ARG55764
anti-PSMC1 antibody
anti-PSMC1 antibody for ICC/IF,IHC-Formalin-fixed paraffin-embedded sections,Western blot and Human,Mouse,Rat
概述
| 产品描述 | Rabbit Polyclonal antibody recognizes PSMC1 |
|---|---|
| 反应物种 | Hu, Ms, Rat |
| 应用 | ICC/IF, IHC-P, WB |
| 宿主 | Rabbit |
| 克隆 | Polyclonal |
| 同位型 | IgG |
| 靶点名称 | PSMC1 |
| 抗原物种 | Human |
| 抗原 | KLH-conjugated synthetic peptide corresponding to aa. 408-436 (C-terminus) of Human PSMC1. |
| 偶联标记 | Un-conjugated |
| 別名 | Proteasome 26S subunit ATPase 1; 26S protease regulatory subunit 4; S4; 26S proteasome AAA-ATPase subunit RPT2; P26s4; P26S4; p56 |
应用说明
| 应用建议 |
|
||||||||
|---|---|---|---|---|---|---|---|---|---|
| 应用说明 | * The dilutions indicate recommended starting dilutions and the optimal dilutions or concentrations should be determined by the scientist. | ||||||||
| 阳性对照 | A549 |
属性
| 形式 | Liquid |
|---|---|
| 纯化 | Purification with Protein A and immunogen peptide. |
| 缓冲液 | PBS and 0.09% (W/V) Sodium azide. |
| 抗菌剂 | 0.09% (W/V) Sodium azide. |
| 存放说明 | For continuous use, store undiluted antibody at 2-8°C for up to a week. For long-term storage, aliquot and store at -20°C or below. Storage in frost free freezers is not recommended. Avoid repeated freeze/thaw cycles. Suggest spin the vial prior to opening. The antibody solution should be gently mixed before use. |
| 注意事项 | For laboratory research only, not for drug, diagnostic or other use. |
生物信息
| 数据库连接 | |
|---|---|
| 基因名称 | PSMC1 |
| 全名 | proteasome (prosome, macropain) 26S subunit, ATPase, 1 |
| 背景介绍 | The 26S proteasome is a multicatalytic proteinase complex with a highly ordered structure composed of 2 complexes, a 20S core and a 19S regulator. The 20S core is composed of 4 rings of 28 non-identical subunits; 2 rings are composed of 7 alpha subunits and 2 rings are composed of 7 beta subunits. The 19S regulator is composed of a base, which contains 6 ATPase subunits and 2 non-ATPase subunits, and a lid, which contains up to 10 non-ATPase subunits. Proteasomes are distributed throughout eukaryotic cells at a high concentration and cleave peptides in an ATP/ubiquitin-dependent process in a non-lysosomal pathway. An essential function of a modified proteasome, the immunoproteasome, is the processing of class I MHC peptides. This gene encodes one of the ATPase subunits, a member of the triple-A family of ATPases which have a chaperone-like activity. This subunit and a 20S core alpha subunit interact specifically with the hepatitis B virus X protein, a protein critical to viral replication. This subunit also interacts with the adenovirus E1A protein and this interaction alters the activity of the proteasome. Finally, this subunit interacts with ataxin-7, suggesting a role for the proteasome in the development of spinocerebellar ataxia type 7, a progressive neurodegenerative disorder. [provided by RefSeq, Jul 2008] |
| 生物功能 | The 26S protease is involved in the ATP-dependent degradation of ubiquitinated proteins. The regulatory (or ATPase) complex confers ATP dependency and substrate specificity to the 26S complex. [UniProt] |
| 细胞定位 | Cytoplasm. Nucleus. |
| 预测分子量 | 49 kDa |
检测图片 (3) Click the Picture to Zoom In
-
ARG55764 anti-PSMC1 antibody ICC/IF image
Immunofluorescence: HeLa cells stained with ARG55764 anti-PSMC1 antibody (green) at 1:25 dilution. Cytoplasmic actin was counterstained with Alexa Fluor® 555 conjugated with Phalloidin (red).
-
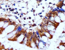
ARG55764 anti-PSMC1 antibody IHC-P image
Immunohistochemistry: Paraffin-embedded Human colon tissue stained with ARG55764 anti-PSMC1 antibody at 1:25 dilution.
-
ARG55764 anti-PSMC1 antibody WB image
Western blot: 35 µg of A549 cell lysate stained with ARG55764 anti-PSMC1 antibody.
