ARG41584
anti-PTBP1 / PTB antibody
anti-PTBP1 / PTB antibody for ICC/IF,IHC-Formalin-fixed paraffin-embedded sections,Western blot and Human,Mouse,Rat
概述
| 产品描述 | Rabbit Polyclonal antibody recognizes PTBP1 / PTB |
|---|---|
| 反应物种 | Hu, Ms, Rat |
| 应用 | ICC/IF, IHC-P, WB |
| 宿主 | Rabbit |
| 克隆 | Polyclonal |
| 同位型 | IgG |
| 靶点名称 | PTBP1 / PTB |
| 抗原物种 | Human |
| 抗原 | Synthetic peptide within aa. 1-100 of Human PTBP1 / PTB (NP_114368.1). |
| 偶联标记 | Un-conjugated |
| 別名 | PTB-1; PTB-T; HNRPI; PTB; PTB3; HNRNPI; Heterogeneous nuclear ribonucleoprotein I; hnRNP I; HNRNP-I; Polypyrimidine tract-binding protein 1; PTB4; PTB2; pPTB; 57 kDa RNA-binding protein PPTB-1 |
应用说明
| 应用建议 |
|
||||||||
|---|---|---|---|---|---|---|---|---|---|
| 应用说明 | * The dilutions indicate recommended starting dilutions and the optimal dilutions or concentrations should be determined by the scientist. |
属性
| 形式 | Liquid |
|---|---|
| 纯化 | Affinity purified. |
| 缓冲液 | PBS (pH 7.3), 0.02% Sodium azide and 50% Glycerol. |
| 抗菌剂 | 0.02% Sodium azide |
| 稳定剂 | 50% Glycerol |
| 存放说明 | For continuous use, store undiluted antibody at 2-8°C for up to a week. For long-term storage, aliquot and store at -20°C. Storage in frost free freezers is not recommended. Avoid repeated freeze/thaw cycles. Suggest spin the vial prior to opening. The antibody solution should be gently mixed before use. |
| 注意事项 | For laboratory research only, not for drug, diagnostic or other use. |
生物信息
| 数据库连接 |
Swiss-port # P26599 Human Polypyrimidine tract-binding protein 1 |
|---|---|
| 基因名称 | PTBP1 |
| 全名 | polypyrimidine tract binding protein 1 |
| 背景介绍 | This gene belongs to the subfamily of ubiquitously expressed heterogeneous nuclear ribonucleoproteins (hnRNPs). The hnRNPs are RNA-binding proteins and they complex with heterogeneous nuclear RNA (hnRNA). These proteins are associated with pre-mRNAs in the nucleus and appear to influence pre-mRNA processing and other aspects of mRNA metabolism and transport. While all of the hnRNPs are present in the nucleus, some seem to shuttle between the nucleus and the cytoplasm. The hnRNP proteins have distinct nucleic acid binding properties. The protein encoded by this gene has four repeats of quasi-RNA recognition motif (RRM) domains that bind RNAs. This protein binds to the intronic polypyrimidine tracts that requires pre-mRNA splicing and acts via the protein degradation ubiquitin-proteasome pathway. It may also promote the binding of U2 snRNP to pre-mRNAs. This protein is localized in the nucleoplasm and it is also detected in the perinucleolar structure. Alternatively spliced transcript variants encoding different isoforms have been described. [provided by RefSeq, Jul 2008] |
| 生物功能 | Plays a role in pre-mRNA splicing and in the regulation of alternative splicing events. Activates exon skipping of its own pre-mRNA during muscle cell differentiation. Binds to the polypyrimidine tract of introns. May promote RNA looping when bound to two separate polypyrimidine tracts in the same pre-mRNA. May promote the binding of U2 snRNP to pre-mRNA. Cooperates with RAVER1 to modulate switching between mutually exclusive exons during maturation of the TPM1 pre-mRNA. Represses the splicing of MAPT/Tau exon 10. [UniProt] |
| 细胞定位 | Nucleus. [UniProt] |
| 预测分子量 | 57 kDa |
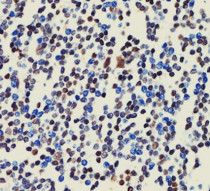
检测图片 (2) Click the Picture to Zoom In
-
ARG41584 anti-PTBP1 / PTB antibody ICC/IF image
Immunofluorescence: U2OS cells stained with ARG41584 anti-PTBP1 / PTB antibody at 1:100 dilution.
-
ARG41584 anti-PTBP1 / PTB antibody IHC-P image
Immunohistochemistry: Paraffin-embedded Human tonsil tissue stained with ARG41584 anti-PTBP1 / PTB antibody at 1:100 dilution.
