ARG58137
anti-PU.1 antibody
anti-PU.1 antibody for IHC-Formalin-fixed paraffin-embedded sections and Human,Mouse,Rat
概述
| 产品描述 | Rabbit Polyclonal antibody recognizes PU.1 |
|---|---|
| 反应物种 | Hu, Ms, Rat |
| 应用 | IHC-P |
| 宿主 | Rabbit |
| 克隆 | Polyclonal |
| 同位型 | IgG |
| 靶点名称 | PU.1 |
| 抗原物种 | Human |
| 抗原 | Synthetic peptide corresponding to aa. 18-196 of Human PU.1. |
| 偶联标记 | Un-conjugated |
| 別名 | Transcription factor PU.1; SPI-1; OF; SPI-A; PU.1; SFPI1; 31 kDa-transforming protein |
应用说明
| 应用建议 |
|
||||
|---|---|---|---|---|---|
| 应用说明 | IHC-P: Antigen Retrieval: Boil tissue section in 10mM Citrate buffer (pH 6.0) for 20 min followed by cooling at RT. * The dilutions indicate recommended starting dilutions and the optimal dilutions or concentrations should be determined by the scientist. |
属性
| 形式 | Liquid |
|---|---|
| 纯化 | Affinity purification with immunogen. |
| 缓冲液 | PBS, 0.025% Sodium azide and 2.5% BSA. |
| 抗菌剂 | 0.025% Sodium azide |
| 稳定剂 | 2.5% BSA |
| 浓度 | 0.5 mg/ml |
| 存放说明 | For continuous use, store undiluted antibody at 2-8°C for up to a week. For long-term storage, aliquot and store at -20°C or below. Storage in frost free freezers is not recommended. Avoid repeated freeze/thaw cycles. Suggest spin the vial prior to opening. The antibody solution should be gently mixed before use. |
| 注意事项 | For laboratory research only, not for drug, diagnostic or other use. |
生物信息
| 数据库连接 | |
|---|---|
| 基因名称 | SPI1 |
| 全名 | Spi-1 proto-oncogene |
| 背景介绍 | This gene encodes an ETS-domain transcription factor that activates gene expression during myeloid and B-lymphoid cell development. The nuclear protein binds to a purine-rich sequence known as the PU-box found near the promoters of target genes, and regulates their expression in coordination with other transcription factors and cofactors. The protein can also regulate alternative splicing of target genes. Multiple transcript variants encoding different isoforms have been found for this gene. [provided by RefSeq, Jul 2008] |
| 生物功能 | Binds to the PU-box, a purine-rich DNA sequence (5'-GAGGAA-3') that can act as a lymphoid-specific enhancer. This protein is a transcriptional activator that may be specifically involved in the differentiation or activation of macrophages or B-cells. Also binds RNA and may modulate pre-mRNA splicing (By similarity). [UniProt] |
| 细胞定位 | Nuclear. [UniProt] |
| 预测分子量 | 31 kDa |
检测图片 (3) Click the Picture to Zoom In
-
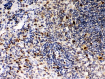
ARG58137 anti-PU.1 antibody IHC-P image
Immunohistochemistry: Formalin-fixed and paraffin-embedded Human tonsil stained with ARG58137 anti-PU.1 antibody. Antigen Retrieval: Boil tissue section in 10mM Citrate buffer (pH 6.0) for 20 min followed by cooling at RT.
-
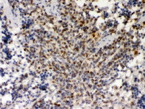
ARG58137 anti-PU.1 antibody IHC-P image
Immunohistochemistry: Formalin-fixed and paraffin-embedded Mouse spleen stained with ARG58137 anti-PU.1 antibody. Antigen Retrieval: Boil tissue section in 10mM Citrate buffer (pH 6.0) for 20 min followed by cooling at RT.
-
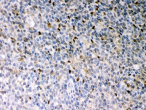
ARG58137 anti-PU.1 antibody IHC-P image
Immunohistochemistry: Formalin-fixed and paraffin-embedded Rat spleen stained with ARG58137 anti-PU.1 antibody. Antigen Retrieval: Boil tissue section in 10mM Citrate buffer (pH 6.0) for 20 min followed by cooling at RT.
