ARG43918
anti-PRDM15 antibody
anti-PRDM15 antibody for ELISA,Flow cytometry,ICC/IF,IHC-Formalin-fixed paraffin-embedded sections,Western blot and Human
概述
| 产品描述 | Rabbit Polyclonal antibody recognizes PRDM15 |
|---|---|
| 反应物种 | Hu |
| 应用 | ELISA, FACS, ICC/IF, IHC-P, WB |
| 宿主 | Rabbit |
| 克隆 | Polyclonal |
| 同位型 | IgG |
| 靶点名称 | PRDM15 |
| 抗原物种 | Human |
| 抗原 | Human PRDM15 recombinant protein |
| 表达系统 | E.coli |
| 偶联标记 | Un-conjugated |
| Protein Full name | PR domain zinc finger protein 15 |
| 別名 | PRDM15; PR/SET Domain 15; C21orf83; ZNF298; PR Domain Zinc Finger Protein 15; PR Domain Containing 15; Zinc Finger Protein 298; PR Domain 15; Chromosome 21 Open Reading Frame 83; PR Domain-Containing Protein 15; EC 2.1.1.-; PFM15 |
应用说明
| 应用建议 |
|
||||||||||||
|---|---|---|---|---|---|---|---|---|---|---|---|---|---|
| 应用说明 | * The dilutions indicate recommended starting dilutions and the optimal dilutions or concentrations should be determined by the scientist. |
属性
| 形式 | Liquid |
|---|---|
| 纯化 | Affinity purified with Immunogen. |
| 缓冲液 | 0.9% NaCl, 0.2% Na2HPO4 and 4% Trehalose. |
| 稳定剂 | 4% Trehalose |
| 浓度 | 0.5 mg/ml |
| 存放说明 | For continuous use, store undiluted antibody at 2-8°C for up to a week. For long-term storage, aliquot and store at -20°C or below. Storage in frost free freezers is not recommended. Avoid repeated freeze/thaw cycles. Suggest spin the vial prior to opening. The antibody solution should be gently mixed before use. |
| 注意事项 | For laboratory research only, not for drug, diagnostic or other use. |
生物信息
| 数据库连接 | |
|---|---|
| 基因名称 | PRDM15 |
| 全名 | PR/SET Domain 15 |
| 背景介绍 | Predicted to enable DNA-binding transcription activator activity, RNA polymerase II-specific; RNA polymerase II cis-regulatory region sequence-specific DNA binding activity; and promoter-specific chromatin binding activity. Predicted to be involved in positive regulation of transcription by RNA polymerase II; regulation of signal transduction; and regulation of stem cell division. Located in nuclear body. |
| 生物功能 | Sequence-specific DNA-binding transcriptional regulator. Plays a role as a molecular node in a transcriptional network regulating embryonic development and cell fate decision. Stimulates the expression of upstream key transcriptional activators and repressors of the Wnt/beta-catenin and MAPK/ERK pathways, respectively, that are essential for naive pluripotency and self-renewal maintenance of embryonic stem cells (ESCs). Specifically promotes SPRY1 and RSPO1 transcription activation through recognition and direct binding of a specific DNA sequence in their promoter regions. Involved in early embryo development. |
| 细胞定位 | Nucleus |
| 预测分子量 | 170 kDa |
| 翻译后修饰 | Isopeptide bond, Ubl conjugation |
检测图片 (5) Click the Picture to Zoom In
-
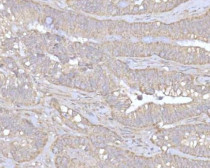
ARG43918 anti-PRDM15 antibody IHC-P image
Immunohistochemistry: Human rectum adenocarcinoma stained with ARG43918 anti-PRDM15 antibody at 2 μg/ml dilution.
-
ARG43918 anti-PRDM15 antibody WB image
Western blot: 293T and MCF-7 stained with ARG43918 anti-PRDM15 antibody at 0.5 μg/mL dilution.
-
ARG43918 anti-PRDM15 antibody FACS image
Flow Cytometry: A431 cells stained with ARG43918 anti-PRDM15 antibody (blue) at 1 μg/1x10^6 cells dilution.
-
ARG43918 anti-PRDM15 antibody IHC-P image
Immunohistochemistry: Human lung adenocarcinoma stained with ARG43918 anti-PRDM15 antibody at 2 μg/ml dilution.
-
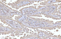
ARG43918 anti-PRDM15 antibody IHC-P image
Immunohistochemistry: Human ovary serous stained with ARG43918 anti-PRDM15 antibody at 2 μg/ml dilution.
