ARG42947
anti-PTPN1 / PTP1B antibody
anti-PTPN1 / PTP1B antibody for Flow cytometry,IHC-Frozen sections,IHC-Formalin-fixed paraffin-embedded sections,Western blot and Human,Mouse,Rat
概述
| 产品描述 | Rabbit Polyclonal antibody recognizes PTPN1 / PTP1B |
|---|---|
| 反应物种 | Hu, Ms, Rat |
| 应用 | FACS, IHC-Fr, IHC-P, WB |
| 宿主 | Rabbit |
| 克隆 | Polyclonal |
| 同位型 | IgG |
| 靶点名称 | PTPN1 / PTP1B |
| 抗原物种 | Human |
| 抗原 | Synthetic peptide corresponding to aa. 4-30 of Human PTPN1 / PTP1B. (EKEFEQIDKSGSWAAIYQDIRHEASDF) |
| 偶联标记 | Un-conjugated |
| 別名 | PTP1B; EC 3.1.3.48; Tyrosine-protein phosphatase non-receptor type 1; PTP-1B; Protein-tyrosine phosphatase 1B |
应用说明
| 应用建议 |
|
||||||||||
|---|---|---|---|---|---|---|---|---|---|---|---|
| 应用说明 | IHC-P: Antigen Retrieval: Heat mediation was performed in Citrate buffer (pH 6.0) for 20 min. * The dilutions indicate recommended starting dilutions and the optimal dilutions or concentrations should be determined by the scientist. |
||||||||||
| 实际分子量 | 50 - 55 kDa |
属性
| 形式 | Liquid |
|---|---|
| 纯化 | Affinity purification with immunogen. |
| 缓冲液 | 0.2% Na2HPO4, 0.9% NaCl, 0.05% Sodium azide and 4% Trehalose. |
| 抗菌剂 | 0.05% Sodium azide |
| 稳定剂 | 4% Trehalose |
| 浓度 | 0.5 mg/ml |
| 存放说明 | For continuous use, store undiluted antibody at 2-8°C for up to a week. For long-term storage, aliquot and store at -20°C or below. Storage in frost free freezers is not recommended. Avoid repeated freeze/thaw cycles. Suggest spin the vial prior to opening. The antibody solution should be gently mixed before use. |
| 注意事项 | For laboratory research only, not for drug, diagnostic or other use. |
生物信息
| 数据库连接 | |
|---|---|
| 基因名称 | PTPN1 |
| 全名 | protein tyrosine phosphatase, non-receptor type 1 |
| 背景介绍 | The protein encoded by this gene is the founding member of the protein tyrosine phosphatase (PTP) family, which was isolated and identified based on its enzymatic activity and amino acid sequence. PTPs catalyze the hydrolysis of the phosphate monoesters specifically on tyrosine residues. Members of the PTP family share a highly conserved catalytic motif, which is essential for the catalytic activity. PTPs are known to be signaling molecules that regulate a variety of cellular processes including cell growth, differentiation, mitotic cycle, and oncogenic transformation. This PTP has been shown to act as a negative regulator of insulin signaling by dephosphorylating the phosphotryosine residues of insulin receptor kinase. This PTP was also reported to dephosphorylate epidermal growth factor receptor kinase, as well as JAK2 and TYK2 kinases, which implicated the role of this PTP in cell growth control, and cell response to interferon stimulation. Two transcript variants encoding different isoforms have been found for this gene. [provided by RefSeq, Jul 2013] |
| 生物功能 | Tyrosine-protein phosphatase which acts as a regulator of endoplasmic reticulum unfolded protein response. Mediates dephosphorylation of EIF2AK3/PERK; inactivating the protein kinase activity of EIF2AK3/PERK. May play an important role in CKII- and p60c-src-induced signal transduction cascades. May regulate the EFNA5-EPHA3 signaling pathway which modulates cell reorganization and cell-cell repulsion. May also regulate the hepatocyte growth factor receptor signaling pathway through dephosphorylation of MET. [UniProt] |
| 细胞定位 | Endoplasmic reticulum membrane; Peripheral membrane protein; Cytoplasmic side. Note=Interacts with EPHA3 at the cell membrane. [UniProt] |
| 预测分子量 | 50 kDa |
| 翻译后修饰 | Oxidized on Cys-215; the Cys-SOH formed in response to redox signaling reacts with the alpha-amido of the following residue to form a sulfenamide cross-link, triggering a conformational change that inhibits substrate binding and activity. The active site can be restored by reduction. Ser-50 is the major site of phosphorylation as compared to Ser-242 and Ser-243. Activated by phosphorylation at Ser-50. S-nitrosylation of Cys-215 inactivates the enzyme activity. Sulfhydration at Cys-215 following endoplasmic reticulum stress inactivates the enzyme activity, promoting EIF2AK3/PERK activity. [UniProt] |
检测图片 (11) Click the Picture to Zoom In
-
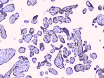
ARG42947 anti-PTPN1 / PTP1B antibody IHC-P image
Immunohistochemistry: Paraffin-embedded Human placenta tissue. Antigen Retrieval: Heat mediation was performed in Citrate buffer (pH 6.0) for 20 min. The tissue section was blocked with 10% goat serum. The tissue section was then stained with ARG42947 anti-PTPN1 / PTP1B antibody at 1 µg/ml dilution, overnight at 4°C.
-
ARG42947 anti-PTPN1 / PTP1B antibody WB image
Western blot: 50 µg of sample under reducing conditions. Rat kidney and Mouse kidney lysates stained with ARG42947 anti-PTPN1 / PTP1B antibody at 0.5 µg/ml dilution, overnight at 4°C.
-
ARG42947 anti-PTPN1 / PTP1B antibody FACS image
Flow Cytometry: U2OS cells were blocked with 10% normal goat serum and then stained with ARG42947 anti-PTPN1 / PTP1B antibody (blue) at 1 µg/10^6 cells for 30 min at 20°C, followed by incubation with DyLight®488 labelled secondary antibody. Isotype control antibody (green) was Rabbit IgG (1 µg/10^6 cells) used under the same conditions. Unlabelled sample (red) was also used as a control.
-
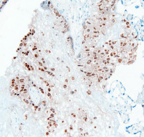
ARG42947 anti-PTPN1 / PTP1B antibody IHC-P image
Immunohistochemistry: Paraffin-embedded Human mammary cancer tissue. Antigen Retrieval: Heat mediation was performed in Citrate buffer (pH 6.0) for 20 min. The tissue section was blocked with 10% goat serum. The tissue section was then stained with ARG42947 anti-PTPN1 / PTP1B antibody at 1 µg/ml dilution, overnight at 4°C.
-
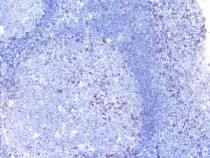
ARG42947 anti-PTPN1 / PTP1B antibody IHC-P image
Immunohistochemistry: Paraffin-embedded Human tonsil tissue. Antigen Retrieval: Heat mediation was performed in Citrate buffer (pH 6.0) for 20 min. The tissue section was blocked with 10% goat serum. The tissue section was then stained with ARG42947 anti-PTPN1 / PTP1B antibody at 1 µg/ml dilution, overnight at 4°C.
-
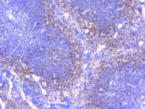
ARG42947 anti-PTPN1 / PTP1B antibody IHC-P image
Immunohistochemistry: Paraffin-embedded Mouse spleen tissue. Antigen Retrieval: Heat mediation was performed in Citrate buffer (pH 6.0) for 20 min. The tissue section was blocked with 10% goat serum. The tissue section was then stained with ARG42947 anti-PTPN1 / PTP1B antibody at 1 µg/ml dilution, overnight at 4°C.
-
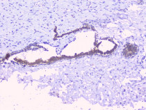
ARG42947 anti-PTPN1 / PTP1B antibody IHC-P image
Immunohistochemistry: Paraffin-embedded Mouse testis tissue. Antigen Retrieval: Heat mediation was performed in Citrate buffer (pH 6.0) for 20 min. The tissue section was blocked with 10% goat serum. The tissue section was then stained with ARG42947 anti-PTPN1 / PTP1B antibody at 1 µg/ml dilution, overnight at 4°C.
-
ARG42947 anti-PTPN1 / PTP1B antibody IHC-P image
Immunohistochemistry: Paraffin-embedded Rat spleen tissue. Antigen Retrieval: Heat mediation was performed in Citrate buffer (pH 6.0) for 20 min. The tissue section was blocked with 10% goat serum. The tissue section was then stained with ARG42947 anti-PTPN1 / PTP1B antibody at 1 µg/ml dilution, overnight at 4°C.
-
ARG42947 anti-PTPN1 / PTP1B antibody IHC-Fr image
Immunohistochemistry: Frozen section of Human placenta tissue. The tissue section was blocked with 10% goat serum. The tissue section was then stained with ARG42947 anti-PTPN1 / PTP1B antibody at 1 µg/ml dilution, overnight at 4°C.
-
ARG42947 anti-PTPN1 / PTP1B antibody IHC-P image
Immunohistochemistry: Paraffin-embedded Human tonsil tissue. Antigen Retrieval: Heat mediation was performed in Citrate buffer (pH 6.0) for 20 min. The tissue section was blocked with 10% goat serum. The tissue section was then stained with ARG42947 anti-PTPN1 / PTP1B antibody at 1 µg/ml dilution, overnight at 4°C.
-
ARG42947 anti-PTPN1 / PTP1B antibody WB image
Western blot: 50 µg of sample under reducing conditions. Human placenta, MCF7, Caco-2, K562, U2OS, PC-3, HL-60 and A549 whole cell lysates stained with ARG42947 anti-PTPN1 / PTP1B antibody at 0.5 µg/ml dilution, overnight at 4°C.
