗原 | KLH-conjugated synthetic peptide between aa. 291-319 of Human PYCR1. |
| 偶联标记 | Un-conjugated |
| 別名 | PIG45; EC 1.5.1.2; P5CR 1; Pyrroline-5-carboxylate reductase 1, mitochondrial; PRO3; P5C reductase 1; P5C; ARCL3B; P5CR; ARCL2B; PP222; PYCR |
应用说明
| 应用建议 |
|
||||||||
|---|---|---|---|---|---|---|---|---|---|
| 应用说明 | * The dilutions indicate recommended starting dilutions and the optimal dilutions or concentrations should be determined by the scientist. | ||||||||
| 阳性对照 | WiDr | ||||||||
| 实际分子量 | ~ 33 kDa |
属性
| 形式 | Liquid |
|---|---|
| 纯化 | Purification with Protein A and immunogen peptide. |
| 缓冲液 | PBS and 0.09% (W/V) Sodium azide. |
| 抗菌剂 | 0.09% (W/V) Sodium azide. |
| 存放说明 | For continuous use, store undiluted antibody at 2-8°C for up to a week. For long-term storage, aliquot and store at -20°C or below. Storage in frost free freezers is not recommended. Avoid repeated freeze/thaw cycles. Suggest spin the vial prior to opening. The antibody solution should be gently mixed before use. |
| 注意事项 | For laboratory research only, not for drug, diagnostic or other use. |
生物信息
| 数据库连接 |
Swiss-port # P32322 Human Pyrroline-5-carboxylate reductase 1, mitochondrial |
|---|---|
| 基因名称 | PYCR1 |
| 全名 | pyrroline-5-carboxylate reductase 1 |
| 背景介绍 | This gene encodes an enzyme that catalyzes the NAD(P)H-dependent conversion of pyrroline-5-carboxylate to proline. This enzyme may also play a physiologic role in the generation of NADP(+) in some cell types. The protein forms a homopolymer and localizes to the mitochondrion. Alternative splicing results in multiple transcript variants. [provided by RefSeq, Aug 2013] |
| 生物功能 | Housekeeping enzyme that catalyzes the last step in proline biosynthesis. Can utilize both NAD and NADP, but has higher affinity for NAD. Involved in the cellular response to oxidative stress. [UniProt] |
| 细胞定位 | Mitochondrion. [UniProt] |
| 预测分子量 | 33 kDa |
检测图片 (3) Click the Picture to Zoom In
-
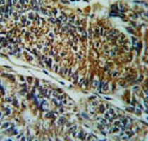
ARG42482 anti-PYCR1 antibody IHC-P image
Immunohistochemistry: Formalin-fixed and paraffin-embedded Human colon carcinoma tissue stained with ARG42482 anti-PYCR1 antibody.
-
ARG42482 anti-PYCR1 antibody WB image
Western blot: 35 µg of WiDr cell lysate stained with ARG42482 anti-PYCR1 antibody.
-
ARG42482 anti-PYCR1 antibody FACS image
Flow Cytometry: HepG2 cells stained with ARG42482 anti-PYCR1 antibody (right histogram) or without primary antibody as control (left histogram), followed by incubation with FITC labelled secondary antibody.
