ARG44370
anti-PTGR3 antibody
anti-PTGR3 antibody for IHC-Formalin-fixed paraffin-embedded sections,Western blot and Human,Mouse,Rat
概述
| 产品描述 | Rabbit Polyclonal antibody recognizes PTGR3 |
|---|---|
| 反应物种 | Hu, Ms, Rat |
| 应用 | IHC-P, WB |
| 宿主 | Rabbit |
| 克隆 | Polyclonal |
| 同位型 | IgG |
| 靶点名称 | PTGR3 |
| 抗原物种 | Human |
| 抗原 | Human PTGR3 recombinant protein (a.a. sequence: 33-371). |
| 偶联标记 | Un-conjugated |
| 別名 | PTGR3; Prostaglandin Reductase 3; PTGR-3; ZADH2; Zinc-Binding Alcohol Dehydrogenase Domain-Containing Protein 2; Zinc Binding Alcohol Dehydrogenase Domain Containing 2; MGC45594; PRG-3; Prostaglandin Reductase-3; EC 1.3.1.48 |
应用说明
| 应用建议 |
|
||||||
|---|---|---|---|---|---|---|---|
| 应用说明 | * The dilutions indicate recommended starting dilutions and the optimal dilutions or concentrations should be determined by the scientist. |
属性
| 形式 | Liquid |
|---|---|
| 纯化 | Affinity purified. |
| 缓冲液 | PBS, 0.05% Proclin300 and 50% Glycerol. |
| 抗菌剂 | 0.05% Proclin300 |
| 稳定剂 | 50% Glycerol |
| 存放说明 | For continuous use, store undiluted antibody at 2-8°C for up to a week. For long-term storage, aliquot and store at -20°C. Storage in frost free freezers is not recommended. Avoid repeated freeze/thaw cycles. Suggest spin the vial prior to opening. The antibody solution should be gently mixed before use. |
| 注意事项 | For laboratory research only, not for drug, diagnostic or other use. |
生物信息
| 数据库连接 |
Swiss-port # Q8BGC4 Mouse Zinc-binding alcohol dehydrogenase domain-containing protein 2 Swiss-port # Q8N4Q0 Human Zinc-binding alcohol dehydrogenase domain-containing protein 2 |
|---|---|
| 基因名称 | PTGR3 |
| 全名 | Prostaglandin Reductase 3 |
| 背景介绍 | Predicted to enable 13-prostaglandin reductase activity. Predicted to be involved in negative regulation of fat cell differentiation. Predicted to be located in peroxisome. |
| 生物功能 | Functions as 15-oxo-prostaglandin 13-reductase and acts on 15-keto-PGE1, 15-keto-PGE2, 15-keto-PGE1-alpha and 15-keto-PGE2-alpha with highest efficiency towards 15-keto-PGE2-alpha. Overexpression represses transcriptional activity of PPARG and inhibits adipocyte differentiation. |
| 细胞定位 | Peroxisome |
| 预测分子量 | 40 kDa |
| 翻译后修饰 | Acetylation, Phosphoprotein |
检测图片 (3) Click the Picture to Zoom In
-
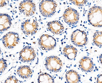
ARG44370 anti-PTGR3 antibody IHC-P image
Immunohistochemistry: Human colon stained with ARG44370 anti-PTGR3 antibody at 1:100 dilution.
-
ARG44370 anti-PTGR3 antibody WB image
Western blot: Rat Liver stained with ARG44370 anti-PTGR3 antibody at 1:1000 dilution.
-
ARG44370 anti-PTGR3 antibody WB image
Western blot: Mouse Liver stained with ARG44370 anti-PTGR3 antibody at 1:1000 dilution.
