ARG42069
anti-PRKRA antibody
anti-PRKRA antibody for Flow cytometry,IHC-Formalin-fixed paraffin-embedded sections,Western blot and Human
概述
| 产品描述 | Rabbit Polyclonal antibody recognizes PRKRA |
|---|---|
| 反应物种 | Hu |
| 预测物种 | Bov, Rat |
| 应用 | FACS, IHC-P, WB |
| 宿主 | Rabbit |
| 克隆 | Polyclonal |
| 同位型 | IgG |
| 靶点名称 | PRKRA |
| 抗原物种 | Human |
| 抗原 | KLH-conjugated synthetic peptide between aa. 225-252 of Human PRKRA. |
| 偶联标记 | Un-conjugated |
| 別名 | PACT; DYT16; Protein kinase, interferon-inducible double-stranded RNA-dependent activator; HSD14; Interferon-inducible double-stranded RNA-dependent protein kinase activator A; PKR-associating protein X; Protein activator of the interferon-induced protein kinase; PKR-associated protein X; RAX |
应用说明
| 应用建议 |
|
||||||||
|---|---|---|---|---|---|---|---|---|---|
| 应用说明 | * The dilutions indicate recommended starting dilutions and the optimal dilutions or concentrations should be determined by the scientist. | ||||||||
| 阳性对照 | HL-60 | ||||||||
| 实际分子量 | ~ 34 kDa |
属性
| 形式 | Liquid |
|---|---|
| 纯化 | Purification with Protein A and immunogen peptide. |
| 缓冲液 | PBS and 0.09% (W/V) Sodium azide. |
| 抗菌剂 | 0.09% (W/V) Sodium azide. |
| 存放说明 | For continuous use, store undiluted antibody at 2-8°C for up to a week. For long-term storage, aliquot and store at -20°C or below. Storage in frost free freezers is not recommended. Avoid repeated freeze/thaw cycles. Suggest spin the vial prior to opening. The antibody solution should be gently mixed before use. |
| 注意事项 | For laboratory research only, not for drug, diagnostic or other use. |
生物信息
| 数据库连接 |
Swiss-port # O75569 Human Interferon-inducible double-stranded RNA-dependent protein kinase activato |
|---|---|
| 基因名称 | PRKRA |
| 全名 | protein kinase, interferon-inducible double stranded RNA dependent activator |
| 背景介绍 | This gene encodes a protein kinase activated by double-stranded RNA which mediates the effects of interferon in response to viral infection. Mutations in this gene have been associated with dystonia. Alternative splicing results in multiple transcript variants. [provided by RefSeq, Nov 2008] |
| 生物功能 | Activates EIF2AK2/PKR in the absence of double-stranded RNA (dsRNA), leading to phosphorylation of EIF2S1/EFI2-alpha and inhibition of translation and induction of apoptosis. Required for siRNA production by DICER1 and for subsequent siRNA-mediated post-transcriptional gene silencing. Does not seem to be required for processing of pre-miRNA to miRNA by DICER1. Promotes UBC9-p53/TP53 association and sumoylation and phosphorylation of p53/TP53 at 'Lys-386' at 'Ser-392' respectively and enhances its activity in a EIF2AK2/PKR-dependent manner (By similarity). [UniProt] |
| 细胞定位 | Cytoplasm, perinuclear region. Cytoplasm. [UniProt] |
| 预测分子量 | 34 kDa |
| 翻译后修饰 | Phosphorylated at Ser-246 in unstressed cells and at Ser-287 in stressed cells. Phosphorylation at Ser-246 appears to be a prerequisite for subsequent phosphorylation at Ser-287. Phosphorylation at Ser-246 and Ser-287 are necessary for activation of EIF2AK2/PKR under conditions of stress. [UniProt] |
检测图片 (3) Click the Picture to Zoom In
-
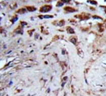
ARG42069 anti-PRKRA antibody IHC-P image
Immunohistochemistry: Formalin-fixed and paraffin-embedded Human placenta tissue stained with ARG42069 anti-PRKRA antibody.
-
ARG42069 anti-PRKRA antibody WB image
Western blot: 35 µg of HL-60 cell lysate stained with ARG42069 anti-PRKRA antibody.
-
ARG42069 anti-PRKRA antibody FACS image
Flow Cytometry: HL-60 cells stained with ARG42069 anti-PRKRA antibody (bottom histogram) or without primary antibody as control (top histogram), followed by incubation with FITC labelled secondary antibody.
