ARG64671
anti-PU.1 antibody
anti-PU.1 antibody for IHC-Formalin-fixed paraffin-embedded sections,Western blot and Human
Gene Regulation antibody; Immune System antibody
概述
| 产品描述 | Goat Polyclonal antibody recognizes PU.1 |
|---|---|
| 反应物种 | Hu |
| 预测物种 | Rat |
| 应用 | IHC-P, WB |
| 特异性 | This antibody is expected to recognise both reported isoforms (NP_001074016.1; NP_003111.2). |
| 宿主 | Goat |
| 克隆 | Polyclonal |
| 同位型 | IgG |
| 靶点名称 | PU.1 |
| 抗原物种 | Human |
| 抗原 | C-DLYQRQTHEYY |
| 偶联标记 | Un-conjugated |
| 別名 | Transcription factor PU.1; SPI-1; OF; SPI-A; PU.1; SFPI1; 31 kDa-transforming protein |
应用说明
| 应用建议 |
|
||||||
|---|---|---|---|---|---|---|---|
| 应用说明 | WB: Recommend incubate at RT for 1h. IHC-P: Antigen Retrieval: Steam tissue section in Citrate buffer (pH 6.0). * The dilutions indicate recommended starting dilutions and the optimal dilutions or concentrations should be determined by the scientist. |
属性
| 形式 | Liquid |
|---|---|
| 纯化 | Purified from goat serum by antigen affinity chromatography. |
| 缓冲液 | Tris saline (pH 7.3), 0.02% Sodium azide and 0.5% BSA. |
| 抗菌剂 | 0.02% Sodium azide |
| 稳定剂 | 0.5% BSA |
| 浓度 | 0.5 mg/ml |
| 存放说明 | For continuous use, store undiluted antibody at 2-8°C for up to a week. For long-term storage, aliquot and store at -20°C or below. Storage in frost free freezers is not recommended. Avoid repeated freeze/thaw cycles. Suggest spin the vial prior to opening. The antibody solution should be gently mixed before use. |
| 注意事项 | For laboratory research only, not for drug, diagnostic or other use. |
生物信息
| 数据库连接 | |
|---|---|
| 背景介绍 | This gene encodes an ETS-domain transcription factor that activates gene expression during myeloid and B-lymphoid cell development. The nuclear protein binds to a purine-rich sequence known as the PU-box found near the promoters of target genes, and regulates their expression in coordination with other transcription factors and cofactors. The protein can also regulate alternative splicing of target genes. Multiple transcript variants encoding different isoforms have been found for this gene. [provided by RefSeq, Jul 2008] |
| 研究领域 | Gene Regulation antibody; Immune System antibody |
| 预测分子量 | 31 kDa |
检测图片 (3) Click the Picture to Zoom In
-
ARG64671 anti-PU.1 antibody WB image
Western Blot: DAUDI lysate (35 µg protein in RIPA buffer) stained with ARG64671 anti-PU.1 antibody at 0.03 µg/ml dilution.
-
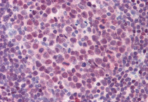
ARG64671 anti-PU.1 antibody IHC-P image
Immunohistochemistry: Paraffin-embedded Human spleen tissue. Antigen Retrieval: Steam tissue section in Citrate buffer (pH 6.0). The tissue section was stained with ARG64671 anti-PU.1 antibody at 3.75 µg/ml dilution followed by AP-staining.
-
ARG64671 anti-PU.1 antibody IHC-P image
Immunohistochemistry: Paraffin-embedded Human colon tissue. Antigen Retrieval: Steam tissue section in Citrate buffer (pH 6.0). The tissue section was stained with ARG64671 anti-PU.1 antibody at 3.75 µg/ml dilution followed by AP-staining.
