ARG63788
anti-PPY / Pancreatic Polypeptide antibody
anti-PPY / Pancreatic Polypeptide antibody for Flow cytometry,ICC/IF,IHC-Formalin-fixed paraffin-embedded sections,Western blot and Human,Rat
Signaling Transduction antibody
概述
| 产品描述 | Goat Polyclonal antibody recognizes PPY / Pancreatic Polypeptide |
|---|---|
| 反应物种 | Hu, Rat |
| 预测物种 | Ms, Dog |
| 应用 | FACS, ICC/IF, IHC-P, WB |
| 宿主 | Goat |
| 克隆 | Polyclonal |
| 同位型 | IgG |
| 靶点名称 | PPY / Pancreatic Polypeptide |
| 抗原物种 | Human |
| 抗原 | C-TRPRYGKRHKEDT |
| 偶联标记 | Un-conjugated |
| 別名 | PP; Obinepitide; Pancreatic polypeptide; PNP; Pancreatic prohormone; PI; PH |
应用说明
| 应用建议 |
|
||||||||||
|---|---|---|---|---|---|---|---|---|---|---|---|
| 应用说明 | IHC-P: Antigen Retrieval: Steam tissue section in Citrate buffer (pH 6.0) or microwave tissue section in Tris/EDTA buffer (pH 9.0). * The dilutions indicate recommended starting dilutions and the optimal dilutions or concentrations should be determined by the scientist. |
属性
| 形式 | Liquid |
|---|---|
| 纯化 | Purified from goat serum by antigen affinity chromatography. |
| 缓冲液 | Tris saline (pH 7.3), 0.02% Sodium azide and 0.5% BSA. |
| 抗菌剂 | 0.02% Sodium azide |
| 稳定剂 | 0.5% BSA |
| 浓度 | 0.5 mg/ml |
| 存放说明 | For continuous use, store undiluted antibody at 2-8°C for up to a week. For long-term storage, aliquot and store at -20°C or below. Storage in frost free freezers is not recommended. Avoid repeated freeze/thaw cycles. Suggest spin the vial prior to opening. The antibody solution should be gently mixed before use. |
| 注意事项 | For laboratory research only, not for drug, diagnostic or other use. |
生物信息
| 数据库连接 | |
|---|---|
| 背景介绍 | This gene belongs to the NPY family and it encodes a protein that is synthesized as a 95 aa polypeptide precursor in the pancreatic islets of Langerhans. It is cleaved into two peptide products; the active hormone of 36 aa and an icosapeptide of unknown function. The hormone acts as a regulator of pancreatic and gastrointestinal functions and may be important in the regulation of food intake. Plasma level of this hormone has been shown to be reduced in conditions associated with increased food intake and elevated in anorexia nervosa. In addition, infusion of this hormone in obese rodents has shown to decrease weight gain. [provided by RefSeq, Jul 2008] |
| 研究领域 | Signaling Transduction antibody |
| 预测分子量 | 10 kDa |
检测图片 (4) Click the Picture to Zoom In
-
ARG63788 anti-PPY / Pancreatic Polypeptide antibody IHC-P image
Immunohistochemistry: Paraffin-embedded Human pancreas tissue. Antigen Retrieval: Steam tissue section in Citrate buffer (pH 6.0). The tissue section was stained with ARG63788 anti-PPY / Pancreatic Polypeptide antibody at 5 µg/ml dilution followed by AP-staining.
-
ARG63788 anti-PPY / Pancreatic Polypeptide antibody FACS image
Flow Cytometry: Paraformaldehyde-fixed U2OS cells permeabilized with 0.5% Triton. Cells were stained with ARG63788 anti-PPY / Pancreatic Polypeptide antibody (blue line) at 10 µg/ml for 1 hour, followed by incubation with Alexa Fluor® 488 labelled secondary antibody. IgG control: Unimmunized Goat IgG (black line), followed by incubation with Alexa Fluor® 488 labelled secondary antibody.
-
ARG63788 anti-PPY / Pancreatic Polypeptide antibody IHC-P image
Immunohistochemistry: Paraffin-embedded Human intestine tissue. Antigen Retrieval: Steam tissue section in Citrate buffer (pH 6.0). The tissue section was stained with ARG63788 anti-PPY / Pancreatic Polypeptide antibody at 5 µg/ml dilution followed by AP-staining.
-
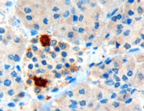
ARG63788 anti-PPY / Pancreatic Polypeptide antibody IHC-P image
Immunohistochemistry: Paraffin embedded Human pancreas tissue. Antigen Retrieval: Microwaved tissue section in Tris/EDTA buffer (pH 9.0). The tissue section was stained with ARG63788 anti-PPY / Pancreatic Polypeptide antibody at 3 µg/ml dilution followed by HRP-staining.
