ARG43996
anti-PSMD14 antibody
anti-PSMD14 antibody for ELISA,Flow cytometry,ICC/IF,IHC-Formalin-fixed paraffin-embedded sections,Western blot and Human,Mouse,Rat
概述
| 产品描述 | Rabbit Polyclonal antibody recognizes PSMD14 |
|---|---|
| 反应物种 | Hu, Ms, Rat |
| 应用 | ELISA, FACS, ICC/IF, IHC-P, WB |
| 宿主 | Rabbit |
| 克隆 | Polyclonal |
| 同位型 | IgG |
| 靶点名称 | PSMD14 |
| 抗原物种 | Human |
| 抗原 | Human PSMD14 recombinant protein |
| 表达系统 | E.coli |
| 偶联标记 | Un-conjugated |
| Protein Full name | 26S proteasome non-ATPase regulatory subunit 14 |
| 別名 | PSMD14; Proteasome 26S Subunit, Non-ATPase 14; POH1; Proteasome (Prosome, Macropain) 26S Subunit, Non-ATPase, 14; 26S Proteasome Non-ATPase Regulatory Subunit 14; 26S Proteasome-Associated PAD1 Homolog 1; Rpn11; Pad1; Testis Tissue Sperm-Binding Protein Li 69n; 26S Proteasome Regulatory Subunit Rpn11; 26S Proteasome Regulatory Subunit RPN11; EC 3.4.19.- ; EC 3.1.2.15; RPN11; PAD1 |
应用说明
| 应用建议 |
|
||||||||||||
|---|---|---|---|---|---|---|---|---|---|---|---|---|---|
| 应用说明 | * The dilutions indicate recommended starting dilutions and the optimal dilutions or concentrations should be determined by the scientist. |
属性
| 形式 | Liquid |
|---|---|
| 纯化 | Affinity purified with Immunogen. |
| 缓冲液 | 0.9% NaCl, 0.2% Na2HPO4 and 4% Trehalose. |
| 稳定剂 | 4% Trehalose |
| 浓度 | 0.5 mg/ml |
| 存放说明 | For continuous use, store undiluted antibody at 2-8°C for up to a week. For long-term storage, aliquot and store at -20°C or below. Storage in frost free freezers is not recommended. Avoid repeated freeze/thaw cycles. Suggest spin the vial prior to opening. The antibody solution should be gently mixed before use. |
| 注意事项 | For laboratory research only, not for drug, diagnostic or other use. |
生物信息
| 数据库连接 |
Swiss-port # O00487 Human 26S proteasome non-ATPase regulatory subunit 14 Swiss-port # O35593 Mouse 26S proteasome non-ATPase regulatory subunit 14 |
|---|---|
| 基因名称 | PSMD14 |
| 全名 | Proteasome 26S Subunit, Non-ATPase 14 |
| 背景介绍 | This gene encodes a component of the 26S proteasome. The 26S proteasome is a large multiprotein complex that catalyzes the degradation of ubiquitinated intracellular proteins. The encoded protein is a component of the 19S regulatory cap complex of the 26S proteasome and mediates substrate deubiquitination. A pseudogene of this gene is also located on the long arm of chromosome 2. |
| 生物功能 | Component of the 26S proteasome, a multiprotein complex involved in the ATP-dependent degradation of ubiquitinated proteins. This complex plays a key role in the maintenance of protein homeostasis by removing misfolded or damaged proteins, which could impair cellular functions, and by removing proteins whose functions are no longer required. Therefore, the proteasome participates in numerous cellular processes, including cell cycle progression, apoptosis, or DNA damage repair. The PSMD14 subunit is a metalloprotease that specifically cleaves 'Lys-63'-linked polyubiquitin chains within the complex. Plays a role in response to double-strand breaks (DSBs): acts as a regulator of non-homologous end joining (NHEJ) by cleaving 'Lys-63'-linked polyubiquitin, thereby promoting retention of JMJD2A/KDM4A on chromatin and restricting TP53BP1 accumulation. Also involved in homologous recombination repair by promoting RAD51 loading. |
| 细胞定位 | Proteasome |
| 预测分子量 | 35 kDa |
| 翻译后修饰 | Phosphoprotein |
检测图片 (6) Click the Picture to Zoom In
-
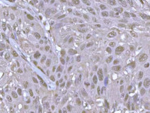
ARG43996 anti-PSMD14 antibody IHC-P image
Immunohistochemistry: Human urothelial carcinoma stained with ARG43996 anti-PSMD14 antibody at 2 μg/ml dilution.
-
ARG43996 anti-PSMD14 antibody ICC/IF image
Immunofluorescence: U20S cells stained with ARG43996 anti-PSMD14 antibody at 5 μg/ml dilution.
-
ARG43996 anti-PSMD14 antibody WB image
Western blot: 293T and Hela stained with ARG43996 anti-PSMD14 antibody at 0.5 μg/mL dilution.
-
ARG43996 anti-PSMD14 antibody FACS image
Flow Cytometry: Raji cells stained with ARG43996 anti-PSMD14 antibody (blue) at 1 μg/1x10^6 cells dilution.
-
ARG43996 anti-PSMD14 antibody IHC-P image
Immunohistochemistry: Rat brain tissue stained with ARG43996 anti-PSMD14 antibody at 2 μg/mL dilution.
-
ARG43996 anti-PSMD14 antibody IHC-P image
Immunohistochemistry: Mouse brain tissue stained with ARG43996 anti-PSMD14 antibody at 2 μg/mL dilution.
