ARG59011
anti-PRKAR1A / PKA RI alpha antibody
anti-PRKAR1A / PKA RI alpha antibody for IHC-Formalin-fixed paraffin-embedded sections,Western blot and Human,Rat
概述
| 产品描述 | Rabbit Polyclonal antibody recognizes PRKAR1A / PKA RI alpha |
|---|---|
| 反应物种 | Hu, Rat |
| 应用 | IHC-P, WB |
| 宿主 | Rabbit |
| 克隆 | Polyclonal |
| 同位型 | IgG |
| 靶点名称 | PRKAR1A / PKA RI alpha |
| 抗原物种 | Human |
| 抗原 | Recombinant protein corresponding to E2-E81 of Human PRKAR1A. |
| 偶联标记 | Un-conjugated |
| 別名 | Tissue-specific extinguisher 1; ADOHR; CAR; PRKAR1; ACRDYS1; TSE1; cAMP-dependent protein kinase type I-alpha regulatory subunit; CNC; CNC1; PPNAD1; PKR1; PKA 1 alpha |
应用说明
| 应用建议 |
|
||||||
|---|---|---|---|---|---|---|---|
| 应用说明 | IHC-P: Antigen Retrieval: By heat mediation. * The dilutions indicate recommended starting dilutions and the optimal dilutions or concentrations should be determined by the scientist. |
属性
| 形式 | Liquid |
|---|---|
| 纯化 | Affinity purification with immunogen. |
| 缓冲液 | 0.2% Na2HPO4, 0.9% NaCl, 0.05% Sodium azide and 5% BSA. |
| 抗菌剂 | 0.05% Sodium azide |
| 稳定剂 | 5% BSA |
| 浓度 | 0.5 mg/ml |
| 存放说明 | For continuous use, store undiluted antibody at 2-8°C for up to a week. For long-term storage, aliquot and store at -20°C or below. Storage in frost free freezers is not recommended. Avoid repeated freeze/thaw cycles. Suggest spin the vial prior to opening. The antibody solution should be gently mixed before use. |
| 注意事项 | For laboratory research only, not for drug, diagnostic or other use. |
生物信息
| 数据库连接 |
Swiss-port # P09456 Rat cAMP-dependent protein kinase type I-alpha regulatory subunit Swiss-port # P10644 Human cAMP-dependent protein kinase type I-alpha regulatory subunit |
|---|---|
| 基因名称 | PRKAR1A |
| 全名 | protein kinase, cAMP-dependent, regulatory, type I, alpha |
| 背景介绍 | cAMP is a signaling molecule important for a variety of cellular functions. cAMP exerts its effects by activating the cAMP-dependent protein kinase, which transduces the signal through phosphorylation of different target proteins. The inactive kinase holoenzyme is a tetramer composed of two regulatory and two catalytic subunits. cAMP causes the dissociation of the inactive holoenzyme into a dimer of regulatory subunits bound to four cAMP and two free monomeric catalytic subunits. Four different regulatory subunits and three catalytic subunits have been identified in humans. This gene encodes one of the regulatory subunits. This protein was found to be a tissue-specific extinguisher that down-regulates the expression of seven liver genes in hepatoma x fibroblast hybrids. Mutations in this gene cause Carney complex (CNC). This gene can fuse to the RET protooncogene by gene rearrangement and form the thyroid tumor-specific chimeric oncogene known as PTC2. A nonconventional nuclear localization sequence (NLS) has been found for this protein which suggests a role in DNA replication via the protein serving as a nuclear transport protein for the second subunit of the Replication Factor C (RFC40). Several alternatively spliced transcript variants encoding two different isoforms have been observed. [provided by RefSeq, Jan 2013] |
| 生物功能 | Regulatory subunit of the cAMP-dependent protein kinases involved in cAMP signaling in cells. [UniProt] |
| 细胞定位 | Cell membrane. [UniProt] |
| 预测分子量 | 43 kDa |
| 翻译后修饰 | The pseudophosphorylation site binds to the substrate-binding region of the catalytic chain, resulting in the inhibition of its activity. [UniProt] |
检测图片 (4) Click the Picture to Zoom In
-
ARG59011 anti-PRKAR1A / PKA RI alpha antibody IHC-P image
Immunohistochemistry: Paraffin-embedded Rat testis tissue stained with ARG59011 anti-PRKAR1A / PKA RI alpha antibody at 1 µg/ml dilution.
-
ARG59011 anti-PRKAR1A / PKA RI alpha antibody WB image
Western blot: Rat thymus, HepG2 and MCF7 lysates stained with ARG59011 anti-PRKAR1A / PKA RI alpha antibody at 0.5 µg/ml dilution.
-
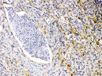
ARG59011 anti-PRKAR1A / PKA RI alpha antibody IHC-P image
Immunohistochemistry: Paraffin-embedded Human intestinal cancer tissue stained with ARG59011 anti-PRKAR1A / PKA RI alpha antibody at 1 µg/ml dilution.
-
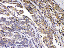
ARG59011 anti-PRKAR1A / PKA RI alpha antibody IHC-P image
Immunohistochemistry: Paraffin-embedded Human lung cancer tissue stained with ARG59011 anti-PRKAR1A / PKA RI alpha antibody at 1 µg/ml dilution.
