ARG45126
anti-PTPN22 antibody
anti-PTPN22 antibody for IHC-Formalin-fixed paraffin-embedded sections,Western blot and Human,Mouse,Rat
概述
| 产品描述 | Rabbit Polyclonal antibody recognizes PTPN22 |
|---|---|
| 反应物种 | Hu, Ms, Rat |
| 应用 | IHC-P, WB |
| 宿主 | Rabbit |
| 克隆 | Polyclonal |
| 同位型 | IgG |
| 靶点名称 | PTPN22 |
| 抗原物种 | Mouse |
| 抗原 | Recombinant protein containing to mouse PTPN22. |
| 偶联标记 | Un-conjugated |
| 別名 | PTPN22; protein tyrosine phosphatase, non-receptor type 22 (lymphoid); Tyrosine-protein phosphatase non-receptor type 22; Hematopoietic cell protein-tyrosine phosphatase 70Z-PEP; PEST-domain phosphatase; PEP; Ptpn22; Ptpn8Lyp1; Lyp2; Lyp; Protein Tyrosine Phosphatase, Non-Receptor Type; Tyrosine-Protein Phosphatase Non-Receptor Type 22; Lymphoid-Specific Protein Tyrosine Phosphatase; Lymphoid Phosphatase_x000D_ ; EC 3.1.3.48; LyP |
应用说明
| 应用建议 |
|
||||||
|---|---|---|---|---|---|---|---|
| 应用说明 | * The dilutions indicate recommended starting dilutions and the optimal dilutions or concentrations should be determined by the scientist. | ||||||
| 实际分子量 | 92 kDa |
属性
| 形式 | Liquid |
|---|---|
| 纯化 | Affinity purification with immunogen. |
| 缓冲液 | 0.2% Na2HPO4, 0.9% NaCl, 0.05% Sodium azide and 4% Trehalose. |
| 抗菌剂 | 0.05% Sodium azide |
| 稳定剂 | 4% Trehalose |
| 浓度 | 0.5 mg/ml |
| 存放说明 | For continuous use, store undiluted antibody at 2-8°C for up to a week. For long-term storage, aliquot and store at -20°C or below. Storage in frost free freezers is not recommended. Avoid repeated freeze/thaw cycles. Suggest spin the vial prior to opening. The antibody solution should be gently mixed before use. |
| 注意事项 | For laboratory research only, not for drug, diagnostic or other use. |
生物信息
| 基因名称 | PTPN22 |
|---|---|
| 全名 | protein tyrosine phosphatase, non-receptor type 22 (lymphoid) |
| 背景介绍 | This gene encodes of member of the non-receptor class 4 subfamily of the protein-tyrosine phosphatase family. The encoded protein is a lymphoid-specific intracellular phosphatase that associates with the molecular adapter protein CBL and may be involved in regulating CBL function in the T-cell receptor signaling pathway. Mutations in this gene may be associated with a range of autoimmune disorders including Type 1 Diabetes, rheumatoid arthritis, systemic lupus erythematosus and Graves' disease. Alternatively spliced transcript variants encoding distinct isoforms have been described. [provided by RefSeq, Mar 2009] |
| 生物功能 | Acts as negative regulator of T-cell receptor (TCR) signaling by direct dephosphorylation of the Src family kinases LCK and FYN, ITAMs of the TCRz/CD3 complex, as well as ZAP70, VAV, VCP and other key signaling molecules. Associates with and probably dephosphorylates CBL. Dephosphorylates LCK at its activating 'Tyr-394' residue. Dephosphorylates ZAP70 at its activating 'Tyr-493' residue. Dephosphorylates the immune system activator SKAP2. Positively regulates toll-like receptor (TLR)-induced type 1 interferon production. Promotes host antiviral responses mediated by type 1 interferon (By similarity). Regulates NOD2-induced pro-inflammatory cytokine secretion and autophagy. [UniProt] |
| 细胞定位 | Cytoplasm. [UniProt] |
| 预测分子量 | 90 kDa |
| 翻译后修饰 | Phosphorylation. [UniProt] |
检测图片 (4) Click the Picture to Zoom In
-
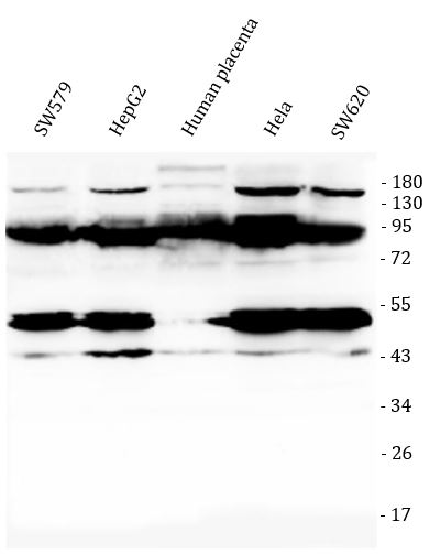
ARG45126 anti-PTPN22 antibody WB image
Western blot: SW579, HepG2, human placenta, Hela, and SW620 stained with ARG45126 anti-PTPN22 antibody at 0.5 μg/ml dilution.
-
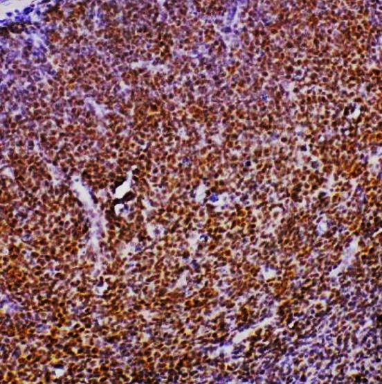
ARG45126 anti-PTPN22 antibody IHC-P image
Immunohistochemistry: Rat lymphaden stained with ARG45126 anti-PTPN22 antibody at 1 μg/ml dilution.
-
ARG45126 anti-PTPN22 antibody WB image
Western blot: Rat thymus stained with ARG45126 anti-PTPN22 antibody at 0.5 μg/ml dilution.
-
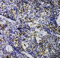
ARG45126 anti-PTPN22 antibody IHC-P image
Immunohistochemistry: Mouse spleen stained with ARG45126 anti-PTPN22 antibody at 1 μg/ml dilution.
