ARG58294
anti-PRDM1 / Blimp 1 antibody
anti-PRDM1 / Blimp 1 antibody for IHC-Formalin-fixed paraffin-embedded sections,Western blot and Human,Mouse,Rat
概述
| 产品描述 | Rabbit Polyclonal antibody recognizes PRDM1 / Blimp 1 |
|---|---|
| 反应物种 | Hu, Ms, Rat |
| 应用 | IHC-P, WB |
| 宿主 | Rabbit |
| 克隆 | Polyclonal |
| 同位型 | IgG |
| 靶点名称 | PRDM1 / Blimp 1 |
| 抗原物种 | Human |
| 抗原 | E. coli-derived Human PRDM1/Blimp1 recombinant protein (Position: M1-Q230). |
| 偶联标记 | Un-conjugated |
| 別名 | Beta-interferon gene positive regulatory domain I-binding factor; PR domain zinc finger protein 1; BLIMP-1; BLIMP1; PRDI-binding factor 1; PR domain-containing protein 1; EC 2.1.1.-; PRDI-BF1; Positive regulatory domain I-binding factor 1 |
应用说明
| 应用建议 |
|
||||||
|---|---|---|---|---|---|---|---|
| 应用说明 | IHC-P: Antigen Retrieval: Heat mediated was performed in Citrate buffer (pH 6.0) for 20 min. * The dilutions indicate recommended starting dilutions and the optimal dilutions or concentrations should be determined by the scientist. |
属性
| 形式 | Liquid |
|---|---|
| 缓冲液 | 0.9% NaCl, 0.2% Na2HPO4, 0.05% Sodium azide and 4% Trehalose. |
| 抗菌剂 | 0.05% Sodium azide |
| 稳定剂 | 4% Trehalose |
| 浓度 | 0.5 mg/ml |
| 存放说明 | For continuous use, store undiluted antibody at 2-8°C for up to a week. For long-term storage, aliquot and store at -20°C or below. Storage in frost free freezers is not recommended. Avoid repeated freeze/thaw cycles. Suggest spin the vial prior to opening. The antibody solution should be gently mixed before use. |
| 注意事项 | For laboratory research only, not for drug, diagnostic or other use. |
生物信息
| 数据库连接 | |
|---|---|
| 基因名称 | PRDM1 |
| 全名 | PR domain containing 1, with ZNF domain |
| 背景介绍 | This gene encodes a protein that acts as a repressor of beta-interferon gene expression. The protein binds specifically to the PRDI (positive regulatory domain I element) of the beta-IFN gene promoter. Transcription of this gene increases upon virus induction. Two alternatively spliced transcript variants that encode different isoforms have been reported. [provided by RefSeq, Jul 2008] |
| 生物功能 | Transcriptional repressor that binds specifically to the PRDI element in the promoter of the beta-interferon gene. Drives the maturation of B-lymphocytes into Ig secreting cells. [UniProt] |
| 细胞定位 | Nucleus. [UniProt] |
| 预测分子量 | 92 kDa |
| 翻译后修饰 | Sumoylation at Lys-816 by PIAS1 augments transcriptional repressor activity, and is critical for plasma cell differentiation. Ubiquitinated by the SCF(FBXO11) complex, leading to its degradation by the proteasome. [UniProt] |
检测图片 (8) Click the Picture to Zoom In
-
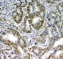
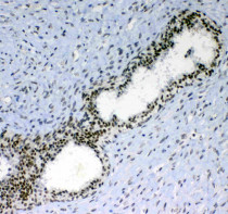
ARG58294 anti-PRDM1 / Blimp 1 antibody IHC-P image
Immunohistochemistry: Paraffin-embedded Human colon cancer tissue. Antigen Retrieval: Heat mediated was performed in Citrate buffer (pH 6.0, epitope retrieval solution) for 20 min. The tissue section was blocked with 10% goat serum. The tissue section was then stained with ARG58294 anti-PRDM1 / Blimp 1 antibody at 1 µg/ml dilution, overnight at 4°C.
-
ARG58294 anti-PRDM1 / Blimp 1 antibody WB image
Western blot: 50 µg of Rat thymus, Rat spleen, Rat stomach, Rat lung, Mouse thymus, Mouse spleen, Mouse stomach, Mouse lung and Mouse HEPA1-6 whole cell lysates stained with ARG58294 anti-PRDM1 / Blimp 1 antibody at 0.5 µg/ml, overnight at 4°C, under reducing conditions.
-
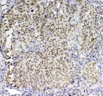
ARG58294 anti-PRDM1 / Blimp 1 antibody IHC-P image
Immunohistochemistry: Paraffin-embedded Human lung cancer tissue. Antigen Retrieval: Heat mediated was performed in Citrate buffer (pH 6.0, epitope retrieval solution) for 20 min. The tissue section was blocked with 10% goat serum. The tissue section was then stained with ARG58294 anti-PRDM1 / Blimp 1 antibody at 1 µg/ml dilution, overnight at 4°C.
-
ARG58294 anti-PRDM1 / Blimp 1 antibody IHC-P image
Immunohistochemistry: Paraffin-embedded Human mammary cancer. Antigen Retrieval: Heat mediated was performed in Citrate buffer (pH 6.0, epitope retrieval solution) for 20 min. The tissue section was blocked with 10% goat serum. The tissue section was then stained with ARG58294 anti-PRDM1 / Blimp 1 antibody at 1 µg/ml dilution, overnight at 4°C.
-
ARG58294 anti-PRDM1 / Blimp 1 antibody IHC-P image
Immunohistochemistry: Paraffin-embedded Human placenta. Antigen Retrieval: Heat mediated was performed in Citrate buffer (pH 6.0, epitope retrieval solution) for 20 min. The tissue section was blocked with 10% goat serum. The tissue section was then stained with ARG58294 anti-PRDM1 / Blimp 1 antibody at 1 µg/ml dilution, overnight at 4°C.
-
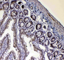
ARG58294 anti-PRDM1 / Blimp 1 antibody IHC-P image
Immunohistochemistry: Paraffin-embedded Mouse small intestine tissue. Antigen Retrieval: Heat mediated was performed in Citrate buffer (pH 6.0, epitope retrieval solution) for 20 min. The tissue section was blocked with 10% goat serum. The tissue section was then stained with ARG58294 anti-PRDM1 / Blimp 1 antibody at 1 µg/ml dilution, overnight at 4°C.
-
ARG58294 anti-PRDM1 / Blimp 1 antibody IHC-P image
Immunohistochemistry: Paraffin-embedded Rat small intestine tissue. Antigen Retrieval: Heat mediated was performed in Citrate buffer (pH 6.0, epitope retrieval solution) for 20 min. The tissue section was blocked with 10% goat serum. The tissue section was then stained with ARG58294 anti-PRDM1 / Blimp 1 antibody at 1 µg/ml dilution, overnight at 4°C.
-
ARG58294 anti-PRDM1 / Blimp 1 antibody WB image
Western blot: 50 µg of HeLa whole cell lysates, A549 whole cell lysates, 293T whole cell lysates, MCF-7 whole cell lysates and 22RV1 whole cell lysates stained with ARG58294 anti-PRDM1 / Blimp 1 antibody at 0.5 µg/ml, overnight at 4°C, under reducing conditions.
