ARG44565
anti-PTCD1 antibody
anti-PTCD1 antibody for Flow cytometry,IHC-Formalin-fixed paraffin-embedded sections,Western blot and Human,Mouse,Rat
概述
| 产品描述 | Rabbit Polyclonal antibody recognizes PTCD1 |
|---|---|
| 反应物种 | Hu, Ms, Rat |
| 应用 | FACS, IHC-P, WB |
| 宿主 | Rabbit |
| 克隆 | Polyclonal |
| 同位型 | IgG |
| 靶点名称 | PTCD1 |
| 抗原物种 | Human |
| 抗原 | Human PTCD1 recombinant protein (aa. sequence: D203-L601). |
| 偶联标记 | Un-conjugated |
| 別名 | PTCD1; Pentatricopeptide Repeat Domain 1; KIAA0632; Pentatricopeptide Repeat-Containing Protein 1, Mitochondrial |
应用说明
| 应用建议 |
|
||||||||
|---|---|---|---|---|---|---|---|---|---|
| 应用说明 | * The dilutions indicate recommended starting dilutions and the optimal dilutions or concentrations should be determined by the scientist. |
属性
| 形式 | Liquid |
|---|---|
| 纯化 | Affinity purified. |
| 缓冲液 | 0.2% Na2HPO4, 0.9% NaCl and 4% Trehalose. |
| 抗菌剂 | 4% Trehalose |
| 存放说明 | For continuous use, store undiluted antibody at 2-8°C for up to a week. For long-term storage, aliquot and store at -20°C or below. Storage in frost free freezers is not recommended. Avoid repeated freeze/thaw cycles. Suggest spin the vial prior to opening. The antibody solution should be gently mixed before use. |
| 注意事项 | For laboratory research only, not for drug, diagnostic or other use. |
生物信息
| 数据库连接 | |
|---|---|
| 基因名称 | PTCD1 |
| 全名 | Pentatricopeptide Repeat Domain 1 |
| 背景介绍 | This gene encodes a mitochondrial protein that binds leucine tRNAs and other mitochondrial RNAs and plays a role in the regulation of translation. Increased expression of this gene results in decreased mitochondrial leucine tRNA levels. Naturally occurring read-through transcription exists between upstream ATP5J2 (ATP synthase, H+ transporting, mitochondrial Fo complex, subunit F2) and this gene. [provided by RefSeq, Aug 2015] |
| 生物功能 | Mitochondrial protein implicated in negative regulation of leucine tRNA levels, as well as negative regulation of mitochondria-encoded proteins and COX activity. Affects also the 3'-processing of mitochondrial tRNAs. [Uniprot] |
| 细胞定位 | Mitochondrion. [Uniprot] |
| 预测分子量 | 79 kDa |
检测图片 (7) Click the Picture to Zoom In
-
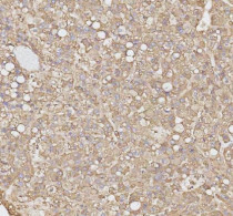
ARG44565 anti-PTCD1 antibody IHC-P image
Immunohistochemistry: Human liver cancer stained with ARG44565 anti-PTCD1 antibody at 2 μg/ml dilution.
-
ARG44565 anti-PTCD1 antibody WB image
Western blot: Caco-, SIHA, 293T and MCF-7 stained with ARG44565 anti-PTCD1 antibody at 0.5 μg/mL dilution.
-
ARG44565 anti-PTCD1 antibody FACS image
Flow Cytometry: 293T stained with ARG44565 anti-PTCD1 antibody at 1 μg/10^6 cells dilution.
-
ARG44565 anti-PTCD1 antibody WB image
Western blot: Rat testis and Rat heart stained with ARG44565 anti-PTCD1 antibody at 0.5 μg/mL dilution.
-
ARG44565 anti-PTCD1 antibody WB image
Western blot: Mouse testis and Mouse heart stained with ARG44565 anti-PTCD1 antibody at 0.5 μg/mL dilution.
-
ARG44565 anti-PTCD1 antibody IHC-P image
Immunohistochemistry: Human placenta stained with ARG44565 anti-PTCD1 antibody at 2 μg/ml dilution.
-
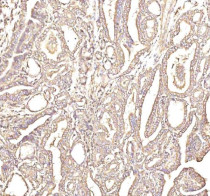
ARG44565 anti-PTCD1 antibody IHC-P image
Immunohistochemistry: Human thyroid papillary carcinoma stained with ARG44565 anti-PTCD1 antibody at 2 μg/ml dilution.
